Científica Dental: sept.-octubre-noviembre-diciembre 2023
Caso clínico
Cobo-Vázquez CM, Rayo Navarro A, Sánchez-Labrador L, Sáez Alcaide LM, Meniz-García C. Manejo odontológico del paciente con frenillo lingual corto: a propósito de un caso. Cient. Dent. 2023; 20; 3; 141-146.
Manejo odontológico del paciente con frenillo lingual corto: a propósito de un caso
El frenillo lingual corto puede provocar dificultades en la lactancia durante los primeros meses de vida en el neonato. A partir del desarrollo del lenguaje puede ser la causa de una fonética inadecuada. El tratamiento quirúrgico del frenillo debe ir acompañado por un adecuado tratamiento multidisciplinar para favorecer la corrección de las dificultades en la pronunciación. El objetivo del presente artículo es presentar un caso clínico representativo del diagnóstico, tratamiento quirúrgico y rehabilitación miofuncional del frenillo lingual corto, así como analizar la evidencia científica disponible. Caso clínico: Se presenta un paciente varón de 6 años diagnosticado de anquiloglosia severa que acude por dificultad en la pronunciación del fonema “RR”. Se realiza el tratamiento quirúrgico del frenillo mediante electrobisturí y su seguimiento por un logopeda. Conclusiones: El diagnóstico de la patología y la planificación quirúrgica y miofuncional deben tener en cuenta la clasificación del frenillo, la edad del paciente y la anatomía de la región. El tratamiento de la patología asociada al frenillo lingual corto requiere de un equipo multidisciplinar para evitar la recidiva.
Introduction: The short lingual frenulum can cause breastfeeding difficulties during the first months of life in the neonate. From language development they can
be the cause of inadequate phonetics. Surgical treatment of the frenulum must be accompanied by adequate multidisciplinary treatment to improve the correction of pronunciation difficulties.
The objective of this article is to present a representative clinical case of the diagnosis, surgical treatment and myofunctional rehabilitation of the short lingual frenulum, as well as to update the available scientific evidence.
Case Report: A 6-year-old male patient is presented, diagnosed with severe ankyloglossia who came due to difficulty in pronouncing the phoneme “RR”. Surgical treatment of the frenulum was performed using electrocautery and its follow-up by a speech therapist.
Conclusions: The diagnosis of the pathology and the surgical and myofunctional planning must take into account the classification of the frenulum, the age of the patient and the anatomy of the region. The treatment of the pathology associated with short lingual frenulum requires a multidisciplinary team to avoid recurrence.
KEY WORDS: Lingual frenulum; Frenectomy; Ankyloglossia.
La anquiloglosia es un trastorno congénito caracterizado por un frenillo lingual corto que limita la movilidad lingual. Se define como una malformación anatómica embriológica de la lengua, caracterizada por un frenillo lingual anormalmente corto y grueso que restringe la movilidad de la lengua1,2. La incidencia total de esta patología se estima entre el 0,1-12%3-8. El frenillo lingual puede clasificarse según la longitud de lengua desde su inserción en la cara ventral hasta la punta de la lengua (Tabla 1)9.

Las manifestaciones clínicas de una longitud reducida del frenillo lingual son la dificultad para el posicionamiento de la punta de la lengua en la zona retroincisiva superior y su proyección hacia el exterior de la cavidad oral. En el neonato puede dificultar la lactancia, lo que daría lugar a una inadecuada ganancia de peso. A partir de los 3 años de edad y hasta la edad adulta puede provocar dificultad en la pronunciación de los fonemas linguoalveolares o consonantes líquidas (“RR” y “L”). La alteración de la masticación y deglución en pacientes con anquiloglosia afecta a la coordinación de los músculos de la mandíbula durante el habla. Por tanto, podría resultar en el desarrollo de algunos hábitos como la respiración bucal, la aerofagia y la posición adelantada de la lengua. También se ha descrito un aumento del riesgo de desarrollar maloclusiones de clase III, un crecimiento maxilar reducido y prognatismo mandibular10. Además, puede relacionarse con inflamación y recesiones gingivales linguales en los incisivos centrales. El diagnóstico del frenillo lingual corto en el neonato se realiza tras el parto o durante las primeras etapas de la lactancia ante la dificultad de realizar la alimentación, náuseas, ahogo, vómitos y cambios de comportamiento. Desde los 3 años y hasta la edad adulta se diagnostica ante dificultades en la fonación y la proyección de la punta lingual hacia el exterior de la cavidad oral. La limitación del movimiento se