ESPECIAL EN INGLÉS. Científica Dental vol. 18 2021

Contenidos de la publicación
1 | EDITORIAL | |
2 | ORIGINAL ARTICLE | PILOT CLINICAL STUDY OF THE EFFICACY OF A HYALURONIC ACID (1%) AND CHLORHEXIDINE (0.20%) GEL IN POST-EXTRACTION DENTISTRY |
3 | ORIGINAL ARTICLE | PILOT STUDY ON THE DIAGNOSIS OF AND FACTORS RELATED TO HYPOSIALIA IN PATIENTS WITH XEROSTOMIA AT A UNIVERSITY CLINIC |
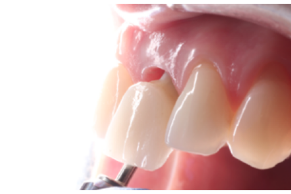
4 | CLINICAL CASE | THE CHALLENGE OF THE SURGICAL APPROACH IN THE REHABILITATION OF AN ANTERIOR SECTOR UNITARY IMPLANT IN A CASE OF HIGH AESTHETIC REQUIREMENTS; CASE REPORT |
5 | CLINICAL CASE | CONSERVATIVE APPROACH IN A PATIENT WITH MULTIPLE RADIOLUCENT PERIAPICAL LESIONS USING ENDODONTICS AND SURGERY |
6 | SYSTEMATIC REVIEW | USE OF PARTICULATE DENTIN IN ALVEOLAR PRESERVATION PROCEDURES: A SYSTEMATIC REVIEW |
7 | SYSTEMATIC REVIEW | CLINICAL UTILITY PROPERTIES OF NEW ENDODONTIC SILICATE-BASED SEALERS: A SYSTEMATIC REVIEW |

Dra. Cristina Meniz García
Director Científica Dental

Dra. Isabel Leco Berrocal
Subdirector Científica Dental
Dear colleagues and readers of Científica Dental magazine,
Included in this 9th year of the special English-language supplement of Científica Dental, are the best papers published during 2021 in the categories of Best Scientific Article, Clinical Case and Best First Publication or First-time Author. A total of 6 papers are presented, which are the finalists in the aforementioned categories.
As we always try to do at Científica Dental, the subject matter of the articles is current and varied. The first winners are in the area of Oral Surgery and Implantology. The clinical study by Ripollés et al. compares the use of hyaluronic acid gel with chlorhexidine in the postoperative period following third molar exodontia. Peña et al. present a clinical case of a single implant of great aesthetic importance in the anterior sector, and Fernández-Baca et al. carry out a systematic review on the use of particulate dentine in alveolar preservation. Also noteworthy for their interest and scientific rigour, are studies by Grano de Oro et al. and Parziale et al., in the area of endodontics, and Medina et al. on the diagnosis of and factors related to hyposialia in patients with xerostomia. Our readers can have free access to this issue at the following link, cientificadental.es
As always, we would like to thank our authors for the high quality of the papers submitted and for their trust in us to publish them in Científica Dental, as well as the editors and reviewers, whose work is essential for the production of each issue of this journal; and finally, of course, our readers, to whom this issue, which includes the most significant papers published during 2021, is especially addressed.
Artículos de la publicación

Pilot study on the diagnosis of and factors related to hyposialia in patients with xerostomia at a university clinic






