Caso clínico
Sharif Ardestanian Moghadam A, Amirbagloy Darian M, Martínez Rodríguez N, Miró Cuadrado B, Martínez González JM. Análisis de las posibles complicaciones ante un quiste dentígero mandibular en estrecha relación con estructuras nerviosas: a propósito de un caso clínico. Cient. Dent. 2025; 22; 2; 76-84.
Análisis de las posibles complicaciones ante un quiste dentígero mandibular en estrecha relación con estructuras nerviosas: a propósito de un caso clínico
Introducción: El quiste dentígero es un proceso benigno de origen epitelial. Se caracteriza por ser habitualmente una lesión asintomática de crecimiento lento que suele diagnosticarse tras un estudio radiológico casual. Durante su crecimiento puede comprometer estructuras anatómicas vecinas que podrían ser lesionadas durante la enucleación.
El objetivo es la presentación de un caso clínico de quiste dentígero mandibular con desplazamiento del nervio alveolar inferior, sobre el que se valoran las diferentes opciones terapéuticas, así como el manejo de las posibles complicaciones.
Métodos: Se presenta un caso clínico de un paciente varón de 23 años que tras la realización de una radiografía periapical se observa una lesión que fue visualizada posteriormente con una radiografía panorámica y CBCT, estableciendo el diagnóstico de presunción de quiste dentígero asociado a la retención de un canino mandibular izquierdo.
Resultados: Tras la valoración de las diferentes opciones terapéuticas, se procedió a la extracción del canino permanente mandibular y a la enucleación de la cápsula, remitiéndose la misma al patólogo que confirmó el diagnóstico de quiste dentígero. La evolución fue favorable y tan solo se produjo la pérdida de sensibilidad labial que desapareció al mes de evolución.
Conclusiones: En Odontología es importante detectar de la forma más precoz posible la aparición de cualquier lesión en el maxilar o mandíbula para evitar que alcancen grandes tamaños, minimizando así la aparición de complicaciones.
Palabras clave: Quiste dentígero; Tratamiento; Complicaciones; Lesiones nerviosas; Fracturas patológicas.
Analysis of the possible complications of a mandibular dentigerous cyst in close anatomical relationship with neural structures: A clinical case report
Introduction: A dentigerous cyst is a benign process of epithelial origin. It is typically characterized as a slow-growing, asymptomatic lesion usually diagnosed after a casual radiological examination. During its growth, it can compromise neighboring anatomical structures that could be injured during enucleation.
The objective is to present a clinical case of a mandibular dentigerous cyst with displacement of the inferior alveolar nerve. Different therapeutic options are evaluated, as well as the management of potential complications.
Methods: We present the case of a 23-year-old male patient who, after a periapical radiograph, revealed a lesion that was subsequently visualized with a panoramic radiograph and CBCT. A presumptive diagnosis of a dentigerous cyst associated with the impaction of a left mandibular canine is established.
Results: After evaluating the different therapeutic options, the permanent mandibular canine was extracted and the capsule enucleated. The patient was referred to the pathologist, who confirmed the diagnosis of a dentigerous cyst. The outcome was favorable, with the only noticeable loss of lip sensation, which disappeared after one month.
Conclusions: In dentistry, it is important to detect the appearance of any lesion in the maxilla or mandible as early as possible to prevent the lesions from becoming large, thus minimizing the occurrence of complications.
KEY WORDS: Dentigerous cyst; Treatment; Complications; Nerve lesions; Pathological fractures.
Los quistes dentígeros, también conocidos como quistes foliculares, coronodentarios o del desarrollo, son quistes benignos de origen epitelial odontogénico que se deben a alteraciones del desarrollo. Su formación está relacionada con la acumulación de líquido entre el epitelio del esmalte y la superficie del esmalte de un diente no erupcionado1.
Desde una perspectiva epidemiológica, son los segundos quistes odontogénicos más frecuentes después del quiste periapical, presentando una incidencia de 14-20%. Su aparición es más frecuente en la dentición permanente, en hombres de entre 20-40 años y en la mandíbula (70% de los casos). Los dientes más afectados son los terceros molares maxilares y mandibulares, seguido de los caninos maxilares y segundos premolares mandibulares2,3.
