Ir al contenido principal
Científica Dental
Publicaciones
Artículos
Normas de publicación
Comité editorial
Contacto
Científica Dental
Publicaciones
Artículos
Normas de publicación
Comité editorial
Contacto
Todos los artículos
(1) filtrado
Filtros
Restablecer todo
×
Pulpitis
×
1
entrada encontrado
Autor
– Seleccionar Autor –
Cristina Vera Vázquez (1)
Isabel Honrubia Fernández (1)
Santiago De Vega Calleja (1)
Virginia Belliard Tiol (1)
Laura Ceballos García (1)
Temática
— Pulpitis
Atrofia vertica
(
1
)
Elevación transcrestal
(
2
)
Implante ultracorto
(
1
)
Estabilidad primaria
(
1
)
Dentina autógena
(
5
)
Implante dental
(
9
)
Dentina autóloga
(
4
)
Caries
(
3
)
Prevalencia
(
5
)
Severidad
(
1
)
Salud
(
1
)
Estadios
(
1
)
Canino incluido
(
2
)
Autotrasplante
(
1
)
dental
(
1
)
Ortodoncia
(
5
)
Reabsorción radicular
(
1
)
Genética
(
2
)
Trasplante dental
(
1
)
Implante extracorto
(
2
)
Autotrasplante dental
(
1
)
Estudiantes de odontología
(
2
)
SARSCoV-2
(
1
)
COVID19
(
3
)
Ansiedad
(
3
)
GAD7
(
1
)
Extrusión quirúrgica
(
1
)
Restos radiculares
(
1
)
Ferrule
(
1
)
Aumento del suelo del seno maxilar
(
1
)
Complicaciones en elevación de seno
(
2
)
Elevación del seno maxilar
(
6
)
Frenillo lingual
(
1
)
Frenectomía
(
1
)
Anquiloglosia
(
1
)
Molares primarios
(
1
)
Odontopediatría
(
2
)
Pulpectomía
(
1
)
Instrumentación rotatoria
(
1
)
Padres
(
1
)
Técnicas de conducta
(
1
)
Aspectos éticos y legales
(
1
)
Tratamiento multidisciplina
(
1
)
Agenesia incisivo lateral
(
1
)
Implante cerámico monobloque
(
1
)
Circona
(
1
)
Tejidos blandos
(
3
)
Enfermedades orales
(
1
)
Periodontitis
(
9
)
Metagenómica salival
(
1
)
Sinusitis maxilar
(
4
)
Sinusitis/diagnóstico
(
1
)
Endoscopia
(
1
)
Fístula oro-antral
(
1
)
Comunicación oro-antral
(
1
)
Tratamiento dental
(
3
)
Sinusitis odontogénica
(
1
)
Sinusitis maxilar/etiología
(
1
)
Sinusitis/complicaciones
(
1
)
Complicación mediata
(
1
)
Complicación inmediata
(
1
)
Complicaciones
(
7
)
Terceros molares
(
2
)
Extracción dental
(
9
)
Clopidogrel
(
1
)
Ácido acetil salicílico
(
1
)
Trombo plaquetario
(
1
)
Plaquetas
(
1
)
Antiagregantes plaquetarios
(
1
)
Explantación
(
2
)
Regeneración
(
4
)
Sector estético
(
1
)
Manejo
(
3
)
Autorreferido
(
1
)
Bruxismo
(
4
)
Bruxismo de vigilia
(
1
)
Preservación cresta alveolar
(
1
)
Hueso neoformado
(
2
)
Alveolo
(
1
)
Sustituto óseo
(
1
)
Cresta alveolar
(
1
)
Preservación alveolar
(
5
)
Maloclusión
(
3
)
Mordida cruzada unilateral
(
1
)
Asimetría mandibular
(
1
)
Masticación unilateral
(
1
)
Torque inserción
(
2
)
Implante corto
(
2
)
Complicación post extracción
(
1
)
Cicatrización post extracción
(
1
)
Anticonceptivos orales
(
2
)
Alveolitis
(
2
)
Cad/Cam
(
3
)
Planificación digital
(
2
)
Rehabilitación oral
(
1
)
Implantes subperiósticos
(
1
)
Estética dental
(
2
)
Ángulo nasolabial
(
1
)
Alzheimer
(
1
)
Demencia
(
1
)
Factor de riesgo
(
1
)
Injerto de tejido conectivo
(
9
)
Colgajo de avance coronal
(
1
)
Recesión gingival
(
7
)
Túnel lateralmente cerrado
(
1
)
Papel del profesional sanitario
(
1
)
Dentinogénesis imperfecta
(
2
)
Dentina
(
1
)
Odontología pediátrica
(
1
)
Primera visita odontológica
(
1
)
Prevención
(
1
)
Alcohol
(
2
)
Tobacco
(
1
)
Risk factors
(
1
)
Oral squamous cell carcinoma
(
1
)
Oral cancer
(
3
)
Spain
(
1
)
Socioeconomic
(
1
)
Permanent
(
1
)
Dentition
(
1
)
Sequence
(
1
)
Chronology
(
1
)
Split technique
(
1
)
Block grafting
(
1
)
Dental implant
(
5
)
Autotransplant
(
1
)
Dental transplant
(
1
)
Treatment
(
2
)
Management
(
1
)
Therapeutics
(
1
)
Burning Mouth Syndrome
(
1
)
Resin cements
(
1
)
Bioceramic cements
(
1
)
Endodontic cements
(
1
)
Obturation
(
1
)
Síndrome de Boca Ardiente
(
2
)
Terapéutica
(
1
)
Tratamiento
(
8
)
Injerto en bloque
(
2
)
Técnica de Split
(
1
)
b-TCP
(
1
)
Betafosfatotricálcico
(
1
)
Implantes
(
3
)
Elevación de seno
(
6
)
España
(
2
)
Socioeconómico
(
1
)
Permanente
(
2
)
Dentición
(
2
)
Cronología
(
2
)
Secuencia
(
2
)
Salud bucodental
(
1
)
Ingresos
(
1
)
Implantes dentales
(
23
)
Educación
(
2
)
Creencias
(
1
)
Encuesta
(
1
)
Efectos adversos níquel
(
1
)
Aleaciones dentales
(
1
)
Efectos adversos aparatos de ortodoncia.