valora clínicamente solicitando al paciente que realice movimientos de protrusión y elevación de la lengua, donde se puede observar la lengua “en forma de corazón”11. Se puede objetivar una limitación cuando el paciente no puede tocar el surco labio-mentoniano o la papila retroincisiva con la punta de la lengua. Los profesionales implicados en su diagnóstico varían según el momento de su evaluación y ámbito, incluyendo matronas, pediatras, logopedas, ortodoncistas y odontopediatras. El tratamiento más común para corregir la anquiloglosia es la escisión quirúrgica de las fibras aberrantes mediante una técnica quirúrgica conocida como frenectomía, frenotomía, frenulectomía o frenuloplastia. Según la edad de los pacientes cabe considerar su realización mediante anestesia general o sedación. El instrumental empleado con mayor frecuencia es el electrobisturí, el bisturí frío o el láser quirúrgico12. El tratamiento quirúrgico del frenillo lingual corto debe acompañarse de un tratamiento rehabilitador y funcional por parte de un logopeda tan pronto como sea posible para evitar la recidiva13. Por otra parte, hay estudios que relacionan el éxito tras su exéresis con el inicio del tratamiento de logopedia previo a la cirugía y su mantenimiento de manera temprana14. El objetivo del presente artículo es presentar un caso clínico representativo del diagnóstico, tratamiento quirúrgico y rehabilitación miofuncional del frenillo lingual corto, así como actualizar la evidencia científica disponible.
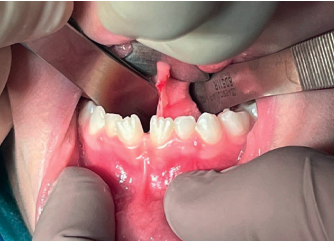
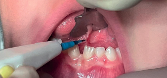
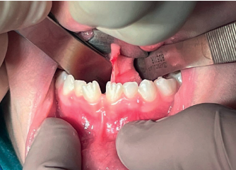
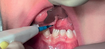
Se presenta el caso de un paciente de 6 años que acudió acompañado por sus padres, quienes referían dificultad en la pronunciación del fonema “RR”, encontrándose en tratamiento por un logopeda desde hace 3 meses, sin presentar mejoría en la pronunciación. Se realizó la exploración clínica, solicitando a la paciente la pronunciación de sonidos linguoalveolares como “perro”, “parrilla”, o “ratón”, confirmándose la dificultad en la pronunciación. Se observó la limitación anatómica del frenillo lingual, de manera activa, solicitando a la paciente intentar tocar con la punta de la lengua el mentón y su dificultad durante la tracción, mediante una gasa. Además, se observó un diastema interincisivo inferior correspondiente a la zona del frenillo lingual. Tras estos hallazgos, se determinó que Tabla 1. Clasificación de Kotlow. Clasificación de la repercusión del frenillo lingual. Clasificación de Kotlow Longitud de la lengua desde la inserción del frenillo en la cara ventral hasta la punta de la lengua Lengua libre normal: Clínicamente aceptable > 16 mm Clase I: Anquiloglosia leve 12 – 16 mm Clase II: Anquiloglosia moderada 8 – 11 mm Clase III: Anquiloglosia severa 3 – 7 mm Clase IV: Anquiloglosia completa < 3 mm cient. dent. VOL. 20 NÚM. 3. SEPTIEMBRE-OCTUBRE-NOVIEMBRE-DICIEMBRE 2023. PÁG. 143 15 Manejo odontológico del paciente con frenillo lingual corto: a propósito de un caso la paciente presentaba una anquiloglosia severa (Clase III de Kotlow), con un frenillo lingual tendinoso, informándose a los padres de la necesidad de tratamiento quirúrgico. Tras la consulta con el Servicio de Anestesiología y el consentimiento informado, se procedió a la anestesia general del paciente y posterior refuerzo con anestésico local en la zona del frenillo mediante técnica infiltrativa con Articaina/ Epinefrina 40 mg/ml + 5 microgramos/ml solución inyectable (Inibsa®, Lliçà del Vall, Barcelona, España). Una vez comprobado el efecto anestésico, se expuso el frenillo sagitalmente mediante una sonda acanalada, realizándose la exéresis del frenillo mediante electrobisturí (Figuras 1 y 2). Se seccionó transversalmente desde la zona más próxima a la punta de la lengua hasta la base, en la porción más cercana al vientre lingual y alejada del suelo de la boca (Figuras 2 y 3). Tras la escisión, se verificó una correcta movilidad mediante tracción lingual (Figuras 4 y 5). Como medidas postoperatorias, se colocó una gasa estéril impregnada con un gel de clorhexidina 0,12% (Lacer® Barcelona, España), aconsejando mantenerla durante 30 minutos. Se prescribió como pauta analgésica Ibuprofeno Cinfa® 40mg/mL en suspensión oral, a dosis de 4,5 ml cada 8 horas durante 3 días. Las medidas locales posteriores a la intervención incluyeron la dieta fría, evitando el trauma en la zona y desinfección de la zona tras las comidas con la aplicación tópica del mismo gel. Además, para evitar la recidiva temprana de la patología relacionada con el frenillo, se indicó comenzar pasadas 24 horas con ejercicios de extensión y movilidad lingual temprana durante 15 minutos tres veces al día.
