Científica Dental: sept.-octubre-noviembre-diciembre 2023
Artículo original
Anitua E. Elevación de seno transcrestal con inserción de implantes ultracortos de 4,5 mm de longitud en zonas maxilares posteriores con hueso residual menor o igual a 3 mm de altura. Cient. Dent. 2023; 20; 3; 134-140.
Elevación de seno transcrestal con inserción de implantes ultracortos de 4,5 mm de longitud en zonas maxilares posteriores con hueso residual menor o igual a 3 mm de altura
Introducción. La atrofia posterior del maxilar con la neumatización del seno maxilar es un problema frecuente. Los protocolos para rehabilitar esta zona han ido cambiando desde la elevación de seno convencional, hasta la elevación transcrestal. Aun así, existen casos con un volumen óseo disponible en altura muy disminuido que precisan de nuevos procedimientos como los implantes de 4,5 mm. En la siguiente serie de casos clínicos se muestran pacientes tratados con este procedimiento.
Material y métodos. Se presenta un estudio retrospectivo en el que se han evaluado implantes de 4,5 mm de longitud, insertados en sectores posteriores maxilares con una altura ósea residual igual o menor a 3 mm, realizándose al mismo tiempo una elevación de seno transcrestal. Posteriormente, se realiza un seguimiento radiográfico estimándose la pérdida ósea crestal y la supervivencia de los implantes.La variable principal fue la supervivencia del implante y como variables secundarias se registraron la pérdida ósea mesial y distal.
Resultados. Fueron reclutados 13 pacientes en los que se insertaron 15 implantes. La media de la altura inicial de la cresta, en el estudio fue de 2,85 mm (+/- 0,20) con un rango entre 2,50 y 3 mm. Los implantes presentaron un seguimiento medio de 13,33 meses tras la carga (+/- 3,09) no encontrándose complicaciones ni fracasos durante este tiempo, por lo que la supervivencia fue del 100%.
Conclusiones. Los datos preliminares obtenidos en el presente estudio muestran una alternativa a la elevación de seno mediante ventana lateral con una menor morbilidad para los pacientes.
Transcrestal sinus lift with insertion of 4.5 mm long ultrashort implants in posterior maxillary areas with residual bone less than or equal to 3 mm in height
Introduction: Posterior maxillary atrophy with pneumatization of the maxillary sinus is a common problem. The protocols for rehabilitating this area have changed from conventional sinus lift to transcrestal lift. Even so, there are cases with a very low available bone volume in height that require new procedures such as 4.5 mm implants. The following case
series shows patients treated with this procedure.
Material and methods: A retrospective study is presented in which 4.5 mm long implants inserted in maxillary posterior sectors with a residual bone height equal to or less than 3 mm were evaluated and a transcrestal sinus lift was performed at the same time. Subsequently, a radiographic follow-up was carried out, estimating crestal bone loss and implant survival. The primary variable was implant survival and mesial and distal bone loss were recorded as secondary variables.
Results: Thirteen patients were recruited and 15 implants were inserted that met the previously established inclusion criteria. The mean initial ridge height where the implants included in the study were placed was 2.85 mm (+/- 0.20) with a range between 2.50 and 3 mm. No complications related to the surgery were reported in any of the cases. The implants had a mean follow-up of 13.33 months after loading (+/- 3.09) with no complications or failures during this follow-up time, so survival was 100%.
Conclusions: Preliminary data obtained in the present study show a predictable alternative to lateral window sinus lift with less morbidity for patients.
KEY WORDS: Transcrestal sinus lift; Vertical bone atrophy; Ultra-short dental implant.