(
1
)
Rectángulo áureo
(
1
)
Proporción áurea
(
1
)
Altura facial
(
1
)
Población
(
1
)
Infantil
(
2
)
Quad approach
(
1
)
ZAGA
(
1
)
PMMA
(
1
)
Carga inmediata
(
6
)
Flujo de trabajo digital
(
1
)
Guías quirúrgicas digitales
(
1
)
Atrofia severa
(
1
)
Implantes cigomáticos
(
1
)
Consecuencias ortodóncicas
(
1
)
Impacto periodontal
(
1
)
Tratamientos ortodóncicos
(
1
)
Cambios tisulares periodonto
(
1
)
Movimientos ortodóncicos
(
1
)
Compuestos sulfurados volátiles
(
1
)
Microbiota oral
(
1
)
Colutorios
(
2
)
Halitosis
(
1
)
Pseudoquistes
(
2
)
Mucoceles
(
1
)
Quistes de retención
(
1
)
Quistes sinusales
(
1
)
Estética
(
3
)
Abordaje multidisciplinar
(
1
)
Sector anterior
(
1
)
Dental extraction
(
2
)
Chlorhexidine
(
1
)
Healing
(
1
)
Hyaluronic acid
(
1
)
OHIP-14
(
2
)
Perceived Stress Scale
(
2
)
Xerostomia Inventory
(
1
)
Dry mouth
(
1
)
Hyposalivation
(
1
)
Xerostomia
(
2
)
Immediate provisionalisation
(
1
)
Immediate loading
(
2
)
Post-extraction implant
(
2
)
Guided bone regeneration
(
2
)
Periapical surgery
(
2
)
Root canal treatment
(
1
)
Periapical lesion
(
1
)
Regeneration
(
2
)
Bone graft
(
3
)
Autogenous tooth
(
1
)
Alveolar preservation
(
1
)
Extracted tooth
(
1
)
Demineralised dentin matrix
(
1
)
Particulate dentin
(
1
)
Resin sealers
(
1
)
Bioceramic sealers
(
1
)
Endodontic sealers
(
1
)
Sealing
(
1
)
Tabaco
(
1
)
Carcinoma oral de células escamosas
(
1
)
Cáncer oral
(
7
)
Injerto de dentina
(
1
)
Regeneración ósea guiada
(
8
)
Cirugía oral
(
6
)
Vía aérea
(
1
)
Síndrome de Sanfilippo
(
1
)
Mucopolisacaridosis
(
2
)
Fibrina rica en plaquetas y leucocitos
(
1
)
Fibrina rica en plaquetas
(
2
)
Plasma rico en plaquetas
(
4
)
Defectos periimplantarios
(
1
)
Concentrados plaquetarios
(
2
)
Recesiones gingivales
(
1
)
Test de Corah
(
1
)
Estrés
(
2
)
Hipertensión arterial
(
2
)
Interacciones farmacológicas
(
1
)
Déficit de vitamina D
(
1
)
Obesidad
(
1
)
Hipotensión
(
1
)
Diabetes tipo II
(
1
)
Material de regeneración
(
1
)
Injertos óseos
(
2
)
Flujo digital
(
1
)
Rehabilitación total
(
2
)
Maxilares edéntulos
(
1
)
All-On 4
(
1
)
Cavidad oral
(
3
)
Traumatismos
(
1
)
Rugby
(
1
)
Dentición primaria
(
1
)
Niños
(
5
)
Fluoruro diamino de plata
(
1
)
Injertos en bloque óseo
(
1
)
Colgajo rotado del paladar
(
1
)
Elevación lateral
(
1
)
Elevación de seno sin relleno
(
2
)
Úlceras orales crónicas
(
1
)
Membrana mucosa
(
1
)
Lesiones orales
(
1
)
Pénfigo
(
1
)
Pénfigo Vulgar
(
1
)
Cementos resina
(
1
)
Cementos biocerámicos
(
1
)
Cementos de endodoncia
(
1
)
Obturación
(
3
)
Toxicidad
(
1
)
Inflamación
(
1
)
Obturación del conducto radicular
(
1
)
Tratamiento de conductos
(
3
)
Úlcera traumática
(
1
)
Úlcera oral
(
1
)
Granuloma ulcerativo traumático con eosinofilia estromal
(
1
)
Úlcera eosinofílica
(
1
)
Células madre mesenquimales
(
1
)
Células estromales
(
1
)
Cirugía
(
2
)
Médula ósea
(
1
)
elevación
(
1
)
Regeneración ósea
(
5
)
Universidad
(
1
)
Estudio retrospectivo
(
1
)
Humanos
(
1
)
Adultos
(
1
)
Mucosa oral
(
3
)
Injerto de mentón
(
1
)
Injerto de rama
(
1
)
Injerto óseo autógeno
(
1
)
Técnica de ventana lateral
(
1
)
Histomorfometría
(
1
)
Biomaterial
(
2
)
Boca seca
(
2
)
Xerostomy Inventory
(
1
)
Hiposalivación
(
1
)
Xerostomía
(
3
)
Alimentos funcionales
(
1
)
Micronutrientes
(
1
)
Antioxidantes
(
1
)
Dieta
(
1
)
Respuesta inflamatoria
(
1
)
Estrés oxidativo
(
1
)
Pérdida de Inserción
(
1
)
Altura
(
1
)
Diámetro
(
1
)
Anatomía
(
1
)
Arteria alveolar posterior superior
(
1
)
Seno maxilar
(
6
)
Profilaxis antibiótica
(
1
)
Fracaso de implantes dentales
(
1
)
Complicaciones de implantes dentales
(
1
)
Provisionalización inmediata
(
1
)
Implante postextracción
(
4
)
Anestesia local
(
2
)
Anestésicos locales
(
2
)
Efectos adversos
(
2
)
Anestesia dental
(
1
)
Diente autógeno
(
1
)
Diente exodonciado
(
1
)
Matriz de dentina desmineralizada
(
1
)
Dentina particulada
(
1
)
Enfermedades respiratorias
(
1
)
Asma
(
2
)
Defectos del esmalte
(
2
)
Hipomineralización incisivo-molar
(
4
)
Hipoplasia del esmalte
(
1
)
Biodentine
(
2
)
Pulpitis
(
1
)
Dentición permanente
(
2
)
Pulpotomía
(
2
)
Lesiones de mucosa oral
(
1
)
Mucosa bucal
(
1
)
Epidemiología
(
1
)
Quistectomía
(
1
)
Cordal incluido
(
1
)
Quiste dentígero
(
8
)
Maloclusiones
(
1
)
Clasificación de Angle
(
1
)
Peri-implantitis
(
5
)
Re-tratamiento
(
1
)
Atrofia ósea
(
3
)
Radioterapia
(
5
)
Quimioterapia
(
1
)
Dolor
(
1
)
Mucositis oral
(
1
)
Emdogain®
(
3
)
Cirugía mucogingival
(
3
)
Factores de crecimiento
(
2
)
Distracción osteogénica alveolar
(
1
)
Blanqueamiento dental
(
3
)
Microabrasión del esmalte
(
1
)
Fluorosis dental
(
1
)
Orthopantomography
(
2
)
Cone beam computed tomography
(
1
)
Dental inclusion
(
1
)
Impacted tooth
(
1
)
Impacted maxillary canines
(
1
)
Cephalometry
(
1
)
Scoliosis
(
1
)
Dentofacial manifestations
(
1
)
