Caso clínico
Serrano Sánchez-Rey MC, Rubio Ramírez L, Casas Hernández A, Carasol Campillo M, Alonso Álvarez B.
Detección de calcificaciones carotídeas mediante radiografía panorámica dental.
Una acción promotora de salud general desde la clínica dental.
Cient. Dent. 2025; 22; 1; 33-40.
Detección de calcificaciones carotídeas mediante radiografía panorámica dental. Una acción promotora de salud general desde la clínica dental
Introducción: El infarto cerebral o ictus isquémico es una de las principales causas de discapacidad y muerte en adultos. La estenosis arterial provocada por ateromas carotídeos es una de sus causas primordiales, por lo que su identificación temprana es crucial. Objetivo: Aunque la ecografía Doppler es el método diagnóstico más fiable, las ortopantomografías orales pueden ser herramientas efectivas de detección preliminar. Métodos: Se presentan tres casos clínicos donde la detección incidental de calcificaciones carotídeas en pacientes con periodontitis durante exámenes radiográficos de control y su remisión a su médico de familia permitió la adopción de medidas preventivas. Resultados y conclusiones: El dentista podría contribuir activamente dentro del equipo médico multidisciplinar a la prevención de los accidentes cerebrovasculares.
Detection of carotid calcifications using panoramic dental radiography: A general health promotion action from the dental clinic
Abstract
Introduction: Ischemic stroke is one of the leading causes of disability and mortality in adults. Arterial stenosis caused by carotid atheromas is a primary cause, making early identification crucial. Aim: Although Doppler ultrasound is the most reliable diagnostic method, oral panoramic radiographs can be effective preliminary detection tools. Methods: The article presents three clinical cases where incidental detection of carotid calcifications in patients with periodontitis during routine radiographic examinations and their referral to a family physician allowed for preventive measures. Results and conclusions: the dentists could actively contribute within the multidisciplinary medical team to the prevention of cerebrovascular accidents.
Key words: Carotid atheromas; Carotid calcifications; Carotid bifurcation; Panoramic radiographs; Stroke; Cerebral infarction; Oral health.
El infarto cerebral o ictus isquémico es la primera causa de discapacidad en adultos en Europa y la segunda causa de muerte en países desarrollados1,2. De acuerdo con las últimas estimaciones, una de cada cuatro personas a nivel mundial experimentará un ictus en algún momento de su vida3. El ictus puede clasificarse en dos tipos principales: el isquémico, que representa el 80% de los casos y ocurre cuando el flujo sanguíneo se interrumpe hacia una parte del cerebro debido a la obstrucción de un vaso sanguíneo; y el hemorrágico, que comprende el 20% restante y se produce cuando un vaso sanguíneo se rompe, provocando sangrado en el cerebro y causando daño a los tejidos cerebrales circundantes4.
Si bien la edad más común de aparición es a partir de los 65 años, la incidencia del ictus está aumentando entre personas más jóvenes. En los últimos años, se ha registrado un incremento del 25% en casos de individuos de entre 20 y 64 años.
Según datos del Ministerio de Sanidad, sufren ictus en España aproximadamente 120.000 personas al año, de las cuales fallecen alrededor de 25.000. Además de su alta morbilidad y los significativos costes sanitarios asociados, es importante destacar que esta enfermedad tiene un impacto profundo en todos los aspectos de la vida, afectando tanto a quienes la padecen como a sus familiares5.
Una de las principales causas del ictus isquémico es la estenosis arterial, provocada por la formación de ateromas en las arterias carótidas. Los ateromas carotídeos son placas compuestas por lípidos y células inflamatorias que, con el tiempo, pueden engrosarse, calcificarse y proyectarse hacia la luz de los vasos, alterando el flujo sanguíneo. Estas placas también pueden liberar fragmentos que, al formar coágulos, tienen el potencial de obstruir las arterias intracerebrales y desencadenar el ictus. Entre el 5-10% de individuos mayores de 65 años presentan estenosis carotídea mayor del 50% de forma asintomática, por lo que la identificación precoz de estas calcificaciones podría evitar muchos de los accidentes cerebrovasculares5.
Los factores de riesgo asociados con la formación de ateromas incluyen antecedentes de cardiopatías, sedentarismo, obesidad, hipertensión arterial, niveles séricos elevados de colesterol y triglicéridos, hiperglucemia, tabaquismo, consumo excesivo de alcohol y una dieta inadecuada. Actuar de manera preventiva sobre el estilo de vida y los factores de riesgo modificables podría prevenir hasta el 80-90% de los casos6. No obstante, es importante resaltar que en la mayoría de los casos los síntomas de aterosclerosis se manifiestan tardíamente o incluso pueden estar ausentes. El Plan de Acción Europeo para el Ictus 2018-2030 aborda el manejo de la enfermedad cerebrovascular desde un enfoque multidisciplinar, enfatizando la importancia de una adecuada coordinación entre los numerosos profesionales implicados en su atención5.