Cuando se produce la pérdida dentaria en la zona posterior del maxilar se genera habitualmente una disminución de la masa ósea disponible para la inserción de los implantes, a expensas de una neumatización del seno maxilar1. Esta pérdida de hueso puede ser mayor si los molares se encuentran afectados por patología periodontal avanzada, han presentado infecciones de repetición por diferentes causas, se han producido fracturas verticales, o cuando el tramo se mantiene edéntulo durante largo tiempo sin reponer los dientes ausentes2. La zona posterior del maxilar suele tener una menor densidad ósea de forma habitual, por lo que la rehabilitación con implantes dentales de estos sectores se complica cuando el volumen óseo residual en altura está muy disminuido y la densidad ósea también. En estas zonas, clásicamente se han empleado técnicas de elevación de seno, para poder colocar implantes en áreas de escaso volumen óseo en altura, pudiendo optar por la técnica “convencional” mediante ventana lateral, descrita por Tatum en los años 703, o a través de la propia cresta alveolar y del neoalveolo que se construye para insertar el implante, generándose de este modo una elevación transalveolar o transcrestal, descrita por Summers3,4 como un abordaje más conservador para el procedimiento de elevación de seno. La técnica de elevación crestal, es la opción más utilizada en la mayoría de las ocasiones, reservándose la elevación lateral para casos donde existe un volumen óseo residual menor de 5 mm donde se considera que la estabilización del implante en un área tan pequeña puede ser complicado.
En 2015, Anitua y cols.5 describen la realización de elevación de seno transcrestal mediante el uso de las mismas fresas que se emplean en la preparación del alveolo de los implantes cortos, unas fresas de corte frontal que retiran lentamente el suelo del seno sin dañar la membrana de Schneider, pudiendo realizar la elevación con mayor control y confort para el paciente, al evitar los osteotomos y las técnicas de percusión previas. Con este procedimiento y el uso de los implantes cortos y extracortos, se logra la rehabilitación de los sectores posteriores maxilares con extrema atrofia en altura y con elevadas tasas de éxito (96-98%)5-8. En el protocolo descrito por nuestro grupo de estudio, se pone de manifiesto la importancia del diagnóstico previo del hueso residual (altura, anchura, densidad y tipo óseo) y de la planificación del fresado para lograr la estabilidad tridimensional del implante y evitar micromovimientos en la fase inicial de la oseointegración9-11. Además, como último actor, se incorporan los implantes ultracortos de 4,5 mm de longitud, para dotarnos de una herramienta más para el abordaje de las atrofias verticales extremas12. Teniendo en cuenta todos estos parámetros, cobra mayor importancia la presencia de implantes extracortos y ultracortos para el abordaje del maxilar posterior atrófico, ya que una cuidadosa planificación de la cirugía que va a ser llevada a cabo nos permitirá la selección de estos implantes para nuestros casos logrando los mejores resultados5,12 Nuestro grupo de estudio ha preconizado en varios trabajos de investigación la utilidad de la estabilización primaria del implante de forma tridimensional, olvidando el concepto del anclaje apical, para ser sustituido por las paredes laterales del seno en este caso y las corticales vestibular y palatina del hueso residual5-8. De esta forma se ha logrado con éxito rehabilitar zonas posteriores del maxilar con extrema atrofia con implantes extracortos, aun cuando el volumen óseo residual era por debajo de 5 mm, que como hemos visto anteriormente era la distancia límite en la que muchos autores fijan la altura ósea para determinados procedimientos de implante y elevación transalveolar simultánea2-4. En el presente trabajo, se presenta un estudio retrospectivo en el que se han evaluado implantes de 4,5 mm de longitud, insertados en sectores posteriores maxilares con una altura ósea residual igual o menor a 3 mm, realizándose al mismo tiempo una elevación de seno transcrestal. Con ello, se quiere analizar el comportamiento de estos implantes en situaciones muy extremas, donde la recomendación actual generalizada en la literatura internacional sería la elevación de seno convencional y la colocación de implantes en un segundo tiempo.