Una vez se confirmó la mejoría clínica del paciente, pasados 3 días, se indicó acudir nuevamente al logopeda para retomar los ejercicios dirigidos de pronunciación. El paciente fue revisado a los quince días confirmando la cicatrización completa de la herida quirúrgica (Figura 6). Además, se observó un mantenimiento de la adecuada movilidad lingual y una mejoría en la pronunciación tras los ejercicios de logopedia (Figura 7).
La incidencia total de la anquiloglosia puede variar entre el 1% y el 46,3% dependiendo de los métodos diagnósticos empleados15-19. En recién nacidos, puede existir un infradiagnóstico de los casos (0,52-20%) debido a la falta de estandarización de métodos diagnósticos3,4,6,11,20. Pese a esto, actualmente, el diagnóstico de la anquiloglosia es superior en comparación con los datos procedentes de los últimos 10-20 años, probablemente por una mayor concienciación del impacto negativo que supone para el desarrollo de una lactancia fisiológica3,6,10. En niños, adolescentes y adultos su diagnóstico varía entre el 0,1% y el 2,08%. La disminución en la incidencia respecto a la descrita en la edad infantil es explicada por algunos autores debido a que algunas formas leves de anquiloglosia podrían resolverse con el crecimiento del paciente4. Respecto al género, la mayoría de los autores describen una mayor incidencia en varones (63,6%) que en mujeres (36,4%)3-5. La mayoría de los estudios destacan resultados positivos, independientemente de la técnica quirúrgica utilizada. Sin embargo, las técnicas con láser y electrobisturí destacan por reducir el tiempo de intervención de 30 minutos a unos 10 minutos. Por otra parte, reducen el riesgo de dolor postoperatorio y edema o hematoma sublingual, así como el riesgo de atragantamiento y asfixia21-25. Por este motivo, se consideran técnicas de elección en pacientes pediátricos, ya que aceleran la recuperación y reducen el traumatismo de los pacientes. Además, destaca la reducción de los riesgos quirúrgicos, como la lesión de las glándulas sublinguales y submandibulares, el conducto de Wharton y las terminaciones nerviosas en el suelo de la boca. Sin embargo, la desventaja de estas técnicas es su mayor coste económico frente a la técnica convencional y el manejo específico del equipo correspondiente por parte del odontólogo26-27. En cuanto a las complicaciones, suponen un 3-14% de los pacientes intervenidos mediante esta técnica. La mayoría se deben a la formación de tejido cicatricial, lo que puede provocar complicaciones en la fonación28. Son menos frecuentes las lesiones de estructuras circundantes, como vasos, nervios y glándulas, al igual que los hematomas, hemorragias y edemas de mayor volumen del esperado. La tasa de recurrencia oscila entre el 2,6% y el 13%, aunque no se ha descrito que exista influencia respecto a la técnica empleada5,6,29-31. Por último, destaca la importancia de seguimiento por parte del logopeda. Tras el tratamiento quirúrgico del frenillo Figura 6. Revisión a los 15 días de la recuperación postquirúrgica. Figura 7. Comprobación de la movilidad lingual a los 15 días de la frenectomía. cient. dent. VOL. 20 NÚM. 3. SEPTIEMBRE-OCTUBRE-NOVIEMBRE-DICIEMBRE 2023. PÁG. 145 17 Manejo odontológico del paciente con frenillo lingual corto: a propósito de un caso lingual, los pacientes requieren terapia posquirúrgica para ejercitar la movilidad de la lengua y recuperar la función de fonación, masticación o succión. Se ha indicado que los ejercicios se deben realizar de 3 a 5 veces al día durante 1 mes. Según varios autores de esta manera se puede lograr una mejoría posquirúrgica en menor tiempo y con mejores beneficios futuros para el paciente pediátrico32-34.
