Científica Dental: abril 2021 (edición exclusiva online)
Caso clínico
Peña Cardelles J F, Asensio Acevedo R, Ortega Concepción D, Moreno Pérez J, Robles Cantero D, García Guerrero I, Gómez de Diego R. El reto del abordaje quirúrgico en la rehabilitación sobre un implante unitario en un caso de alto requerimiento estético del sector anterior. Descripción a propósito de un caso. Cient. Dent. 2021; 18; 2; 85-96
El reto del abordaje quirúrgico en la rehabilitación sobre un implante unitario en un caso de alto requerimiento estético del sector anterior. Descripción a propósito de un caso
Objetivo: Describir de forma detallada el abordaje clínico basado en la evidencia científica actual de un implante postextracción con carga y provisionalización inmediata.
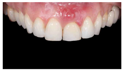
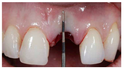
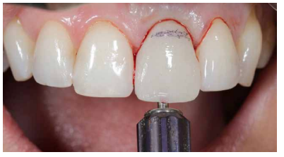
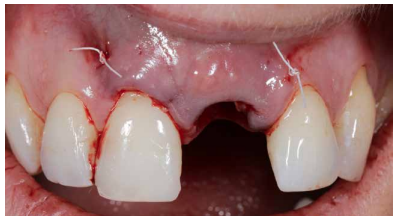
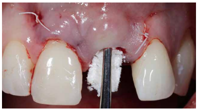
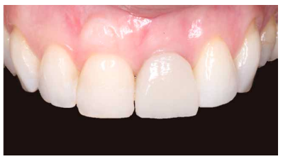
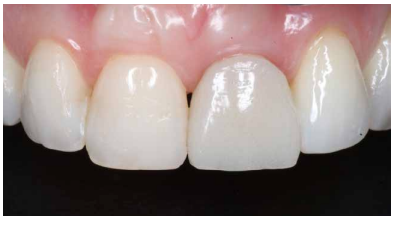
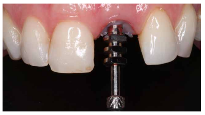
Caso clínico: Se presenta el caso de una paciente mujer de 32 años de edad, que acude por presentar una posible fractura radicular del incisivo central superior izquierdo (ICSI), acompañada de la aparición de un absceso periodontal en la región del fondo de vestíbulo de dicho diente. Tras llevar a cabo la exploración clínica y radiológica, se establece que el pronóstico del ICSI es desfavorable para llevar a cabo un tratamiento conservador del mismo. Tras la valoración de las características clínicas del caso presente, el plan de tratamiento se inclinó por la realización de la exodoncia del ICSI con la colocación simultánea de un IOI postextracción y la carga inmediata con una prótesis provisional del mismo.
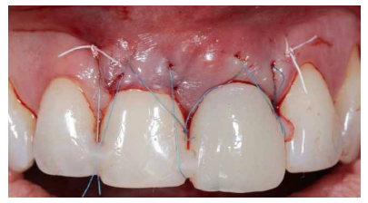
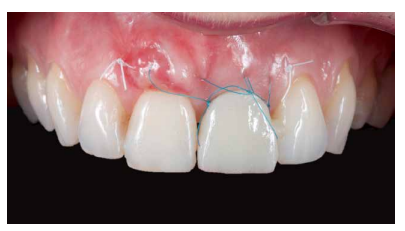
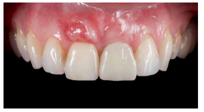
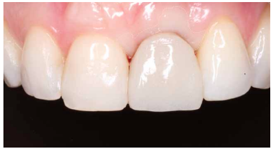
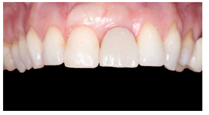
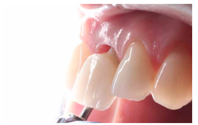
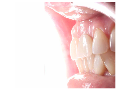
Conclusiones: La rehabilitación sobre implantes en situaciones de pérdida dental en el sector anterior estético y en especial, en pacientes jóvenes, requiere un plan de tratamiento multidisciplinar en cuanto a la extracción del diente y colocación del IOI en la posición tridimensional correcta, existiendo diferentes aspectos a tener en cuenta para ello, especialmente el remanente óseo residual, la posición del margen gingival, así como la preservación y acondicionamiento de los tejidos duros y blandos periimplantarios mediante injertos y un manejo correcto de una prótesis provisional hasta conseguir un perfil de emergencia y contorno gingival ideal antes de la corona definitiva
Objective: To describe in detail the clinical approach based on current scientific evidence for a post-extraction implant with immediate loading and provisionalisation.
Clinical case: We present the case of a 32-year-old female patient who presented with a possible root fracture of the upper left central incisor (ULCI), accompanied by the appearance of a periodontal abscess in the region of the bottom of the vestibule of said tooth. After carrying out the clinical and radiological examination, it is established that the ULCI prognosis is unfavourable for carrying out conservative treatment of the tooth. After assessing the clinical characteristics of the present case, the chosen treatment plan was to extract the ULCI with the simultaneous placement of a post-extraction osseointegrated implant (OII) and immediate loading of a provisional prosthesis on the implant.