Habitualmente son asintomáticos por lo que se suelen diagnosticar con estudios radiológicos realizados de forma casual, sin embargo, para su tratamiento es necesario un diagnóstico preciso con una Tomografía Computarizada de Haz Cónico (Cone Beam Computed Tomography-CBCT)4.
Esta prueba diagnóstica servirá para observar en muchos casos las características de la lesión radiotransparente, su patrón unilocular y su relación con un diente incluido de forma coronaria, lateral o circunferencial. Junto a estos hallazgos, y en función de su crecimiento podrán observarse desplazamientos dentarios, rizólisis en dientes adyacentes expansión y debilitamiento de corticales5,6.
Así el enfoque terapéutico pasará por la enucleación completa o por técnicas más conservadoras como la marsupialización o la descompresión7,8. La experiencia del cirujano puede ser fundamental, teniendo presente que en los casos mandibulares puede existir una estrecha relación con el nervio dentario inferior o el nervio mentoniano que generalmente son desplazados, o incluso la fractura mandibular por debilitamiento de las corticales.
El objetivo de este trabajo es la presentación de un caso clínico de quiste dentígero mandibular con un crecimiento que implica a los nervios mentoniano y alveolar inferior analizando el enfoque terapéutico, así como las posibles complicaciones y su posterior manejo.
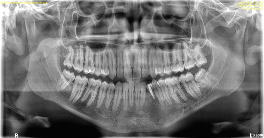
Paciente varón de 23 años sin antecedentes médicos de interés que acudió al servicio de cirugía bucal de la Facultad de Odontología de la Universidad Complutense, derivado por su dentista, tras observarse en una radiografía periapical realizada de forma casual la presencia de una imagen radiotransparente parcial a nivel apical de los premolares mandibulares izquierdos y del canino temporal (Figura 1).
Durante la anamnesis, no se registraron antecedentes médicos o quirúrgicos relevantes. El paciente no presentaba alergias medicamentosas o hábitos tóxicos, destacando la ausencia de sintomatología.
En la exploración extrabucal no se evidenció ningún tipo de deformidad, ni afectación ganglionar. A la exploración intrabucal, se pudo observar la ausencia del canino mandibular izquierdo permanente, con presencia del canino temporal. El aspecto y coloración de las mucosas era normal a excepción de la presencia de una pequeña fístula sobre el ápice del canino temporal. Tanto los premolares como los molares no presentaban patología asociada, conservando su vitalidad y carentes de movilidad.
Tras estos hallazgos se solicitóun estudio mediante CBCT mandibular completo, que reveló los siguientes hallazgos en los cortes panorámicos: lesión radiotransparente delimitada y con un halo esclerótico casi completo, que se extiende en sentido mesiodistal desde la zona distal del canino temporal hasta el ápice del primer molar alcanzando la basal mandibular incluyendo la presencia de un canino mandibular (Figura 2).
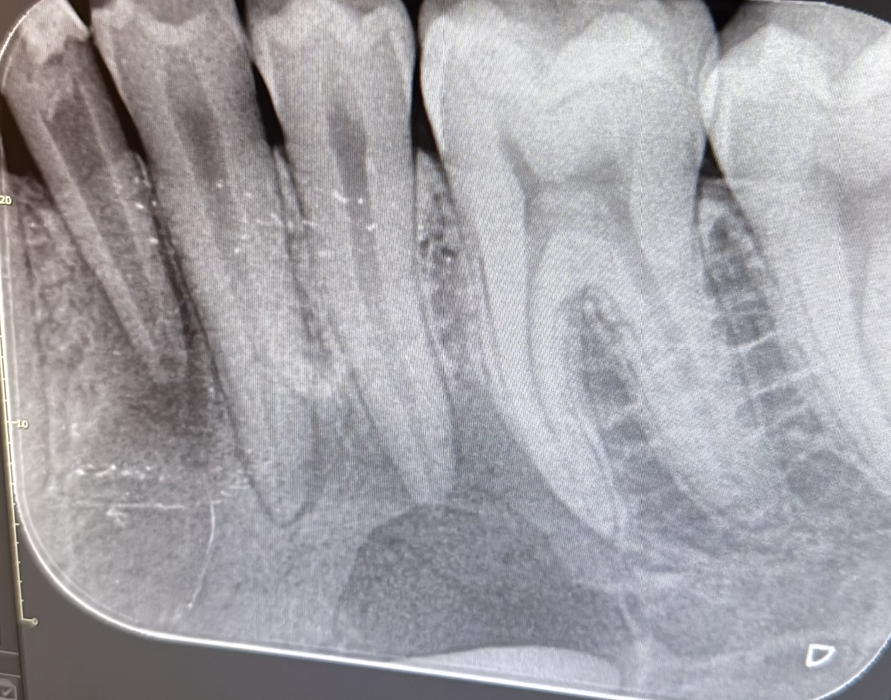
Los cortes ortorradiales ofrecieron información sobre la ausencia de expansión de corticales, conservación de la cortical lingual y a la altura del segundo premolar ligera perforación de la cortical vestibular (Figuras 3A y 3B). Las reconstrucciones 3D corroboraron los hallazgos anteriormente descritos (Figuras 4A y 4B).