El diagnóstico y tratamiento temprano de la anquiloglosia es fundamental para el correcto desarrollo funcional oral de los pacientes pediátricos. La frenectomía lingual mediante cirugía con láser o electrobisturí proporciona un tratamiento más eficaz y cómodo tanto para el paciente pediátrico como para el odontólogo. La rehabilitación miofuncional desempeña un papel importante, y se debe comenzar al menos una semana antes de la cirugía para que el paciente aprenda los ejercicios sin dolor. Finalmente, el trabajo multidisciplinar y la colaboración de los padres es indispensable para la detección, tratamiento y rehabilitación de los pacientes.
Messner AH, Walsh J, Rosenfeld RM, y cols. Clinical consensus statement: ankyloglossia in children. Otolaryngol Head Neck Surg. 2020;162(5):597-611.
Mills N, Pransky SM, Geddes DT, y cols. What is a tongue tie? Defining the anatomy of the in-situ lingual frenulum. Clin Anat. 2019;32(6):749-61.
Costa-Romero M, Espínola-Docio B, Paricio-Talayero JM, y cols. Ankyloglossia in breastfeeding infants. An update. Arch Argent Pediatr. 2021 Dec;119(6):e600-9.
Walsh J, Tunkel D. Diagnosis and treatment of ankyloglossia in newborns and infants: a review. JAMA Otolaryngol Head Neck Surg. 2017 1;143(10):1032- 9.
González Jiménez D, Costa Romero M, Riaño Galán I, y cols. Prevalencia de anquiloglosia en recién nacidos en el Principado de Asturias. An Pediatr (Barc). 2014;81(2):115-9.
6. Hazelbaker AK, Baeza C, Genna CW, y cols. Incidence and prevalence of tongue-tie. Clin Lact. 2017;8(3):89-92.
O’Shea JE, Foster JP, O’Donnell CP, y cols. Frenotomy for tongue-tie in newborn infants. Cochrane Database Syst Rev. 2017;3(3):CD011065.
Griffiths DM. Do tongue ties affect breastfeeding? J Hum Lact. 2004;20(4):409-14.
Kotlow L A. Ankyloglossia (tongue-tie): a diagnostic and treatment quandary. Quintessence Int. 1999;30(4):259-62.
0. Visconti A, Hayes E, Ealy K, y cols. A systematic review: The effects of frenotomy on breastfeeding and speech in children with ankyloglossia. Int J Speech Lang Pathol. 2021;23(4):349-58.
Ramoser G, Guóth-Gumberger M, Baumgartner-Sigl Sy cols. Frenotomy for tongue-tie (frenulum linguae breve) showed improved symptoms in the shortand long-term follow-up. Acta Paediatr. 2019;108(10):1861-6.
12. Belmehdi A, Harti KE, Wady WE. Ankyloglossia as an oral functional problem and its surgical management. Dent Med Probl. 2018;55(2):213-16.
Ferrés-Amat E, Pastor-Vera T, FerrésAmat E, y cols. Multidisciplinary management of ankyloglossia in childhood. Treatment of 101 cases. A protocol. Med Oral Patol Oral Cir Bucal. 2016; 21(1):e39-47.
Fiorotti RC, Bertolini MM, Nicola JH, y cols. Early lingual frenectomy assisted by CO2 laser helps prevention and treatment of functional alterations caused by ankyloglossia. Int J Orofacial Myology. 2004;30:64-71.
Narsat MA, Beygirci A, Özdönmez GT, y cols. Grouping of ankyloglossia according to coryllos anatomical classification and follow-up results for breastfeeding: single-center, cross-sectional study. Children. 2022;9(12):1860.
Cetinkaya M, Oz FT, Orhan AI, y cols. Prevalence of oral abnormalities in a Turkish newborn population. Int Dent J. 2011;61:90-100.
Maya-Enero S, Pérez-Pérez M, RuizGuzmán L, y cols. Prevalence of neonatal ankyloglossia in a tertiary care hospital in Spain: A transversal cross-sectional study. Eur J Pediatr. 2021;180:751-7
Haham A, Marom R, Mangel L, y cols. Prevalence of breastfeeding difficulties in newborns with a lingual frenulum: A prospective cohort series. Breastfeed Med. 2014;9:438-41.
Cruz PV, Souza-Oliveira AC, Notaro SQ, y cols. Prevalence of ankyloglossia according to different assessment tools: A meta-analysis. J Am Dent Assoc. 2022 Nov;153(11):1026-40.e31.