Postural disorders
(
1
)
Posture
(
1
)
Occlusion
(
1
)
Atrophic maxilla
(
1
)
Short implants
(
2
)
Sinus lift
(
1
)
Bone atrophy
(
1
)
Split crest
(
2
)
Alveolar ridge preservation
(
1
)
Calcium phosphate
(
1
)
Soft tissue
(
1
)
Digital dentistry
(
1
)
Pandemia
(
1
)
Atención dental urgente
(
1
)
Infección por Coronavirus
(
1
)
COVID-19
(
4
)
Cirugía periapical
(
2
)
Endodoncia
(
9
)
Lesión periapical
(
2
)
Cicatrización
(
2
)
Ácido hialurónico
(
3
)
Clorhexidina
(
1
)
Dentina humana desmineralizada
(
2
)
Injerto autólogo
(
2
)
Pérdida de hueso marginal
(
1
)
Osstell®
(
1
)
Valor ISQ
(
1
)
Análisis de frecuencia de resonancia
(
1
)
Torque de inserción
(
1
)
Hueso regenerado
(
1
)
Hueso nativo
(
1
)
Colocación de implantes
(
1
)
Colgajo pediculado palatino
(
1
)
Micromalla titanio
(
1
)
Fenestración
(
1
)
Dehiscencia
(
1
)
Tabla ósea vestibular
(
1
)
Pink Esthetic Score
(
1
)
Nervio dentario inferior
(
5
)
Tercer molar
(
5
)
Coronectomía
(
2
)
Material biocerámico
(
1
)
Sellado tridimensional
(
1
)
Tomografía de haz cónico
(
1
)
Reabsorción interna inflamatoria
(
1
)
Cefalometría
(
1
)
Escoliosis
(
1
)
Manifestaciones dentofaciales
(
1
)
Desórdenes posturales
(
1
)
Postura
(
1
)
Oclusión
(
1
)
Glándula salival
(
1
)
Tratamiento quirúrgico
(
5
)
Mucocele labial
(
1
)
Mucocele de retención
(
1
)
Coronavirus
(
1
)
Odontopediatra
(
1
)
Síntomas orales
(
2
)
Alteración genética
(
1
)
Síndrome de Morquio
(
1
)
WaveOne Gold®
(
1
)
ProTaper Gold®
(
1
)
ProTaper Next®
(
1
)
Resistencia a la fractura
(
2
)
Instrumentación
(
1
)
Elevación atraumática
(
1
)
Odontología digital
(
1
)
Terapia
(
2
)
Intervención
(
1
)
Grupos
(
1
)
Tipos
(
1
)
Clasificación
(
1
)
Modalidades
(
1
)
Causas
(
1
)
Origen
(
1
)
Etiología
(
2
)
Línea de sonrisa alta
(
1
)
Sonrisa gingival
(
1
)
EPI respiratorio
(
1
)
Respirador
(
1
)
FFP
(
1
)
Media máscara facial
(
1
)
Máscaras autofiltrantes
(
1
)
Máscaras de protección respiratoria
(
1
)
Mascarillas quirúrgicas
(
1
)
Mascarillas textiles
(
1
)
Mascarillas higiénicas
(
1
)
Mascarillas
(
1
)
Ortopantomografía
(
2
)
Cone-beam computed tomography
(
1
)
Inclusión dentaria
(
1
)
Diente impactado
(
2
)
Caninos maxilares incluidos
(
1
)
Maxilar atrófico
(
3
)
Encuestas control conducta
(
1
)
Pacientes pediátricos
(
1
)
Técnicas manejo paciente infantil
(
1
)
Guías comportamiento odontopediatría
(
1
)
Hipoestesia
(
1
)
Khoury
(
1
)
O-cymen-5-ol
(
1
)
Gingivitis
(
5
)
Sangrado gingival
(
1
)
Carcinoma basocelular cutáneo múltiple
(
1
)
Queratoquistes odontogénicos
(
1
)
Síndrome de Gorlin-Goltz
(
1
)
Edad esquelética
(
1
)
Edad dental
(
1
)
Maduración dental
(
1
)
Maduración esquelética
(
1
)
Patrón de crecimiento facial
(
1
)
Tratamiento de urgencia
(
1
)
Enseñanza
(
1
)
Práctica
(
1
)
Actitud
(
1
)
Conocimientos sanitarios
(
1
)
Adolescente
(
1
)
Niño
(
2
)
Escuelas
(
1
)
Avulsión dental
(
1
)
Lesión dental
(
1
)
Carcinoma mucoepidermoide
(
1
)
Trígono retromolar
(
1
)
Glándulas salivales menores
(
1
)
Glándulas salivales
(
2
)
Dental plaque
(
1
)
Cetylpyridinium chloride
(
1
)
Oral mouth rinse
(
1
)
Chlorhexidine gluconate
(
1
)
Sleep
(
1
)
Childhood sleep disorders
(
1
)
Sleep bruxism
(
1
)
Bruxism
(
1
)
Drugs
(
1
)
Marijuana
(
1
)
Cannabis
(
2
)
Necrotizing gingivitis
(
1
)
Necrotizing periodontitis
(
1
)
Periodontal disease
(
1
)
Hydroxyapatite
(
1
)
Tazobactam
(
2
)
Piperacillin
(
1
)
Implantoplasty
(
1
)
Demineralized human dentin
(
1
)
Autologous graft
(
1
)
Autogenous dentin
(
1
)
Increased soft tissue
(
1
)
Peri-implant soft tissue volume
(
1
)
Peri-implant keratinized mucosa
(
1
)
Mucograft
(
2
)
Connective tissue graft
(
2
)
PRGF
(
2
)
PRP
(
1
)
Aoncentrados Plaquetarios
(
1
)
Fármacos Antirresortivos
(
1
)
Bifosfonatos
(
5
)
Osteonecrosis
(
4
)
Resistencias bacterianas
(
1
)
Antibioterapia
(
1
)
Cordón fibroso
(
1
)
Fístula extraoral
(
1
)
Celulitis crónica
(
1
)
Leptina
(
1
)
Enfermedad periodontal
(
4
)
Matriz de dentina
(
1
)
Injerto dental
(
1
)
Perdida de hueso crestal
(
1
)
Tasa de supervivencia
(
4
)
Elevación de seno con osteótomos
(
1
)
Sin injerto
(
1
)
Síndromes
(
1
)
Anomalía de forma anomalías dentarias
(
2
)
Anomalías dentales
(
1
)
Taurodontismo
(
2
)
Rellenos periorales
(
1
)
Rejuvenecimiento facial
(
1
)
Síndrome de Cushing exógeno
(
1
)
Liquen plano oral
(
1
)
Corticoesteroides tópicos
(
1
)
Placa dental
(
1
)
Cloruro de cetilpiridinio
(
1
)
Enjuague oral
(
1
)
Gluconato de clorhexidina
(
1
)
Manifestaciones orales
(
8
)
Manejo odontológico
(
7
)
Patología hepática
(
1
)
Hidroxiapatita
(
1
)
Piperacilina
(
1
)
Implantoplastia
(
1
)
Periimplantitis
(
5
)
Maxilar anterior
(
1
)
Injerto autólogo en bloque
(
1
)
Injerto óseo autólogo
(
1
)
Xenoinjerto particulado
(
1
)
Xenoinjerto
(
2
)
Regeneración horizontal
(
1
)
Adulto mayor
(
1
)
Factores de riesgo
(
2
)
Calidad del sueño