Tras estos hallazgos se informó al paciente sobre las diferentes opciones terapéuticas advirtiendo de sus ventajas e inconvenientes, optando por la enucleación.Se pidió al paciente la firma del consentimiento informado en el que se le informó de la técnica y posibles riesgos intra y postoperatorios. Se consideró la realización de la endodoncia del canino temporal previa a la cirugía, manteniendo una actitud expectante con respecto a los premolares vitales involucrados en la lesión.
El tratamiento quirúrgico se llevó a cabo bajo sedación combinada con anestesia local de los nervios alveolar inferior, nervio lingual y mentoniano. Se realizó un acceso vestibular con una incisión de Newman (intrasulcular festoneada marginal a espesor total, con una descarga vertical a nivel de la cara mesial del incisivo lateral y distal del primer molar), seguida de un despegamiento mucoperióstico, procediendo a la visualización del foramen mentoniano; posteriormente se llevó a cabo una ostectomía con el fin de visualizar la lesión de la forma más amplia posible, observándose el canino mandibular junto a la cápsula quística por lo que se procedió a la extracción dentaria, bajo control visual del nervio mentoniano, para facilitar la enucleación completa y cuidadosa. Tras la eliminación de la cápsula quística se hizo un legrado cuidadoso de la cavidad residual, evitando el mismo sobre la zona basal con el fin de evitar lesionar el nervio dentario inferior. Una vez finalizada la intervención se procedió a reposicionar el colgajo mucoperióstico, suturando de forma hermética mediante sutura monofilamento de 4-0 (Figuras 5-12).
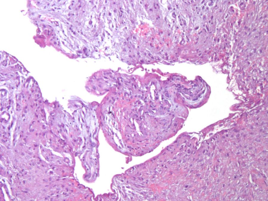
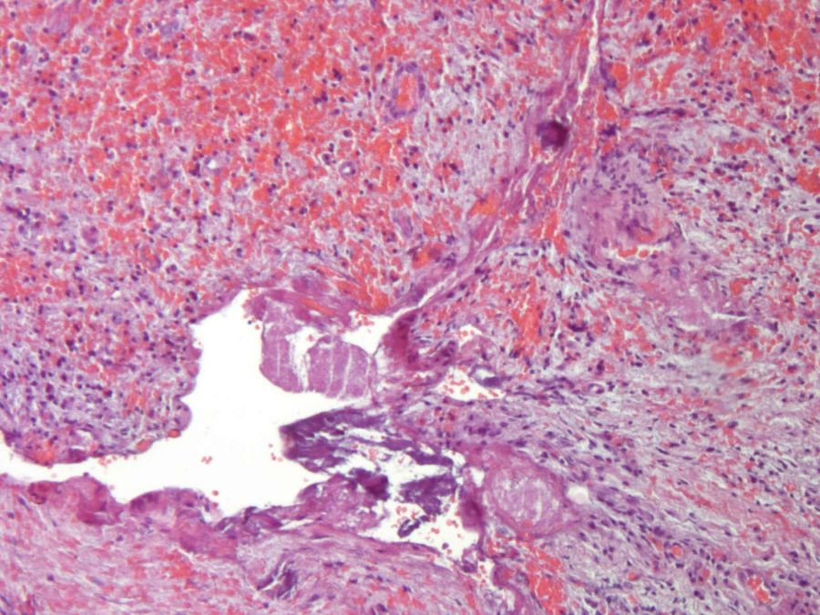
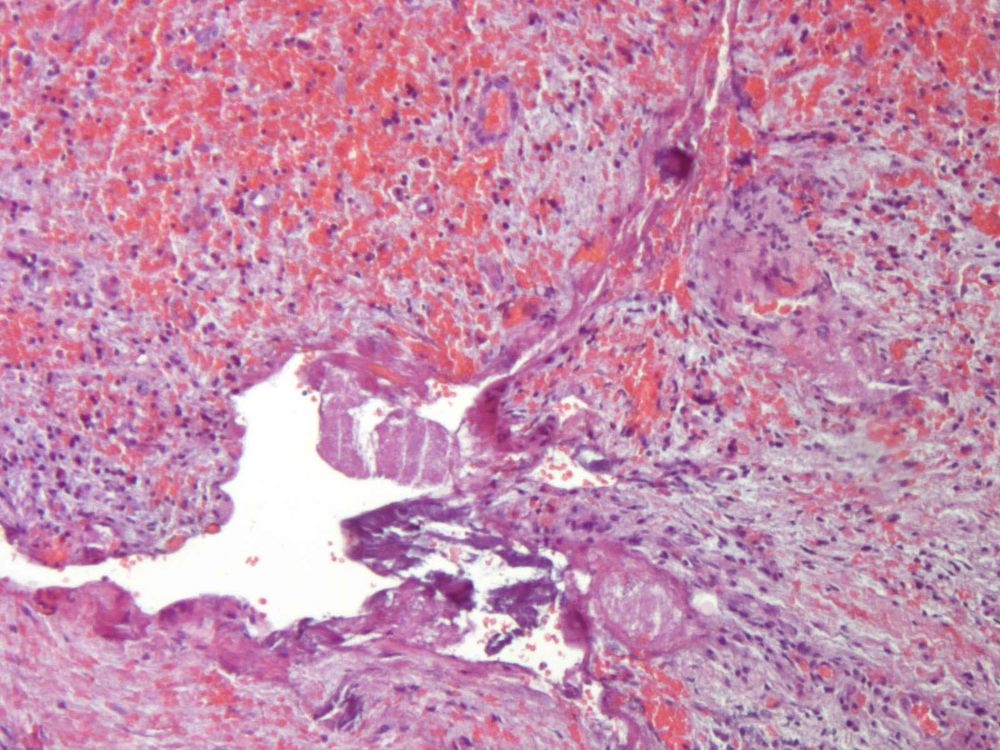