Fraga MDRBA, Barreto KA, Lira TCB, y cols. Diagnosis of ankyloglossia in newborns: is there any difference related to the screening method? Codas. 2021 May 3;33(1):e20190209.
Komori S, Matsumoto K, Matsuo K, y cols. Clinical study of laser treatment for frenectomy of pediatric patients. Int J Clin Pediatr Dent. 2017; 10(3):272-7.
2. Kato J, Moriya K, Hashimoto Y, y cols. Application of CO2 laser for soft tissue surgery in children – application of frenectomy. J Jpn Pedodontics. 2000;38(4):897-905.
Kaneko T, Toyoda J, Chikazu D. Frenectomy – as it relates to the lingual frenulum and the upper lip frenulum. Pediatr Oral Maxillofac Surg. 2011;21(1):25-32.
Tancredi S, De Angelis P, Marra M, y cols. Clinical comparison of diode laser assisted “v-shape frenectomy” and conventional surgical method as treatment of ankyloglossia. Healthcare (Basel). 2022 4;10(1):89.
Kim TH, Lee YC, Yoo SD, y cols. Comparison of simple frenotomy with 4-flap Z-frenuloplasty in treatment for ankyloglossia with articulation difficulty: A prospective randomized study. Int J Pediatr Otorhinolaryngol. 2020 Sep;136:110146.
Garrocho-Rangel A, Herrera-Badillo D, Pérez-Alfaro I, y cols. Treatment of ankyloglossia with dental laser in paediatric patients: Scoping review and a case report. Eur J Paediatr Dent. 2019;20(2):155-63.
Komori S, Matsumoto K, Matsuo K, y cols. Clinical study of laser treatment for frenectomy of pediatric patients. Int J Clin Pediatr Dent. 2017; 10(3):272-77.
Varadan M, Chopra A, Sanghavi AD, y cols. Etiology and clinical recommendations to manage the complications following lingual frenectomy: A critical review. J Stomatol Oral Maxillofac Surg. 2019;120(6):549- 53.
Bhandarkar KP, Dar T, Karia L, y cols. Post frenotomy massage for ankyloglossia in infants — does it improve breastfeeding and reduce recurrence? Matern Child Health J. 2022;26(8):1727-31.
Billington J, Yardley I, Upadhyaya M. Long-term efficacy of a tongue tie service in improving breast feeding rates: A prospective study. J Pediatr Surg. 2018;53(2):286-8.
Braccio S, Chadderton Z, Sherridan A, y cols. Tongue-tie division: Is it worth it? British Journal of Midwifery 2016;24(5):317–21.
González-Garrido MDP, Garcia-Munoz C, Rodríguez-Huguet M, y cols. Int J Environ Res Public Health. 2022 28;19(19):12347.
Zaghi S, Valcu-Pinkerton S, Jabara M, y cols. Lingual frenuloplasty with myofunctional therapy: Exploring safety and efficacy in 348 cases. Laryngoscope Investig Otolaryngol. 2019 26;4(5):489- 96.
Saccomanno S, Di Tullio A, D’Alatri L, y cols. Proposal for a myofunctional therapy protocol in case of altered lingual frenulum. a pilot study. Eur J Paediatr Dent. 2019;20:67-72.

Cobo-Vázquez, Carlos M
Profesor asociado Departamento de Especialidades Clínicas Odontológicas. Facultad de Odontología. Universidad Complutense de Madrid, Madrid, España.
Rayo Navarro, Alfonso
Director médico Servicio de Odontología. Hospital San Francisco de Asís, Madrid, España.
Sánchez-Labrador, Luis
Colaborador honorífico Departamento de Especialidades Clínicas Odontológicas. Facultad de Odontología. Universidad Complutense de Madrid, Madrid, España.
Sáez Alcaide, Luis Miguel
Profesor colaborador Departamento de Especialidades Clínicas Odontológicas. Facultad de Odontología. Universidad Complutense de Madrid, Madrid, España.
Meniz-García, Cristina
Profesora contratada doctora Departamento de Especialidades Clínicas Odontológicas. Facultad de Odontología. Universidad Complutense de Madrid, Madrid, España.
Indexada en / Indexed in: – IME – IBECS – LATINDEX – GOOGLE ACADÉMICO
Correspondencia: Dr. Carlos M. Cobo Vázquez Plaza Ramón y Cajal, 3. Departamento de Especialidades Clínicas Odontológicas. Facultad de Odontología. Universidad Complutense de Madrid. 28040 Madrid, España. [email protected] +34 91 394 1964