(
1
)
Matriz
(
1
)
Tejido pulpar
(
1
)
Células madre
(
1
)
Técnicas quirúrgicas ránula
(
1
)
Tratamiento ránula
(
1
)
Ránula sublingual
(
1
)
Paciente pediátrico
(
1
)
Dolor en odontopediatría
(
1
)
Factores de la ansiedad dental
(
1
)
Experiencias dentales negativas
(
1
)
Ansiedad dental y miedo
(
1
)
ERM
(
1
)
Twin-block
(
1
)
OSAS pediátrica
(
1
)
Artritis reumatoide
(
1
)
Complicaciones nerviosas
(
1
)
mandíbulas atróficas
(
1
)
Nervio alveolar inferior
(
1
)
Transposición
(
1
)
Non-resorbable
(
1
)
Vertical augmentation
(
1
)
GBR
(
1
)
Teacher training
(
1
)
Dental trauma
(
1
)
Trauma questionnaire
(
1
)
Tooth extraction
(
2
)
Inferior alveolar nerve
(
1
)
Lower third molar
(
2
)
Coronectomy
(
1
)
Active infection
(
1
)
Post-extraction socket
(
2
)
Emdogain
(
2
)
Mucogingival surgery
(
1
)
Gingival recession
(
1
)
Palatal deviation
(
1
)
Maxillary cuspids
(
1
)
Desgaste dentario
(
1
)
Síndrome de apnea-hipoapnea del sueño
(
1
)
Drogas
(
1
)
Periodontitis necrosante
(
1
)
Marihuana
(
1
)
Gingivitis necrosante
(
1
)
Bisfenol A
(
1
)
Sinusitis odontógena
(
1
)
Desplazamiento
(
1
)
Tercer molar superior
(
1
)
Plan de estudios de odontología
(
1
)
Salud oral
(
6
)
Odontología geriátrica
(
1
)
Geriatría
(
1
)
Manejo dental
(
2
)
EPOC
(
1
)
Pilar múltiple
(
1
)
Tejidos periimplantarios
(
2
)
Espacio biológico
(
2
)
Socket Shield
(
2
)
Medicación antiasmática
(
1
)
Bulimia
(
1
)
Anorexia
(
1
)
Trastornos de alimentación
(
1
)
Aumento de tejido blando
(
1
)
Volumen de tejido blando periimplantario
(
1
)
Mucosa queratinizada periimplantaria
(
1
)
Formación de profesores
(
1
)
Traumatismo dental
(
2
)
Cuestionario de traumatismos
(
1
)
Odontología
(
2
)
Conocimientos
(
2
)
Actitudes
(
1
)
Formularios
(
1
)
Consentimiento informado
(
1
)
Sinusitis
(
2
)
Complicaciones implante cigomático
(
1
)
Implante cigomático
(
4
)
Tercer molar inferior
(
2
)
Revisión
(
2
)
Gingivitis gel
(
1
)
Antimicrobiano
(
1
)
Aplicaciones orales
(
1
)
Propóleo
(
1
)
Discapacidad intelectual
(
1
)
Enfermedades congénitas cardíacas
(
1
)
Retraso en el crecimiento
(
1
)
Trastorno del espectro autista
(
1
)
Síndrome de Potocki-Lupski
(
1
)
Manejo dens evaginatus
(
1
)
Altercaciones dentarias de forma
(
1
)
Talón cuspídeo
(
1
)
Expansión de la cresta alveolar
(
1
)
Expansión alveolar
(
1
)
Expansión ósea
(
1
)
Expansión de cresta
(
1
)
Regeneración vertical
(
1
)
Membrana no reabsorbible
(
1
)
ROG
(
1
)
hiposialia
(
1
)
Mucositis
(
3
)
Enfermedad injerto contra huésped
(
1
)
Tratamiento odontológico
(
4
)
Arteritis de células gigantes
(
1
)
Sialolito
(
1
)
Patología glandular
(
1
)
Glándula salival menor
(
1
)
Sialolitiasis
(
3
)
Weibull
(
1
)
Fatiga cíclica
(
1
)
HyFlex
(
1
)
Síndrome de Rendu-Osler-Weber
(
1
)
Telangiectasia Hemorrágica Hereditaria
(
1
)
Patología oral
(
2
)
Enfermedad de Crohn
(
2
)
Colitis ulcerosa
(
1
)
Enfermedad inflamatoria intestinal
(
1
)
Nanotecnología
(
1
)
Nanopartículas
(
1
)
Nanodispositivos
(
1
)
Nanomedicina
(
1
)
Nano-odontología
(
1
)
Haz de Cono
(
1
)
Biteplate
(
1
)
Clase II esquelética
(
1
)
Twin Force
(
1
)
Estimulación celular
(
1
)
Oseointegración
(
1
)
Calcio
(
1
)
Medio ambiente
(
1
)
Microscopía confocal
(
1
)
SEM
(
1
)
Tintes
(
1
)
Sellado apical
(
1
)
Filtración apical
(
2
)
Guided tissue regeneration
(
1
)
Bone grafts
(
3
)
Enamel matrix proteins
(
1
)
Periodontal regeneration
(
1
)
Oncogenesis
(
1
)
Oncoproteins
(
1
)
Human papilloma virus
(
1
)
Reimplanted implant
(
1
)
Implant removal
(
1
)
Radiographic manifestations
(
1
)
Temporary molars
(
1
)
Pulpotomy
(
1
)
Surgical flaps
(
1
)
Alveolar ridge augmentation
(
1
)
Bone transplantation
(
1
)
Osteoporosis
(
4
)
Oral bisphosphonates
(
1
)
Denosumab
(
3
)
Osteonecrosis of the jaw
(
1
)
Vaccinium macrocarpon
(
1
)
Arándano
(
1
)
Enfermedades periodontales
(
1
)
Proantocianidinas
(
1
)
Inclusión por palatino
(
1
)
Caninos maxilares
(
1
)
Retención de dentadura
(
1
)
Prótesis completa
(
1
)
Prótesis dental
(
1
)
Simulación
(
2
)
Debriefing
(
1
)
Escenarios clínicos
(
1
)
Competencia comunicación
(
1
)
Educación dental
(
1
)
Juegos de rol
(
1
)
Rivaroxaban
(
3
)
Apixaban
(
3
)
Dabigatran
(
3
)
Pacientes ancianos
(
1
)
Anticoagulantes orales directos
(
1
)
Nuevos anticoagulantes orales
(
2
)
Alveolo infectado
(
1
)
Tabaco de mascar
(
1
)
Toombak
(
1
)
Snus
(
1
)
Uso del tabaco
(
1
)
Khaini
(
1
)
Mawa
(
1
)
Pan Parag
(
1
)
Gutka
(
1
)
Nass
(
1
)
Nuez de areca
(
1
)
Tabaco sin humo
(
1
)
Métodos biométricos
(
1
)
Diagnóstico
(
2
)
Metodología de evaluación
(
1
)
ECOE odontología
(
1
)
Evaluación en competencias
(
1
)
Hipoparatiroidismo
(
1
)
Hiperparatiroidismo
(
1
)
Traumatismo Dental en deportes
(
1
)
Salud dental en deportes
(
1
)
Odontología deportiva
(
1
)
Maloclusión transversal
(
2
)
Tratamiento precoz
(
1
)
Expansión maxilar
(
2
)