La muestra obtenida fue enviada en formaldehído al 10% para su análisis histopatológico, informando de los siguientes hallazgos:
- Descripción macroscópica: se remiten dos fragmentos, membranáceos, irregulares, parduzcos con zonas negruzcas, que miden en conjunto 1×1,2×0,5cm. se secciona el mayor y se incluyen en su totalidad.
- Descripción microscópica evidencia una lesión quística con una pared conectiva fibrocelular gruesa definida con estructuras vasculares dispersas y focos de inflamación crónica linfoplasmocitaria, hemorragia y depósitos hemosiderina. También se observan focos de inflamación mixta con numerosos macrófagos espumosos. En uno de los fragmentos se reconoce un recubrimiento epitelial poliestratificado no queratinizado fino delgado, focalmente desprendido. Periféricamente se observa una cáscara de tejido óseo vital trabecular (Figuras 13 y 14). El diagnóstico definitivo fue de quiste dentígero con inflamación crónica.
Después de la cirugía se proporcionaron instrucciones postoperatorias detalladas y se inició un tratamiento farmacológico con amoxicilina 750 mg (1/8h durante 8 días), prednisona 30 mg (1/24h durante 6 días), y como analgesia de rescate metamizol magnésico 575 mg (1/8 h a demanda del paciente).
Se realizaron controles postoperatorios a los 2 y 7 días para revisar la herida quirúrgica, así como la realización del test de Weber (test de discriminación de dos puntos) para evaluar la sensibilidad hemilabial, que mostró un área reducida de pérdida sensitiva (Figura 15). A los 15 días se procedió a la retirada de la sutura, siendo controlado clínicamente al mes donde se pudo percibir, tanto la recuperación sensitiva como la ausencia de complicaciones (Figura 16).