Fueron reclutados pacientes de forma retrospectiva, de ambos sexos, mayores de 18 años, en los que se insertaron implantes de 4,5 mm de longitud en sectores posteriores maxilares (zona de molares) con una longitud ósea residual en altura igual o menor de 3 mm, y se llevase a cabo junto con la inserción del implante una elevación de seno transcrestal, desde junio de 2021 hasta diciembre de 2022. Para ello se realizó una búsqueda en los historiales de forma retrospectiva localizando aquellos pacientes que cumplieron los criterios de inclusión en el tiempo determinado en una clínica dental situada en Vitoria (Álava, España). La recolección de datos fue llevada a cabo por dos examinadores y los datos necesarios para la realización del estudio se recogieron en un cuaderno de recogida de datos (CRD) anónimo y posteriormente se trasladaron a una base de datos informatizada, anónima que también fue trabajada por un tercer investigador.
Todos los pacientes fueron tratados por un mismo cirujano, para la realización de la inserción de los implantes y la técnica de elevación transcrestal. Antes de la inserción de los implantes se utilizó una premedicación antibiótica consistente en amoxicilina 2gr vía oral una hora antes de la intervención y paracetamol 1 gramo vía oral (como analgésico). Posteriormente los pacientes prosiguieron con un tratamiento de amoxicilina 500-750 mg vía oral cada 8 horas (según peso) durante 5 días. Todos los pacientes fueron estudiados antes de la inserción de los implantes mediante modelos diagnósticos, exploración intraoral y realización de una tomografía computerizada de haz cónico (CBCT), analizado posteriormente mediante un software específico (BTI-Scan III). La cirugía se lleva a cabo mediante la técnica de fresado biológico descrita por nuestro grupo de estudio previamente, a bajas revoluciones, sin irrigación10, hasta ser finalmente completada mediante la elevación transcrestal con las fresas de corte frontal que se emplean también a bajas revoluciones. Una vez la membrana es accesible mediante la perforación crestal se despega mediante una ligera presión y se inserta el implante con el motor quirúrgico fijado a 25 Ncm y 25 rpm finalizando la inserción del implante con la llave dinamométrica. Todo el hueso recogido con las fresas se conserva en PRGF-Endoret fracción 2 sin activar, para posteriormente ser utilizado como injerto óseo particulado en la elevación, sin otros materiales accesorios9,12. Una vez finalizada la cirugía se realiza una radiografía periapical con paralelizador que será la que se utilice como punto de partida. Los pacientes acuden posteriormente para la realización de radiografías periapicales de control, tomadas con la misma técnica y sobre estas radiografías se realizan las mediciones necesarias para comprobar la estabilidad y pérdida ósea crestal de los implantes. La medición de la pérdida ósea marginal se realizó en la última radiografía periapical realizada con posicionador de seguimiento.
Una vez obtenida la radiografía en formato digital es calibrada mediante un software específico (Digora for Windows, SOREDEX Digital Imaging systems) a través de una longitud conocida en la radiografía como es el implante dental. Una vez se introduce la medida de calibración, el programa informático realiza un cálculo basado en esta medida para eliminar la magnificación, pudiendo realizar mediciones lineales exentas de este error. La pérdida ósea crestal fue medida en dos puntos: mesial y distal de cada implante. El implante fue la unidad de análisis para la estadística descriptiva en cuanto a la localización, dimensiones del implante, y mediciones radiográficas. La variable principal fue la supervivencia del implante y como variables secundarias se registraron la pérdida ósea mesial y distal. Fue realizado el test de Shapiro-Wilk sobre los datos obtenidos para verificar la distribución normal de la muestra. Las variables cualitativas se describieron mediante un análisis de frecuencias y las variables cuantitativas se describieron mediante la media y la desviación estándar. La supervivencia de los implantes se calculó mediante el método de Kaplan-Meier. Los datos fueron analizados con SPSS v15.0 para windows (SPSS Inc., Chicago, IL, USA).
Fueron reclutados 13 pacientes en los que se insertaron 15 implantes que cumplieron con los criterios de inclusión previamente establecidos. De ellos, 9 pacientes fueron mujeres, siendo la edad media del grupo 58,13 años (+/- 13,93). Todos los implantes insertados fueron de longitud 4,5 mm, variando los diámetros entre 3,75 mm y 5,5 mm, siendo los diámetros más frecuentes 4,25 y 4,75 mm con un 26,7% cada uno de ellos. El resto de los diámetros se muestran en la Figura 1. Anitua E. cient. dent. VOL. 20 NÚM. 3. SEPTIEMBRE-OCTUBRE-NOVIEMBRE-DICIEMBRE 2023. PÁG. 137 9 La media de la altura inicial de la cresta, donde fueron colocados los implantes incluidos en el estudio fue de 2,85 mm (+/- 0,20) con un rango entre 2,50 y 3 mm.