Tipo de dentición
(
1
)
Género
(
1
)
Radiografía Panorámica
(
2
)
Método de Habets
(
1
)
Mordida cruzada posterior
(
3
)
Asimetría de cóndilo mandibular
(
1
)
Tejidos blandos periimplantarios
(
1
)
Granuloma periférico de células gigantes
(
1
)
Angioedema hereditario
(
1
)
Bruxismo del sueño
(
1
)
Desordenes del sueño
(
1
)
Sueño
(
1
)
Hilotherm®
(
1
)
Crioterapia
(
1
)
Hiloterapia
(
1
)
Mandibular
(
1
)
Maxilar
(
1
)
Dimensiones dentarias
(
1
)
Dentición temporal
(
1
)
Radiografías intraorales
(
1
)
Pilar de zirconio
(
1
)
Pilar customizado
(
1
)
Pilar transepitelial
(
1
)
Anticuerpos monoclonales y osteonecrosis
(
1
)
Sunitinib
(
1
)
Bevacizumab
(
1
)
Sialolitos
(
1
)
Cálculo salival
(
1
)
Parótida
(
1
)
Injerto calota craneal
(
1
)
Injertos autólogos
(
1
)
Presimulación
(
1
)
Briefing
(
1
)
Prebriefing
(
1
)
Oral surgery
(
1
)
Hemorrhagic risk
(
1
)
Thrombotic risk
(
1
)
New oral anticoagulants
(
1
)
Surgical treatment
(
2
)
Oroantral communication
(
1
)
Oroantral fistula
(
2
)
Endoret-PRGF®
(
2
)
Bond strength
(
1
)
Thermocycling
(
1
)
Enamel
(
1
)
Acid etching
(
1
)
Self-etch adhesives
(
1
)
second lower molar
(
1
)
Entomolaris
(
2
)
Retreatment
(
1
)
Endodontics
(
1
)
Distomolars
(
1
)
Lower third molars
(
2
)
Retained third molar
(
1
)
Prophylactic extraction of third molar
(
1
)
Asymptomatic third molar
(
1
)
Causes of tooth extractions
(
1
)
Primary health care
(
1
)
Zirconia abutment stress rupture
(
1
)
Fatigue
(
1
)
Breaking force
(
1
)
ceramic implant abutments
(
1
)
Zirconia abutments
(
1
)
Facial aesthetics
(
1
)
Eruption guide
(
1
)
Orthodontics
(
1
)
Malocclusion
(
1
)
Extractions
(
1
)
Periapical periodontitis
(
1
)
Operating microscope
(
1
)
MTA
(
4
)
Invasive cervical resorption
(
1
)
External root resorption
(
1
)
Iatrogenesis
(
1
)
Periapical abscess
(
1
)
Odontogenic infection
(
1
)
Maxillary sinusitis
(
1
)
Posterior crossbite
(
1
)
Children
(
1
)
Asymmetry
(
1
)
Fibreglass
(
1
)
Root Canal
(
1
)
Molar
(
2
)
Restoration
(
1
)
Microvascularised fibular flap
(
1
)
Squamous cell carcinoma of the oral cavity
(
1
)
Quality of life
(
1
)
Guided surgery
(
1
)
Ethnic groups
(
1
)
Dental morphology
(
1
)
Shovel incisors
(
1
)
Shovel teeth
(
1
)
Fractures
(
1
)
Bisphosphonates
(
1
)
Dentinogenesis imperfecta
(
1
)
Osteogenesis imperfecta
(
1
)
Radiología digital
(
2
)
Respiración oral
(
1
)
Caninos incluidos
(
1
)
Osteogénesis imperfecta
(
2
)
Farmacología
(
1
)
Miastenia gravis
(
1
)
Fracaso implantológico
(
1
)
Osteopenia
(
1
)
hemorragia
(
2
)
Púrpura inmune primaria
(
1
)
Púrpura trombocitopénica idiopática
(
1
)
Provisionales inmediatos
(
1
)
Implantes postextracción
(
3
)
Inclusión dental
(
2
)
Segundo molar incluido
(
1
)
Factores locales y factores sistémicos
(
1
)
Impactación dental
(
4
)
Retención dental
(
2
)
Segundo molar impactado
(
1
)
Segundo molar retenido
(
1
)
Bifosfonatos orales
(
1
)
Osteonecrosis maxilar
(
1
)
Material de sellado
(
1
)
Perforación de furca
(
1
)
Perforación lateral
(
1
)
Apicectomía
(
1
)
Cirugía endodontica
(
1
)
Agregado Trióxido Mineral
(
1
)
Anestesia local y pulpitis irreversible
(
1
)
Endodoncia y pulpitis irreversible
(
1
)
Pulpitis irreversible sintomática
(
1
)
Pulpitis irreversible
(
1
)
Regeneración tisular guiada
(
1
)
Proteínas derivadas del esmalte
(
1
)
Regeneración periodontal
(
1
)
Pacientes
(
1
)
Atención odontológica
(
2
)
Ansiedad dental
(
1
)
Miedo dental
(
1
)
Posturología
(
1
)
Odontología y oclusión dental
(
1
)
Manifestaciones radiográficas
(
1
)
Molares temporales
(
1
)
Lengua
(
1
)
Tumor de Abrikossoff
(
1
)
Tumor de células granulares
(
1
)
Extracción quirúrgica
(
1
)
VOCs
(
1
)
SPME-GCMS
(
1
)
Gutapercha
(
2
)
Impurezas volátiles
(
1
)
Virus del papiloma humano
(
2
)
Oncoproteínas
(
1
)
Oncogénesis
(
1
)
índice Smith & Knignt
(
1
)
Escáner intraoral
(
1
)
Desgaste
(
1
)
Deficiencia transversal
(
1
)
Osteotomía maxilar
(
1
)
Disyunción palatina
(
1
)
Expansión quirúrgica
(
1
)
SARPE
(
1
)
Adenoma pleomorfo
(
1
)
Cirugía endodóntica
(
1
)
Marsupialización
(
1
)
Enucleación
(
1
)
Tumores odontogénicos
(
1
)
Tratamiento multidisciplinar
(
1
)
Odontoma
(
1
)
Seguridad del paciente
(
1
)
Evento Adverso
(
1
)
Psicología
(
1
)
Percepción
(
1
)
Perfil facial
(
1
)
Flúor
(
1
)
Odontología mínimamente invasiva
(
2
)
Infiltración dentaria
(
1
)
Remineralización dentaria
(
1
)
Paladar duro
(
1
)
Tumor glándulas salivales
(
1
)
Filtración bacteriana
(
1
)
Pilar mecanizado
(
1
)
Biomecánica
(
1
)
Conexión externa
(
1
)
Conexión interna
(
1
)
Estructuras galvánicas
(
1
)
Ataches telescópicos
(
1
)
Prótesis microfresada
(
1
)
Sobredentadura implantosoportada
(
1
)
Bisfosfonatos
(
1
)
Necrosis ósea
(
1
)
Forense
(
1
)
Pulpa
(
1
)
Data
(
1
)
Remineralización
(
1
)
Agentes de retracción
(
1
)
Sulfato férrico
(
1
)
Sulfato de aluminio
(
1
)