Conclusions: Rehabilitation on implants in situations of tooth loss in the aesthetic anterior sector, especially in young patients, requires a multidisciplinary treatment plan in relation to tooth extraction and placement of the OII in the correct three-dimensional position. There are various aspects to be taken into account, particularly the residual remaining bone, the position of the gingival margin, as well as the preservation and conditioning of the peri-implant hard and soft tissues by means of grafts and proper handling of a provisional prosthesis until an ideal emergence profile and gingival contour is achieved before the final crown.
La biología oral cobra cierto protagonismo en el siglo XXI, ya que es necesario poner en relieve los procesos relacionados con la biología ósea, la biología de los tejidos blandos y cómo son los procesos que tienen lugar en el transcurso temporal desde la pérdida de un diente y el porvenir de los tejidos tras su sustitución con un implante dental.
Los procesos fisiológicos que tienen lugar tras la exodoncia de un diente son drásticos, pues conllevan una serie de modificaciones en los tejidos blandos y duros del complejo alveolar. Principalmente, la microvascularización de la arquitectura que rodea al diente sufre un daño y atrofia que culmina con la disminución del aporte vascular brindado por el ligamento periodontal1-4, teniendo lugar entonces una serie de procesos de reabsorción que serán argumentados a lo largo de la descripción de este caso clínico.
Con los avances en el campo de la implantología oral, se ha producido la aparición de nuevos tratamientos de superficie de los implantes osteointegrados (IOI), diferentes diseños macroscópicos y diferentes materiales. Dicho desarrollo se ha asociado a una estabilidad primaria del IOI mayor, así como un mejor pronóstico. La tendencia actual en el ámbito de la implantología ha sido una evolución desde la carga convencional del IOI a una carga inmediata, ya que el porvenir de la sociedad y de los pacientes son unas mayores exigencias funcionales y estéticas5.
Los beneficios de la carga inmediata incluyen una reducción notable de las intervenciones quirúrgicas, una menor dilatación temporal del tratamiento e incluso un mejor bienestar psicológico y social para el paciente. En casos con importante compromiso estético, la carga inmediata o la provisionalización inmediata, añadida a la colocación inmediata postextracción del IOI permiten minimizar las alteraciones derivadas de la pérdida dental, manteniendo el perfil de emergencia, contorno de tejidos blandos y las papilas gingivales5-7.
Así mismo, se han establecido diferentes protocolos para el manejo del sector estético anterosuperior, que se suman al acto de la colocación inmediata del implante y la corona provisional, donde se incluyen la colocación de un material no reabsorbible entre el IOI y la cortical vestibular para minimizar el posible colapso, así como el manejo de los tejidos blandos periimplantarios8-11.
El objetivo del presente artículo es describir de forma detallada el abordaje clínico basado en la evidencia científica actual de un implante postextracción con carga y provisionalización inmediata.
Araújo MG, Lindhe J. Dimensional ridge alterations following tooth extraction. An experimental study in the dog. J Clin Periodontol 2005; 32 (2): 212-8.
Araújo MG, Sukekava F, Wennström JL, Lindhe J. Ridge alterations following implant placement in fresh extraction sockets: an experimental study in the dog. J Clin Periodontol 2005; 32 (6): 645-52
Araújo MG, da Silva JCC, de Mendonça AF, Lindhe J. Ridge alterations following grafting of fresh extraction sockets in man. A randomized clinical trial. Clin Oral Implants Res 2015; 26 (4): 407-412.
Araújo MG, Sukekava F, Wennström JL, Lindhe J. Tissue modeling following implant placement in fresh extraction sockets. Clin Oral Implants Res 2006; 17 (6): 615-24.
Cheng Q, Su YY, Wang X, Chen S. Clinical Outcomes Following Immediate Loading of Single-Tooth Implants in the Esthetic Zone: A Systematic Review and Meta-Analysis. Int J Oral Maxillofac Implants 2020; 35 (1): 167-177.
Elian N, Cho SC, Froum S, Smith RB, Tarnow DP. A simplified socket classification and repair technique. Pract Proced Aesthet Dent 2007; 19 (2): 99-104.
Uribe R, Peñarrocha M, Balaguer J, Fulgueiras N. Immediate loading in oral implants. Present situation. Med Oral Patol Oral Cir Bucal 2005; 10 (2): E143-53.
Araújo M, Linder E, Wennström J, Lindhe J. The influence of Bio-Oss Collagen on healing of an extraction socket: an experimental study in the dog. Int J Periodontics Restorative Dent 2008; 28 (2): 123-35.
Araújo MG, da Silva JCC, de Mendonça AF, Lindhe J. Ridge alterations following grafting of fresh extraction sockets in man. A randomized clinical trial. Clin Oral Implants Res 2015; 26 (4): 407-412.