Si es evidente que el mejor abordaje es el preventivo, contar con un método diagnóstico capaz de detectar las placas ateroscleróticas antes de que aparezcan los síntomas o se reduzca el flujo sanguíneo sería de gran relevancia, ya que permitiría prevenir su progresión y la aparición de complicaciones posteriores.
El método diagnóstico más utilizado y fiable en el diagnóstico de ateromas carotídeos es la ecografía Doppler, que no sólo evalúa la presencia de placas de grasa o coágulos en dichas arterias, sino que también analiza si el flujo sanguíneo es el normal o está obstruido, lo que puede aumentar el riesgo de un accidente cerebrovascular.
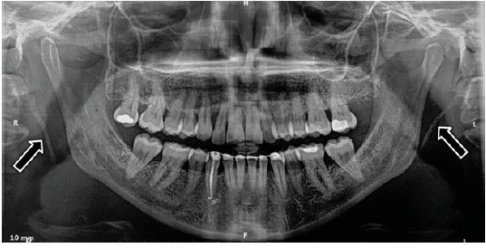
La radiografía panorámica es una de las pruebas diagnósticas más utilizada en la práctica clínica dental. Nos ofrece mucha información sobre las estructuras orales y faciales, así como sobre el área de las primeras vértebras cervicales. En este sentido, Friedlander y Lande señalaron en 1981, la gran oportunidad que tienen los dentistas de contribuir a la detección precoz de las calcificaciones carotídeas de sus pacientes, factores indicativos de alto riesgo de accidente cerebrovascular, simplemente prestando atención a las ortopantomografías bucales que les realizan con regularidad7.
Los estudios disponibles coinciden en que las imágenes compatibles con calcificaciones carotídeas observadas en una ortopantomografía, ubicadas entre la 2ª-3ª-4ª vértebras, suelen ser posteriormente confirmadas como ateromas carotídeos mediante la técnica eco-Doppler7-12.
Estas calcificaciones que, generalmente se localizan en la bifurcación carotídea, se presentan como masas radiopacas en la región de la radiografía panorámica correspondiente a los tejidos blandos del cuello, en una zona aproximada entre las vértebras cervicales C2, C3 y C4, a una distancia aproximada entre 1 y 4 cm posteroinferior al ángulo mandibular13. Pueden variar en tamaño y forma, siendo lineales verticales, nodulares o heterogéneas, y pueden presentarse de manera unilateral o bilateral, así como ser únicas o múltiples13-15.
Por otro lado, algunos estudios indican que la presencia de calcificaciones carotídeas es más frecuente en pacientes con periodontitis13.
El objetivo de esta publicación es contribuir a la prevención de los problemas cerebrovasculares desde la clínica dental, mediante la presentación de tres casos clínicos en los que se detectaron de manera casual calcificaciones carotídeas durante un examen radiográfico de control, realizado mediante una radiografía panorámica, en pacientes con patologías periodontales en fase de mantenimiento.
World Health Organization (WHO). The Global Health Observatory. Global Health Estimates: Life expectancy and leading causes of death and disability. 2020. Disponible en: https: //www.sho.int/data/gho/data/themes/mortality-and-global-health-estimates.
Soto A, Guillén-Grima F, Morales G, et al. Prevalence and incidence of ictus in Europe: systematic review and meta-analysis. An Sist Sanit Navar. 2022;45(1). Doi:10.23938/ ASSN.0979
World Stroke Organization Annual Report 2022. Disponible en: WSO_Annual_Report_2022_-_online.pdf
Arboix A, Díaz J, Pérez-Sempere A, Álvarez-Sabín J. Tipos etiológicos y criterios diagnósticos. Rev Neurol 2002;17 3:3-12.
Ministerio de Sanidad y Consumo. Estrategia en ictus del Sistema Nacional de Salud. Actualización 2024. Centro de publicaciones 2024. Disponible en: https://www.sanidad.gob.es/areas/calidadAsistencial/estrategias/ictus/docs/Estrategia_en_Ictus_del_SNS._Actualizacion_2024_accesible.pdf
García Pastor A, López-Cancio Martínez E, Rodríguez-Yáñez M, et al. Recommendations of the Spanish Society of Neurology for the prevention of stroke. Interventions on lifestyle and air pollution. Rev Neurol (Engl Ed). 2021;36(5):377-387. doi: 10.1016/j.nrleng.2020.05.020. Epub 2021 Mar 27. PMID: 34714236.