El paciente continúa bajo revisión, sin complicaciones hasta la fecha, habiéndose realizado un control radiográfico a los tres meses en el que se observa signos de remineralización (Figura 17).
Los quistes dentígeros son quistes odontogénicos benignos del desarrollo que resultan de la acumulación del líquido entre el epitelio reducido del esmalte y la corona de un diente no erupcionado, estando asociados a dientes retenidos. Un estudio reciente realizado por Sun y cols.9, sobre 2.872 dientes impactados encuentran una frecuencia del 22,55% de quistes dentígeros asociados a los caninos, cifra muy superior si se le compara con el 6% que se observó en asociación a los terceros molares.
Como señalan Karabas y cols.10, hay una cierta predilección por los varones y la mayoría suelen permanecer asintomáticos, siendo su hallazgo casual mediante una exploración radiográfica, como es el caso que se presenta.
Su apariencia de lesión radiotransparenteunilocular, con contornos bien definidos y asociada a la corona de un diente retenido, son fácilmente detectables en la radiografía panorámica, si bien la CBCT, ofrecerá una mayor precisión en sus características y ayudará en el diagnóstico de presunción y en la orientación terapéutica11.
El tamaño de la lesión parece ser un factor predictivo de posibles diagnósticos orientativos; autores como Atarbashi-Moghadam y cols.12, en su estudio de 153 casos de imágenes radiotransparentes uniloculares consideran que las lesiones mayores de 2,0 cm tenían 5,5 veces más probabilidades que las lesiones más pequeñas de ser diagnosticadas como lesiones no sugerentes de quistes dentígeros. El caso que presentamos obedece a estas características, de ahí que previamente se le comunicara al paciente de algunos posibles diagnósticos diferenciales, coincidiendo con Austin y cols.13, quienes señalan que al menos se debe realizar con el ameloblastoma uniquístico y el queratoquiste odontogénico.
Otro aspecto que se debe plantear es la actitud que se debe seguir con los dientes involucrados en la lesión quística. Para Zhao y cols.14, y Diarra y cols.15, ante quistes de gran tamaño, es fundamental llevar a cabo una evaluación precisa de la vitalidad pulpar o del suministro sanguíneo, tanto de dientes involucrados en la lesión quística como aquellos que pueden estar dentro del campo quirúrgico.
La respuesta de la pulpa al trauma puede ser variable, de manera que en algunos casos la pulpa permanece completamente normal sin efectos adversos, mientras que en otros casos se vuelve necrótica. La necrosis pulpar puede producirse como una secuela del trauma y puede favorecer el desarrollo de una lesión periapical por una infección microbiana. Algunos estudios como señalan Niu y cols.16, han demostrado que, en algunos casos no se produjo infección pulpar después de la enucleación, incluso en dientes vitales no endodonciados afectados por lesiones quísticas odontogénicas de desarrollo.
En caso de duda, se recomienda no realizar el tratamiento de conductos en dientes involucrados vitales, y llevar a cabo controles durante un periodo prolongado, intentando hacer todo lo posible para preservar su vitalidad17.
Tras esta primera evaluación, el tamaño lesional y las posibles relaciones con estructuras anatómicas puede ser determinante a la hora de seleccionar la modalidad de terapéutica quirúrgica. La elección de la enucleación, la marsupialización o la descompresión, dependerá en muchos casos del riesgo intraoperatorio de complicaciones que serán evaluados por el cirujano por lo que su experiencia será determinante.
En el caso que se presenta, y según nuestra experiencia, el principal riesgo era la lesión del nervio mentoniano y del nervio alveolar inferior, dada la relación tan estrecha del diente incluido y de la cápsula quística.
Autores como Mortazavi y cols.18, en una revisión sobre 70 artículos relacionados con los desplazamientos del conducto mandibular encontraron a los quistes dentígeros como una de las principales causas.
Esta estrecha relación, entre otras causas, ha hecho que se prodiguen técnicas como la descompresión o la marsupialización con la finalidad de evitar daños lesionales19-21. Esta última empieza a estar muy recomendada cuando se tratan de pacientes muy jóvenes en dentición mixta y en los que se persigue la erupción del diente involucrado y provocar un menor daño óseo por la ostectomía22. En una revisión sistemática reciente realizada por Cobo-Vázquez y cols.23, sobre quistes dentígeros en pacientes pediátricos, encontraron que con técnicas de marsupialización o descompresión los resultados eran muy predecibles, facilitando además la erupción del diente implicado en porcentajes del 83% y 100%, respectivamente.