Cloruro de aluminio
(
1
)
Epinefrina
(
1
)
Exposición de la línea de terminación
(
1
)
Desplazamiento gingival
(
1
)
Hilo de retracción gingival
(
1
)
Barrillo dentinario
(
1
)
Microscopio electrónico de barrido
(
1
)
Túbulos dentinarios
(
1
)
Activación de la irrigación
(
1
)
Densidad mineral ósea
(
1
)
Absorciometría
(
1
)
Densitometría
(
2
)
Anestesia general
(
1
)
Tratamiento dental de pacientes discapacitados
(
1
)
Síndrome de Angelman
(
1
)
Diagnóstico precoz
(
1
)
Sida
(
1
)
VIH
(
2
)
VIH en España
(
1
)
Eritema multiforme menor
(
1
)
EMAH
(
1
)
Eritema multiforme asociado a herpes
(
1
)
EM
(
1
)
Eritema Multiforme
(
1
)
Salud bucal
(
1
)
Segundo molar inferior
(
2
)
Parestesia
(
2
)
Azul de metileno
(
1
)
Láser diodo
(
1
)
Terapia fotoactiva
(
1
)
Terapia fotodinámica
(
2
)
Diafanización
(
2
)
Sección transversal
(
1
)
Colorantes
(
1
)
Conducto lateral
(
1
)
Condensación vertical
(
1
)
Tablas cronológicas de Haaviko
(
1
)
Formación tardía
(
1
)
Premolar supernumerario
(
1
)
Cierre primario
(
1
)
Regeneración ósea guiada (ROG)
(
7
)
Colgajo de reposición coronal
(
1
)
Principio de exclusión celular
(
1
)
Colgajo palatino de rotación
(
1
)
Injerto libre de encía
(
1
)
Membrana reabsorbible
(
1
)
Matriz dérmica acelular
(
2
)
Plasma rico en factores de crecimiento (PRGF)
(
2
)
Peróxido de hidrógeno al 35%
(
1
)
Blanqueamiento interno
(
1
)
Conducto calcificado
(
1
)
Leucoplasia
(
1
)
Implantoprótesis
(
1
)
Heterotópico
(
1
)
Ectópico
(
1
)
Tratamiento de la periimplantitis
(
1
)
Necrosis pulpar
(
1
)
Cirugía periapical
(
2
)
Implantología oral
(
1
)
Zirconio
(
1
)
Máscara facial
(
1
)
Dientes supernumerarios
(
1
)
Radiografías
(
1
)
Diente
(
1
)
Implante reimplantado
(
1
)
Mucositis periimplantarias
(
4
)
Tratamiento de periimplantitis
(
1
)
Diente gemelar
(
1
)
Diente doble bilateral
(
1
)
Geminación dental
(
1
)
Dientes dobles
(
1
)
Patología dental
(
1
)
Tratamiento radicular
(
1
)
Incisivos fusionados
(
1
)
Fusión dental
(
1
)
Serotipo
(
1
)
Caries infantil
(
1
)
Streptococcus mutans
(
1
)
Hipofosfatasia
(
1
)
Talasemia minor
(
1
)
NO peróxidos
(
1
)
Colutorios blanqueantes
(
1
)
Dentífricos blanqueantes
(
1
)
Agentes blanqueantes
(
1
)
Humira
(
1
)
Extracción
(
1
)
Cáncer
(
2
)
Metotrexato
(
1
)
Colgajos quirúrgicos
(
1
)
Aumento óseo alveolar
(
1
)
Injerto óseo
(
5
)
Morfometría
(
1
)
Obturador palatino
(
1
)
Reabsorción maxilar
(
1
)
Atrofia maxilar
(
1
)
Maxilectomía
(
1
)
Resección maxilar
(
1
)
Hemofilia
(
1
)
Espectrómetro de masas
(
1
)
Cromatografía de gases
(
1
)
Microextracción en fase sólida
(
1
)
Diclorometano
(
1
)
Alfa – metilestireno
(
1
)
Compuestos orgánicos volátiles
(
1
)
Factores microbiológicos
(
1
)
Mucositis periimplantaria
(
3
)
Tratamiento Implantológico
(
1
)
Traumatología
(
1
)
Emergencias
(
1
)
Profesionales Sanitarios
(
1
)
Atención Primaria
(
2
)
Trastornos del espectro autista
(
1
)
Trastornos generalizados del desarrollo
(
1
)
Manejo odontología
(
1
)
Autolesiones
(
1
)
Detección precoz
(
1
)
Autismo
(
1
)
Síndrome de Asperger
(
1
)
Síndrome de Rett
(
1
)
Biomarcadores salivales
(
2
)
Riesgo hemorrágico
(
1
)
Riesgo trombótico
(
1
)
Alveolo post-extracción
(
1
)
Refuerzo de fibra de carbono
(
1
)
Prótesis de fibra de carbono
(
1
)
Prótesis híbrida
(
1
)
Fibra de carbono
(
1
)
Quad hélix
(
1
)
Posición de la lengua
(
1
)
Mordida abierta
(
1
)
Compresión maxilar
(
1
)
Nervio alveolar
(
1
)
Nervio mandibular
(
1
)
Iatrogénia dental
(
1
)
Parestesia nervio alveolar inferior
(
1
)
hipodoncias
(
1
)
Anomalías dentarias
(
1
)
Erupción dentaria
(
2
)
Infraoclusión
(
1
)
Erupción ectópica
(
1
)
Patrón de anomalías dentarias
(
1
)
Matriz de colágeno
(
1
)
Recubrimiento radicular
(
1
)
hipersensibilidad dental
(
1
)
hiperestesia dentinaria
(
1
)
Dióxido de silicio obliterante
(
1
)
Nitrato potásico
(
1
)
Fluoruro
(
1
)
Gel bioadhesivo
(
1
)
Tratamiento precoz transverso
(
1
)
Adhesivos autograbadores
(
1
)
Resistencia adhesiva
(
1
)
Termociclado
(
1
)
Esmalte
(
1
)
Grabado ácido
(
1
)
Membrana PTFE
(
1
)
Erosión dentinaria
(
1
)
Resistencia a fractura
(
1
)
Irrigación
(
4
)
hipoclorito de sodio
(
1
)
Preescolares
(
1
)
Programas de salud oral
(
1
)
Mantenimiento
(
2
)
Osteointegración
(
1
)
Densidad ósea
(
2
)
Técnicas densitométricas
(
1
)
Fístula Orosinusal
(
1
)
Comunicación orosinusal
(
1
)
Adhesivos dentales
(
2
)
Adhesión al esmalte
(
1
)
Grabado del esmalte
(
1
)
hipoplasia dental
(
1
)
Papila interdental
(
1
)
Prótesis provisional
(
1
)
Póntico ovoide
(
1
)
Alargamiento coronario
(
1
)
Prótesis fija convencional
(
1
)
Manejo tisular
(
1
)
Retratamiento
(
1
)
Tumor de cabeza y cuello
(
1
)
Distomolares
(
1
)
Terceros molares inferiores
(
1
)
Osteonecrosis mandibular
(
1
)
Cirugía guiada
(
3
)
Férula quirúrgica
(
2
)
Enfermedad de Von Willebrand
(
2
)
Trastornos de la coagulación