Sanz M, Lindhe J, Alcaraz J, SanzSanchez I, Cecchinato D. The effect of placing a bone replacement graft in the gap at immediately placed implants: a randomized clinical trial. Clin Oral Implants Res 2017; 28 (8): 902-910.
Chen ST, Buser D. Clinical and esthetic outcomes of implants placed in postextraction sites. Int J Oral Maxillofac Implants 2009; 24: 186-217.
Higginbottom F, Belser R, D. Jones J, E. Keith S. Prosthetic management of implants the esthetic zone. Int. J. Oral Maxillofac Implants 2004; 19: 62-72.
Al-Sabbagh M. Implants in the Esthetic Zone. Dent Clin N Am 2006; 50: 391–407.
Buser et al. Optimizing esthetics for implant restorations in the anterior maxilla: anatomic and surgical considerations. Int. J. Oral Maxillofac Implants 2004; 19: 43-61.
Buser D, Chappuis V, Belser UC, Chen S. Implant placement post extraction in esthetic single tooth sites: when immediate, when early, when late? Periodontol 2000 2017; 73 (1): 84-102.
Su H, González-Martin O, Weisgold A, Lee E. Considerations of implant abutment and Crown contour: Critical contour and subcritical contour. Int J Periodontics Restorative Dent 2010; 30: 335-343
Strub JR Jurdzik BA, Tuna T. Prognosis of immediately loaded implants and their restorations: a systematic literature review. J Oral Rehabil 2012; 39 (9): 704-17.
Araújo M, Linder E, Wennström J, Lindhe J. The influence of Bio-Oss Collagen on healing of an extraction socket: an experimental study in the dog. Int J Periodontics Restorative Dent. 2008; 28 (2): 123-35
Noelken R, Geier J, Kunkel M, Jepsen S, Wagner W. Influence of soft tissue grafting, orofacial implant position, and angulation on facial hard and soft tissue thickness at immediately inserted and provisionalized implants in the anterior maxilla. Clin Implant Dent Relat Res 2018; 20 (5): 674-682.
Zurh O et al. Clinical Benefits of the Immediate Implant Socket Shield Technique. J of Esthet Restor Dent 2017; 29 (2): 93-101.
Fu JH et al. Influence of tissue biotye on implant esthetics Int. J Oral Maxillofac Implants 2011; 26: 499-508.
Kan JY, Roe P, Rungcharassaeng K, Patel RD, Waki T, Lozada JL, Zimmerman G. Classification of sagittal root position in relation to the anterior maxillary osseous housing for immediate implant placement: a cone beam computed tomography study. Int J Oral Maxillofac Implants 2011; 26 (4): 873-6.
Martins-da Rosa JC, de Oliveira-Rosa AC, Fadanelli MA, Sotto-Maior B. Immediate implant placement, reconstruction of compromised sockets, and repair of gingival recession with a triple graft from themaxillary tuberosity: A variation of the immediate dentoalveolar restoration technique. Prosthet Dent 2014; 112: 717-722.
Influence of tissue biotye on implant esthetics Int. J Oral Maxillofac Implants 2011; 26: 499-508.
Olsson M, Lindhe J, Marinello CP. On the relationship between crown form and clinical features of the gingiva in adolescents. J Clin Periodontol 1993; 20 (8): 570-7.
Chapple ILC, Mealey BL, Van Dyke TE, Bartold PM, Dommisch H, Eickholz P y cols. Periodontal health and gingival diseases and conditions on an intact and a reduced periodontium: Consensus report of workgroup 1 of the 2017 World Workshop on the Classification of Periodontal and Peri-Implant Diseases and Conditions. J Periodontol 2018; 89 (1): S74-S84.
Papapanou PN, Sanz M, Buduneli N, Dietrich T, Feres M, Fine DH y cols. Periodontitis: Consensus report of workgroup 2 of the 2017 World Workshop on the Classification of Periodontal and Peri-Implant Diseases and Conditions. J Clin Periodontol 2018; 45 (20): S162-S170.
Müller HP, Eger T. Gingival phenotypes in young male adults. J Clin Periodontol 1997; 24 (1): 65-71.
Wennstrom JL, Derks J. Is there a need for keratinized mucosa around implants to maintain health and tissue stability? Clin Oral Implants Res 2012: 23: 136–146.
Vignoletti F, Di Domenico GL, Di Martino M, Montero E, de Sanctis M. Prevalence and risk indicators of peri-implantitis in a sample of university-based dental patients in Italy: A cross-sectional study. J Clin Periodontol 2019; 46 (5): 597-605.
Thoma DS, Mühlemann S, Jung RE. Critical soft-tissue dimensions with dental implants and treatment concepts. Periodontol 2000 2014; 66 (1): 106-18.
Bassetti RG, Stähli A, Bassetti MA, Sculean A. Soft tissue augmentation around osseointegrated and uncovered dental implants: a systematic review. Clin Oral Investig 2017; 21 (1): 53-70.






