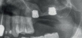
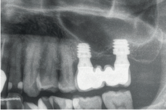
En la Figura 2 se muestran los diámetros y longitudes de los implantes incluidos en el estudio en función de los milímetros de cresta ósea residual en altura. La densitometría media de la zona de inserción del implante del grupo fue de 293,33 HU (+/- 144,99). El torque medio de los implantes estudiados fue de 27,33 Ncm (+/- 16,99). Todos los implantes se cargaron en dos fases quirúrgicas y en todos se llevó a cabo una elevación de seno transcrestal con injerto óseo autólogo particulado obtenido del fresado, embebido en PRGF-Endoret como marterial de injerto. En ninguno de los casos se registraron complicaciones relativas a la cirugía. Los implantes presentaron un seguimiento medio de 13,33 meses tras la carga (+/- 3,09), no encontrándose complicaciones ni fracasos durante este tiempo de seguimiento, por lo que la supervivencia fue del 100%. Todos los implantes fueron rehabilitados mediante prótesis múltiple atornillada mediante elemento intermedio (transepitelial múltiple, Multi-im®), encontrándose dos de los implantes ferulizados a otros de la misma longitud (4,5 mm) y el resto a longitudes mayores. La ratio corona-implante medio para el grupo de estudio fue de 2,43 mm (+/-0,45). La pérdida ósea mesial final media de todos los implantes fue de 0,42 mm (+/- 0,51) y la pérdida ósea distal final media de 0,16 mm (+/-0,34). En las Figuras 3 –13 se muestra uno de los casos incluidos en el estudio.


La literatura internacional reconoce como alternativa predecible para las atrofias verticales severas (3 mm de reborde óseo o menos) la elevación de seno convencional mediante ventana lateral, ya que se considera que con ese remanente óseo la colocación de implantes cortos o extracortos en zonas con altura ósea menor de 5 mm es de extrema dificultad, siendo compleja la estabilización del implante para evitar micromovimientos en los primeros pasos de la oseointegración13. Posteriormente, con la aparición de nuevas técnicas quirúrgicas y nuevos implantes, cortos y extracortos, con los que es posible alcanzar una estabilidad inicial mejor, se han desarrollado técnicas de colocación de implantes mediante técnica crestal en crestas óseas residuales de 5 mm de altura y menores, existiendo por lo tanto nuevas variantes que permiten nuevos abordajes14-15.
Nuestro grupo de estudio, con su propuesta de elevación transcrestal y su secuencia de fresado, incluida la fresa de corte frontal para el fresado del suelo del seno maxilar, ha publicado resultados con implantes de longitud de 5,5 mm y alturas óseas residuales menores de 5 mm con excelentes resultados a largo plazo5-9. Coincidimos en nuestros trabajos con la literatura internacional en que el mayor problema de utilizar implantes cortos o extracortos en la elevación transcrestal con alturas óseas menores a 5 mm es lograr la estabilización del implante. Por ello, llevar a cabo un protocolo de fresado basado en la morfología de la cresta, la densidad del hueso y el tipo óseo, así como en las características del implante es clave para generar una estabilidad primaria suficiente como para que el implante se integre sin problemas9 . En los casos clínicos presentados en este trabajo, con un volumen óseo de 3 mm o menos se ha logrado un 100% de supervivencia, sin complicaciones en la técnica quirúrgica, en el postoperatorio y en el seguimiento posterior, por lo que podemos afirmar que este protocolo realizado tiene éxito para estos casos más extremos.