(
2
)
Revisiones
(
2
)
Cálculos del conducto salival
(
1
)
Enfermedad parótidea
(
1
)
Litiasis
(
2
)
Colegio de Odontólogos y Estomatólogos
(
1
)
Historia de la Odontología
(
1
)
Tensión de rotura de pilares de zirconia
(
1
)
Fatiga
(
1
)
Fuerza de rotura
(
1
)
Pilares cerámicos sobre implantes
(
1
)
Pilares de zirconia
(
1
)
Carcinoma oral
(
1
)
Mandíbula
(
1
)
Lesiones fibroóseas benignas
(
1
)
Fibroma osificante
(
1
)
Teriparatida
(
1
)
hormona paratiroidea
(
1
)
Mastocitosis
(
1
)
Mastocitosis sistémica
(
1
)
Cáncer orofaríngeo
(
1
)
Displasia epitelial
(
1
)
Injerto gingival libre
(
1
)
Parafunción
(
1
)
Causas de exodoncias
(
1
)
Atención Primaria de salud
(
1
)
Exodoncia
(
1
)
Regeneración endodóntica en dientes inmaduros
(
1
)
Tratamiento de revascularización en endodoncia
(
1
)
Revascularización con pasta triantibiótica
(
1
)
Tratamiento con pasta tri-antibiótica en endodoncia
(
1
)
Ensayos controlados aleatorizados
(
1
)
Tratamiento farmacológico
(
1
)
Microscopio operatorio
(
2
)
Periodontitis periapical
(
1
)
Biofilm
(
1
)
Biofilm intrarradicular endodoncia
(
1
)
Enterococcus faecalis
(
2
)
Asepsia
(
1
)
Activación
(
1
)
Elongación de la Apófisis estiloides
(
1
)
Síndrome Pseudoestiloideo
(
1
)
Síndrome estilo-carotideo
(
1
)
Síndrome estiloideo
(
1
)
Síndrome de Eagle
(
2
)
Determinaciones analíticas sanguíneas
(
1
)
Quiste mucoso
(
1
)
Suelo de la boca
(
1
)
Activación ultrasónica pasiva
(
2
)
Activación sónica
(
2
)
Estética inmediata
(
2
)
Manejo de tejidos periimplantarios
(
1
)
Extracciones
(
1
)
Guía de la erupción
(
1
)
Estética facial
(
1
)
Guttacore
(
2
)
Thermafil
(
2
)
Conducto radicular
(
1
)
Tercer molar retenido
(
1
)
Tercer molar asintomático
(
1
)
Exodoncia profiláctica del tercer molar
(
1
)
Reabsorción radicular externa
(
1
)
Reabsorción cervical invasiva
(
1
)
Edentulismo
(
1
)
Prótesis
(
1
)
Folículo dental
(
1
)
Complicaciones de los piercings
(
1
)
Piercings en la lengua
(
1
)
Piercings corporales
(
1
)
Infección
(
2
)
Ránula
(
2
)
Sublingualectomía
(
1
)
Proceso alveolar
(
1
)
Aloinjerto
(
1
)
Cambios dimensionales
(
1
)
Periodonto
(
1
)
Daños dentales
(
1
)
Luxación
(
1
)
Efectos secundarios
(
1
)
Cuidados orales
(
1
)
Dientes impactados
(
1
)
Erupción dental
(
1
)
Sobredentadura
(
1
)
Cresta iliaca
(
1
)
Injertos autógenos
(
1
)
Fracaso anestésico
(
1
)
Bloqueo del nervio dentario inferior
(
1
)
Molares mandibulares
(
1
)
Pulpitis irreversible aguda
(
1
)
Granuloma
(
2
)
Caldwell-Luc
(
1
)
Diente ectópico
(
1
)
Sinusitis causa odontogénica
(
1
)
Asimetría
(
1
)
Etnias
(
1
)
Morfología dental
(
1
)
Incisivos en pala
(
1
)
Dientes en pala
(
1
)
Obturación Termoplástica
(
1
)
Quiste nasolabial
(
1
)
Quiste nasoalveolar
(
1
)
Quiste de Klestadt
(
1
)
SAF
(
1
)
Self-Ajusting File
(
1
)
Síndrome de Sjögren
(
1
)
Patología quística
(
1
)
Dientes retenidos
(
1
)
Premolares supernumerarios
(
2
)
Latrogenia
(
1
)
Fístula oroantral
(
1
)
Absceso periapical
(
1
)
Infección odontogénica
(
2
)
Sialadenitis crónica
(
1
)
Glándula submandibular
(
1
)
Sialolitiasis submandibular
(
1
)
Citomegalovirus
(
1
)
herpes
(
1
)
VPH
(
1
)
Papiloma
(
1
)
Molusco contagioso
(
1
)
Granuloma inguinal
(
1
)
Clamidia
(
1
)
Gonorrea
(
1
)
Sífilis
(
1
)
ETS
(
1
)
Transmisión sexual
(
1
)
Enfermedad
(
1
)
Bermellectomía
(
1
)
Queilitis actínica
(
1
)
Fracturas
(
1
)
Calidad de vida
(
4
)
Colgajo microvascularizado peroné
(
1
)
Carcinoma epidermoide cavidad oral
(
1
)
Complicaciones técnicas
(
1
)
Resistencia
(
1
)
Biocompatibilidad
(
1
)
Pilares cerámicos
(
1
)
Pilares metálicos
(
1
)
Color de la mucosa
(
1
)
Tejidos blando periimplantarios
(
1
)
Titanio
(
1
)
epilepsia
(
1
)
prematuridad
(
1
)
babeo
(
1
)
Parálisis cerebral infantil
(
1
)
Restauración
(
1
)
Fibra de vidrio
(
1
)
Lateralización
(
1
)
Necesidad percibida
(
1
)
Chile
(
1
)
Atención dental
(
1
)
Desigualdades
(
1
)
Determinantes sociales
(
1
)
Estrés y brazo de palanca en implantes
(
1
)
Pérdida ósea crestal periimplantaria
(
1
)
Proporción corona-implante
(
1
)
Tumor pardo
(
1
)
Quiste óseo aneurismático
(
1
)
Quiste odontogénico
(
1
)
Granuloma central de células gigantes
(
1
)
Reubicación quirúrgica
(
1
)
Hamulus Pterigoideo
(
1
)
Queratoquiste
(
1
)
Tumor odontogénico queratoquístico
(
1
)
Queratoquiste odontogénico
(
1
)
Ultrasonido
(
1
)
Fractura de limas
(
1
)
Cirugía apical
(
1
)
Fractura de Pterigoides por una exodoncia
(
1
)
Desplazamiento del tercer molar
(
1
)
Fracturas de órbita
(
1
)
Complicaciones exodoncia cordal
(
1
)
Migración de implantes
(
1
)
Endoscopia intrasinusal
(
1
)
Complicaciones en elevación de seno maxilar
(
1
)
Infección perirradicular
(
1
)
Infección primaria
(
1
)
Infección secundaria
(
1
)
Reacción en cadena de la polimeras
(
1
)
Microbiología endodóntica
(
1
)
Quiste folicular
(
3
)
Supernumerario
(