A pesar de estos resultados y teniendo presente que en el caso que se presenta no se trataba de un paciente pediátrico y además el desplazamiento del canino hacia la basal, se optó por la enucleación del quiste y la extracción del canino retenido.
En el postoperatorio inmediato, y tal como se había informado antes de la cirugía, el paciente presentó una pequeña zona de pérdida de sensibilidad. En un estudio realizado por Lee y cols.24, sobre 249 pacientes encontraron que en un 15,26% los pacientes presentaron parestesia del nervio alveolar inferior, lo que pone de manifiesto que la propia circunstancia de la manipulación quirúrgica conlleva casi de forma inexorable a la pérdida de sensibilidad, que inicialmente debería ser transitoria.
Durante este periodo, los pacientes pueden presentar diferentes alteraciones neurosensoriales, incluyendo hipoestesia, hiperestesia, parestesia y anestesia, que pueden ir desde afectaciones mínimas hasta condiciones extremas, afectando a la calidad de vida del paciente. Por ello, y aunque todavía no exista un protocolo estandarizado para el manejo de pacientes con parestesias por lesión nerviosa, los odontólogos deberían al menos estar informados sobre los tratamientos farmacológicos como la vitamina B, o la aplicación de laserterapia, reconociendo también otras formas coma la acupuntura, la electroestimulación, la fisioterapia y el calor húmedo25-27.
Según el estudio realizado por Hasegawa y cols.28 sobre hipoestesia refractaria los autores concluyeron que la administración temprana de vitamina B12 debe de utilizarse en todos los casos de hipoestesia, puesto que la vitamina B12 puede contribuir a la recuperación del sistema de transporte neural, siendo eficaz en el tratamiento de la neuralgia derivada de la compresión neural por traumatismos.
Así mismo, la fotobiomodulación mediante láser o terapia con láser de baja intensidad, se ha convertido en una modalidad de tratamiento complementario cada vez más utilizada. Brito y cols.29, encuentran que esta fototerapia no térmica ayuda a modular el metabolismo tisular mediante luz roja o infrarroja o diodos emisores de luz (LED), favoreciendo la recuperación sensitiva tras lesiones nerviosas.
Otra de las complicaciones que pueden suceder durante el tratamiento quirúrgico es la posibilidad de fracturas mandibulares. Estas fracturas patológicas suelen tener una baja frecuencia, aproximadamente el 2% de las fracturas mandibulares, siendo su localización preferente el ángulo y el cuerpo mandibular30-31.
En el estudio de Lee y cols.24, citado anteriormente sobre los 249 pacientes con lesiones quísticas se produjeron 4 fracturas patológicas, lo que representa un 1,60%.
Hay autores como Bazin y cols.32 que sugieren la colocación de placas de osteosíntesis con el objetivo de prevenir estas fracturas. En el caso que se presenta esto no se hizo porque en el estudio mediante CBCT, se observó que, a pesar del tamaño grande de la lesión, la cortical lingual estaba perfectamente conservada, por lo que tan solo se le aconsejó al paciente una dieta blanda durante al menos cuatro semanas y la no realización de deportes de impacto.
Por último, una vez confirmado el diagnóstico histopatológico, es importante realizar un seguimiento clínico y radiológico en el que se pueda observar la ausencia de sintomatología y la remineralización de la lesión tras la enucleación.
El riesgo de transformación neoplásica a partir de quistes odontogénicos es inferior al 3%, siendo la inflamación crónica un factor fundamental. En la revisión sistemática realizada por Sulistyani y cols.33 consideran que el proceso inflamatorio es capaz de desencadenar la inestabilidad de los genes celulares debido a la formación de especies reactivas de oxígeno. Además, induce la apoptosis celular, la producción de citocinas, la queratinización del epitelio quística y puede provocar distorsiones en el ADN, las proteínas y las membranas celulares, lo que favorece la transformación de células normales en células neoplásicas.
Es importante detectar de la forma más precoz posible la aparición de cualquier lesión en el maxilar o mandíbula para evitar que alcancen gran tamaño.
