ESPECIAL EN INGLÉS. Científica Dental vol. 20 2023

Contenidos de la publicación
1 | EDITORIAL | |
2 | UPDATE | ANTIPLATELET THERAPY AND ORAL SURGERY: TO DISCONTINUE OR NOT, THAT IS THE QUESTION |
3 | ORIGINAL ARTICLE | IMPLANTS OF 4.5 AND 5.5 MM LENGTH INSERTED DIRECTLY IN CRESTAL ELEVATION WITH AUTOLOGOUS BONE ATTACHED TO PRFG-ENDORET IN RESIDUAL BONE HEIGHTS OF 2-3 MM: RETROSPECTIVE STUDY |
4 | CLINICAL CASE | MAXILLARY RECONSTRUCTION WITH A SUBPERIOSTEAL IMPLANT IN A CASE OF SEVERE ATROPHY. FROM PLANNING TO REHABILITATION FOLLOWING A FULLY DIGITAL PROTOCOL. ABOUT A CLINICAL CASE AND BIBLIOGRAPHIC REVIEW |
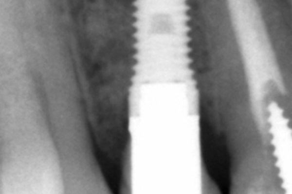
5 | CLINICAL CASE | IMPLANT EXPLANTATION POORLY POSITIONED IN AN AESTHETIC SECTOR AND SUBSEQUENT REGENERATION WITH BLOCK GRAFTING. CLINICAL CASE |
6 | CLINICAL CASE | INTEGRAL SURGICAL AND ORTHODONTIC TREATMENT OF AN AUTOTRANSPLANTED MAXILLARY CANINE: CASE REPORT |
7 | BIBLIOGRAPHIC REVIEW | INFLUENCE OF NON-ALTERNATING UNILATERAL. MASTICATION IN MAXILLOFACIAL DEVELOPMENT AND EARLY TREATMENT |

Dra. Mª Isabel Leco Berrocal
Director of Científica Dental.

Dra. Mª Victoria Mateos Moreno
Assistant Director Científica Dental.
Editorial
Dear colleagues and readers of the journal Científica Dental (Dental Science in English),
This special English-language supplement of Científica Dental features the best papers published in 2023 in the categories of best scientific article, best clinical case and best first-time author publication. A total of six papers are presented, which are the finalists of the previous categories.
The subject matter of the papers is, as we always try to do at Científica Dental, current, varied and of interest to dental professionals. Our readers can access this issue free of charge at www.cientificadental.es.
The first prize in the category of original article goes to the study carried out by González Fernández-Tresguerres, et al., which shows a broad and detailed analysis of the management of antiplatelet agents in oral surgery. In this same category, Anitua is the second prize-winner, with a study on the use of extra-short implants in crestal elevation with autologous bone and PRGF-Endoret in residual bone heights of 2-3mm.
As best clinical case, Garrido Martínez, et al. are the first winners with an excellent clinical case on the maxillary reconstruction of a patient with subperiosteal implants. Anitua repeats the award with a clinical case where they successfully show the explantation of a poorly positioned implant in the aesthetic sector and its subsequent regeneration.
In the best first author publication category, the work of Galán Valero, et al., presents a clinical case on the surgical and orthodontic management of an autotransplantation of a maxillary impacted canine, and Escobar Bores, et al. analyses the influence of unilateral non-alternating chewing on maxillofacial development and early treatment in their review of the literature.
We would like to thank, as always, our authors for the high quality of the papers they present and for their trust in us to publish them in Científica Dental, as well as the editors and reviewers, whose work is essential for the production of each issue of this journal. We also thank our readers, of course, to whom this issue, which includes the most relevant papers published during the year 2023, is especially addressed.
Artículos de la publicación

Antiplatelet therapy and oral surgery: to discontinue or not, that is the question

Maxillary reconstruction with a subperiosteal implant in a case of severe atrophy. From planning to rehabilitation following a fully digital protocol. About a clinical case and bibliographic review