1
)
Legalidad
(
1
)
Ética
(
2
)
Pautas
(
1
)
Blanqueamientos dentales
(
1
)
Desdentado
(
1
)
Nivel de satisfacción
(
1
)
complicación de dientes retenidos
(
1
)
Tratamiento quirúrgico de inclusiones dentales
(
1
)
Alloderm®
(
1
)
Cobertura radicular en recesiones gingivales
(
1
)
Cronología de erupción dentaria
(
1
)
Secuencia de erupción dentaria
(
1
)
Fibroma ameloblástico
(
1
)
Odontología preventiva
(
1
)
Prevención de enfermedades periodontales
(
2
)
Educación para la salud bucal
(
1
)
Higiene oral
(
1
)
Motivación
(
1
)
Inflamación pulpar
(
1
)
Reabsorción inflamatoria dentinaria interna
(
1
)
Paciente odioso
(
1
)
Estética tejidos blandos
(
1
)
Zona estética
(
1
)
Reposición inmediata
(
1
)
Aumento de reborde
(
1
)
Distracción alveolar
(
1
)
Apófisis estiloides
(
1
)
Elongación
(
1
)
Calcificación del ligamento estilohioideo
(
1
)
Síndrome Estilocarotídeo
(
1
)
Síndrome Estilohioideo
(
1
)
Lesión del nervio lingual
(
1
)
Cirugía tercer molar inferior
(
1
)
Barodontalgia
(
1
)
Anomalías vasculares
(
1
)
hemangioma cavernoso mandibular
(
1
)
Articuladores
(
1
)
Inclinación de la trayectoria condílea
(
1
)
Ángulo de Bennet
(
1
)
Mediastinitis
(
1
)
Mediastinis descendente
(
1
)
hemangioma arteriovenoso
(
1
)
Malformación arteriovenosa
(
1
)
Malformación vascular
(
1
)
Tratamiento endoscópico
(
1
)
Patología salival
(
1
)
Sialoendoscopio
(
1
)
Anatomía del sistema de conductos
(
1
)
Primer molar mandibular permanente
(
1
)
Ameloblastoma
(
2
)
Quiste radicular residual
(
1
)
Aloinjerto óseo
(
1
)
Muela del juicio
(
1
)
Piógeno
(
1
)
Oral
(
1
)
Migración
(
1
)
Insuficiencia renal
(
1
)
Hemodiálisis
(
1
)
Hiperplasia coronoidea
(
1
)
Limitación de la apertura bucal
(
1
)
Enfermedad de Jacob
(
1
)
Biomaterials
(
1
)
Tratamientos dentales
(
2
)
Tejido blando
(
1
)
Implantes cortos
(
3
)
Dental implants
(
3
)
Implante inmediato
(
1
)
Factor de crecimiento
(
1
)
Dens evaginatus
(
1
)
Injertos de tejido conectivo
(
2
)
Colapso vestibular
(
1
)
Polimorfismo
(
1
)
IL-1
(
1
)
Fractura
(
1
)
Apnea obstructiva del sueño
(
1
)
COVID persistente
(
1
)
Irritación mucosa
(
1
)
Adenopatías
(
1
)
Bruxismo y estrés
(
1
)
Cierre apical
(
1
)
Ápice abierto
(
1
)
Dientes inmaduros
(
1
)
Dientes permanentes
(
1
)
Regeneración pulpar denta
(
1
)
Diente autólogo
(
1
)
Pseudoquiste
(
1
)
Crecimiento mandibular
(
1
)
Bloque gemelo
(
1
)
Twin block
(
1
)
Facial
(
1
)
Alveolar
(
1
)
Esqueletal
(
1
)
Biotipo facial
(
1
)
Sonrisa
(
1
)
Línea de sonrisa
(
1
)
Permanente inmaduro traumatizado no vital
(
1
)
Elevación de seno lateral
(
1
)
Platelet antiaggregant
(
1
)
Platelets
(
1
)
Platelet thrombus
(
1
)
Acetylsalicylic acid
(
1
)
Transcrestal elevation;
(
1
)
Extra short implant
(
1
)
Primary stability
(
1
)
Subperiosteal implants
(
1
)
Oral rehabilitation
(
1
)
Digital planning
(
1
)
Aesthetic sector
(
1
)
Bone regeneration
(
1
)
Explantation
(
1
)
Dental autotransplant
(
1
)
Unilateral chewing
(
1
)
Jaw asymmetry
(
1
)
Unilateral crossbite
(
1
)
Maloccusion
(
1
)
Implantes extracortos
(
1
)
pérdida ósea marginal.
(
1
)
Tejido conectivo
(
1
)
Asistencia por ordenador
(
1
)
Herramienta software
(
1
)
Seguimiento largo plazo
(
1
)
Simulación virtual
(
1
)
Réplica 3D
(
1
)
Hipomineralización del Esmalte Dentario
(
1
)
Diagnóstico Clínico
(
1
)
Indicadores de Estado de Salud
(
1
)
Estrés agudo
(
1
)
Eje HPA
(
1
)
Cortisol
(
1
)
Saliva
(
1
)
infecciones dentales
(
1
)
relación cavidad oral y nasal
(
1
)
dientes posteriores
(
1
)
baja densidad osea
(
1
)
atrofia vertical
(
1
)
lesiones de mancha blanca
(
1
)
amelogénesis imperfecta
(
1
)
infiltración de resina
(
1
)
tratamiento microinvasivo
(
1
)
Cianocrilato
(
1
)
Complicaciones postoperatorias
(
1
)
Cicatrización de heridad
(
1
)
hemangioma
(
1
)
tratamientos
(
1
)
soluciones esclerosantes
(
1
)
Ateroma carotídeo
(
1
)
Calcificaciones carótidas
(
1
)
Bifurcación carotídea
(
1
)
Ictus
(
1
)
infarto cerebral
(
1
)
Displasias
(
1
)
Lesiones fibro-óseas;
(
1
)
desinfección
(
1
)
Lesiones nerviosas
(
1
)
Fracturas patológicas
(
1
)
Distalización
(
1
)
Clase I
(
1
)
Clase II
(
1
)
Espacio retromolar
(
1
)
Autologous tooth
(
1
)
Autologous dentine.
(
1
)
Lateral sinus elevation
(
1
)
Tumores maxilares
(
1
)
Implante endoóseo
(
1
)
Prostodoncia
(
1
)
Especialidad
N/A
Mostrar
(
1
)
Cancelar
Rehabilitación implantosoportada sobre implantes dentales y cigomáticos en un paciente con radioterapia por un carcinoma adenoide. A propósito de un caso clínico
Leer artículo
Evaluación de los cambios faciales y dentoalveolares en pacientes tratados con twin block modificado: resultados preliminares
Leer artículo
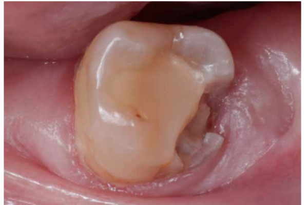
¿Es la pulpotomía una alternativa al tratamiento de conductos para los dientes con síntomas de pulpitis irreversible? A propósito de un caso
Leer artículo