El diagnóstico temprano junto a un abordaje quirúrgico preciso permitirá minimizar riesgos y evitará complicaciones como reabsorciones radiculares, daño a estructuras vasculonerviosas o fracturas patológicas.
El seguimiento es importante para corroborar mediante exploraciones clínicas y radiográficas la resolución del caso.
Gaurkar SS, Deshmukh PT, Singh CV, Khan FQ. A rare presentation of dentigerous cyst. Cureus. 2022 Jun 19;14(6):e26098.
Mane BS, Chavan RP, Naikwadi KB, Gavali RM. A case series of dentigerous cyst in paediatric patients at our tertiary institution. Indian J Otolaryngol Head Neck Surg. 2023 Sep;75(3):2444-2452.
Karabas HC, Ozcan I, Tekkesin MS, Tasyapan SA, Guray B, Atapek MM. Evaluation of radiolucent lesions associated with impacted teeth: A retrospective study. Curr Med Imaging. 2020;16(10):1332-1339
Yalçin BK, Berberoğlu HK, Aralaşmak A, et al. Evaluation of CT and MRI imaging results of radicular cysts, odontogenic keratocysts, and dentigerous cysts and their contribution to the differential diagnosis. Curr Med Imaging. 2022;18(14):1447-1452.
Mohammed M, Mahomed F, Ngwenya S. A survey of pathology specimens associated with impacted teeth over a 21-year period. Med Oral Patol Oral Cir Bucal. 2019;24(5):e571-e576.
Sueyoshi T, Sameshima J, Kaneko N, et al. Comparison of computed tomographic findings for radiolucent lesions of the mandibular ameloblastoma, odontogenic keratocyst, dentigerous cyst, and simple bone cyst. J Dent Sci. 2025;20(1):605-612
Rajae EG, Karima EH. Dentigerous cyst: enucleation or marsupialization? A case report. Pan Afr Med J. 2021;40:149.
Kader D, Özalp Ö, Özbudak İH, Sindel A, Altay MA. The effect of decompression on histologic diagnoses of cystic jaw lesions. Ann ItalChir. 2024;95(5):901-908.
Sun YF, Wang QL, Shi ZY, Zhao Y. Comprehensive management of impacted teeth in cystic lesions of the jaws. Chin J Dent Res. 2025;28(1):19-30.
Karabas HC, Ozcan I, Tekkesin MS, Tasyapan SA, Guray B, Atapek MM. Evaluation of radiolucent lesions associated with impacted teeth: A retrospective study. Curr Med Imaging. 2020;16(10):1332-1339.
Eninanç İ, Mavi E. Three-dimensional evaluation of dentigerous cysts in the Turkish subpopulation. BMC Oral Health. 2024;24(1):677.
Atarbashi-Moghadam S, Emamipour H, Safi Y, Ahsaie MG. Pathologic jaw lesions associated with impacted teeth. Gen Dent. 2024;72(6):33-37.
Austin RP, Nelson BL. Sine qua non: Dentigerous cyst. Head Neck Pathol. 2021;15(4):1261-1264.
Zhao Y, Liu B, Zhao YF. Controversies regarding the management of teeth associated with cystic lesions of the jaws. Chin J Dent Res. 2019;22(2):81-92.
Diarra D, Nyimi BF, Sun R, Zhao J. The clinical importance of marsupialization treatment of the cystic lesión of the jaws: Analysis of the dental pulp vitality. J Stomatol Oral Maxillofac Surg. 2023 Feb;124(1S):101305.
Niu G, Zhang G, Chen JM, Wang T, Wu Y, Lu YG, Lin LS. A 3-year follow-up clinical study on the preservation for vitality of involved tooth in jaw cysts through an innovative method. Sci Rep. 2024. 2;14(1):128.
Nabil S, Rashdi MF, Nazimi AJ. Pulp responsiveness of healthy non-pathological teeth following surgical enucleation of cysts. Dent J (Basel). 2025;13(3):116.
Mortazavi H, Baharvand M, Safi Y, Behnaz M. Common conditions associated with displacement of the inferior alveolar nerve canal: A radiographic diagnostic aid. Imaging Sci Dent. 2019;49(2):79-86.