Los datos preliminares obtenidos en el presente estudio muestran una alternativa predecible a la elevación de seno mediante ventana lateral con una menor morbilidad para los pacientes. Aun así, se precisan estudios con mayor número de pacientes y que utilicen los mismos procedimientos quirúrgicos y restauradores, así como publicar seguimientos más a largo plazo para afianzar los datos obtenidos por este estudio retrospectivo.
Sharan A, Madjar D. Maxillary sinus pneumatization following extractions: A radiographic study. Int J Oral Maxillofac Implants 2008;23:48–56.
Rungcharassaeng K, Caruso JM, Kan JY, Kim J, Taylor G. Factors affecting buccal bone changes of maxillary posterior teeth after rapid maxillary expansion. Am J Orthod Dentofacial Orthop 2007;132:428.e1-8.
Tatum H. Maxillary and sinus implant reconstructions. Dent Clin North Am 1986; 30:1207–29.
Summers RB. A New Concept in maxillary implant surgery: the osteotome technique.Compendium 1994;15:154–6.
Anitua E, Alkhraist MH, Piñas L, Orive G. Association of transalveolar sinus floor elevation, platelet rich plasma, and short implants for the treatment of atrophied posterior maxilla. Clin Oral Implants Res 2015; 26:69–76.
Anitua E, Flores J, Alkhraisat MH. Transcrestal Sinus Floor Augmentation by Sequential Drilling and the Use of Plasma Rich in Growth Factors. Int J Oral Maxillofac Implants 2017;32:e167– e173.
Anitua E, Flores J, Alkhraisat MH. Transcrestal Sinus Lift Using Platelet Concentrates in Association to Short Implant Placement: A Retrospective Study of Augmented Bone Height Remodeling. Clin Implant Dent Relat Res 2016;18:993-1002.
Anitua E, Piñas L, Murias-Freijo A, Alkhraisat MH. Rehabilitation of Atrophied Low-Density Posterior Maxilla by Implant-Supported Prosthesis. J Craniofac Surg 2016;27:e1-2.
Anitua E, Flores C, Fernández-deRetana S, Anitua B, Alkhraisat MH. Performance of Immediately Loaded Short Implants Using Low-Speed Drilling Protocol and Plasma Rich in Growth Factors: A Controlled Retrospective Observational Study. Int J Periodontics Restorative Dent 2023;43:232-239b.
Anitua E, Carda C, Andia I. A novel drilling procedure and subsequent bone autograft preparation: a technical note. Int J Oral Maxillofac Implants. 2007;22:138-45. Erratum in: Int J Oral Maxillofac Implants 2007;22:309.
Anitua E, Alkhraisat MH, Piñas L, Orive G. Efficacy of biologically guided implant site preparation to obtain adequate primary implant
Anitua E. Two-step progressive transcrestal sinus augmentation using a 4.5mm unloaded implant as a “temporary implant” in highly atrophic ridge: case report. Eur J Dent 2023;17:560-566.
Esposito M, Grusovin MG, Coulthard P, Worthington HV. The efficacy of various bone augmentation procedures for dental implants: a Cochrane systematic review of randomized controlled clinical trials. Int J Oral Maxillofac Implants 2006;21:696-710.
Bernardello F, Righi D, Cosci F, Bozzoli P, Soardi CM, Spinato S. Crestal sinus lift with sequential drills and simultaneous implant placement in sites with <5 mm of native bone: a multicenter retrospective study. Implant Dent. 2011;20:439-44.
Tsai CF, Pan WL, Pan YP, Chan CP, Ju YR, Wang YM, Lin CY, Chang CC. Comparison of 4 sinus augmentation techniques for implant placement with residual alveolar bone height ≤3 mm. Medicine (Baltimore) 2020;13;99:e23180.
Anitua, Eduardo
DDS, MD, PhD. Práctica privada en implantología oral, Clínica Eduardo Anitua, Vitoria, España. Instituto universitario para la medicina oral regenerativa y la implantología – (University Institute for Regenerative Medicine and Oral Implantology – UIRMI) (UPV/ EHU Fundación Eduardo Anitua), Vitoria, España. BTI Biotechnology institute (BTI), Vitoria, España.