Rajendra Santosh AB. Odontogenic cysts. Dent Clin North Am. 2020; 64(1):105-119.
Wei Z, Zhu Y, Zhou L. A conservative treatment of an involved molar tooth associated with dentigerous cyst: a case report and literature review. BMC Oral Health. 2024 15;24(1):1222.
Wang J, Jin C, Zhao Y, Huang C. Analysis of changes in buccolingual width and cyst cavity depth at the stoma site during marsupialization for jaw cystic lesions. BMC Oral Health. 2025;25(1):217.
Mistry LN, Deshpande SS, More SG. Management of infected dentigerous cyst in an 8-year-old patient using decompression technique: A case report and review of literature. Int J Clin Pediatr Dent. 2024;17(10):1176-1180.
Cobo-Vázquez C, Fernández-Gutiérrez L, Pérez-Fernández B, et al. Effectiveness of conservative treatment of dentigerous cyst in the pediatric patient: A systematic review. J Stomatol Oral Maxillofac Surg. 2024;126(4):102115.
Lee H, Lee SJ, Seo BM. Investigation of postoperative complications of intrabony cystic lesions in the oral and maxillofacial region. J Oral Maxillofac Surg. 2019;77(9):1823-1831.
Chhikara D, Singh V, Bhagol A, Dahiya A. Mental nerve shielding from possible injury during mandibular surgical procedures: technical note. Int J Oral Maxillofac Surg. 2023;52(10):1071-1073
Hakimiha N, Rokn AR, Younespour S, Moslemi N. Photobiomodulation Therapy for the management of patients with inferior alveolar neurosensory disturbance associated with oral surgical procedures: An interventional case series study. J Lasers Med Sci. 2020;11(Suppl 1):S113-S118.
Fernandes-Neto JA, Simões TM, Batista AL, Lacerda-Santos JT, Palmeira PS, Catão MV. Laser therapy as treatment for oral paresthesia arising from mandibular third molar extraction. J Clin Exp Dent. 2020;12(6):e603-e606.
Hasegawa T, Yamada SI, Ueda N, et al. Treatment modalities and risk factors associated with refractory neurosensory disturbances of the inferior alveolar nerve following oral surgery: a multicentre retrospective study. Int J Oral Maxillofac Surg. 2018;47(6):794-801.
Brito AV Sr, Angulo A, Almon R. Super-pulsed diode laser in the therapy of inferior alveolar nerve paresthesia after mandibular third molar extraction: A case report. Cureus. 2024;16(12):e76147.
Kouhsoltani M, Mesgarzadeh AH, Moradzadeh Khiavi M. mandibular fracture associated with a dentigerous cyst: Report of a case and literature review. J Dent Res Dent Clin Dent Prospects. 2015;9(3):193-198.
Boffano P, Roccia F, Gallesio C, Berrone S. Pathological mandibular fractures: a review of the literature of the last two decades. Dent Traumatol. 2013;29(3):185-196.
Bazin H, Felizardo R, Lescaille G, Rochefort J, Boussouni S. Use of patient-specific titanium plates to prevent iatrogenic mandibular fracture during the surgical removal of dentigerous cysts: A two-case series. Cureus. 2024;16(7):e64520.
Sulistyani LD, Iskandar L, Zairinal VN, Arlen AK, Purba F, Ariawan D. Transformation of odontogenic cysts to neoplasms – a systematic review. Ann Maxillofac Surg. 2023;13(1):76-80.

Sharif Ardestanian Moghadam, Alireza
Alumno Grado de Odontología. Facultad de Odontología. Universidad Complutense de Madrid (UCM).
Amirbagloy Darian, Melika
Alumna Grado de Odontología. Facultad de Odontología. Universidad Complutense de Madrid (UCM).
Martínez Rodríguez, Natalia
Profesora Asociada de Cirugía Bucal. Facultad de Odontología. Universidad Complutense de Madrid (UCM).
Miró Cuadrado, Blanca
Odontóloga, Máster en Endodoncia. Facultad de Odontología. Universidad Complutense de Madrid (UCM).
Martínez-González, José María
Profesor Titular Cirugía Maxilofacial. Facultad de Odontología. Universidad Complutense de Madrid (UCM)
Correspondencia:
Prof. Dr. José María Martínez-González
[email protected]

