Friedlander AH, Lande A. Panoramic radiographic identification of carotid arterial plaques. Oral Surg Oral Med Oral Pathol Oral Radiol. 1981;52:102–104. doi: 10.1016/0030-4220(81)90181-X.)
Friedlander AH, Friedlander IK. Identification of stroke prone patients by panoramic radiography. Austr Dent J 1998;43(1):51-54.
Friedlander AH, Garrett NR, Chin EE, Baker JD. Ultrasonographic confirmation of carotid artery ateromas diagnosed via panoramic radiography. J Am Dent Assoc. 2005;136(5):635-640.
Atalay Y, Asutay F, Agacayak KS, et al. Evaluation of calcified carotid atheroma on panoramic radiographs and Doppler ultrasonography in an older population. Clin Interv Aging. 2015;10:1121-9. doi: 10.2147/CIA.S84683. PMID: 26185431; PMCID: PMC4501685.
Alves N, Deana NF, Garay I. Detection of common carotid artery calcifications on panoramic radiographs: prevalence and reliability. Int J Clin Exp Med. 2014;7(8):1931-1939. PMID: 25232373; PMCID: PMC4161533.
Bladh M, Gustafsson N, Engström G, et al. Defined shapes of carotid artery calcifications on panoramic radiographs correlate with specific signs of cardiovascular disease on ultrasound examination. Oral Surg Oral Med Oral Pathol Oral Radiol. 2024;137(4):408-420. doi: 10.1016/j.oooo.2023.12.783. Epub 2023 Dec 26. PMID: 38320892.
Beckstrom BW, Horsley SH, Scheetz JP, et al. Correlation between carotid area calcifications and periodontitis: A retrospective study of digital panoramic radiographic findings in pretreatment cancer patients. Oral Surg Oral Med Oral Pathol Oral Radiol Endodontology. 2007;103:359–366. doi: 10.1016/j.tripleo.2006.08.016).
Janiszewska-Olszowska J, Jakubowska A, Gieruszczak E, et al. Carotid Artery Calcifications on Panoramic Radiographs. Int J Environ Res Public Health. 2022;19(21):14056. doi: 10.3390/ijerph192114056. PMID: 36360932; PMCID: PMC9654866.
Zaghden O, Jaziri R, Kammoun R, Chaabani I, Alaya TB. Benefit of Panoramic Radiography in the Detection of Carotid Calcifications: Clinical case reports and review of the literature. Case Rep Dent. 2023;2023:3989502. doi: 10.1155/2023/3989502. PMID: 37305808; PMCID: PMC10257549.
Ertas ET, Sisman Y. Detection of incidental carotid artery calcifications during dental examinations: panoramic radiography as an important aid in dentistry. Oral Surg Oral Med Oral Pathol Oral Radiol Endod. 2011;112(4):e11-7. doi: 10.1016/j.tripleo.2011.02.048. Epub 2011 Jun 12. PMID: 21664149.
Almog DM. Utility of panoramic radiographs in detecting cervical calcified carotid ateroma. Oral Surg Oral Med Oral Pathol Oral Radiol Endod. 2007;104(4):451-452.
Garoff M, Ahlqvist J, Edin LT, et al. Bilateral vessel-outlining carotid artery calcifications in panoramic radiographs: an independent risk marker for vascular events. BMC Cardiovasc Disord. 2019 ;19(1):225. doi: 10.1186/s12872-019-1211-3. PMID: 31619183; PMCID: PMC6796463.
Madden RP, Hodges JS, Salmen CW, et al. Utility of panoramic radiographs in detecting cervical calcified carotid atheroma. Oral Surg Oral Med Oral Pathol Oral Radiol Endod. 2007;103(4):543-8. doi: 10.1016/j.tripleo.2006.06.048. Epub 2006 Sep 1. PMID: 17395069
Gustafsson N, Ahlqvist J, Norhammar A, et al. Association of high cardiovascular risk and diabetes with calcified carotid artery atheromas depicted on panoramic radiographs. Oral Surg Oral Med Oral Pathol Oral Radiol. 2022;133(1):88-99. doi: 10.1016/j.oooo.2021.06.006. Epub 2021 Jun 19. PMID: 34305040.
Vinayahalingam S, van Nistelrooij N, Xi T, et al. Detection of carotid plaques on panoramic radiographs using deep learning. J Dent. 2024;151:105432. doi: 10.1016/j.jdent.2024.105432. Epub ahead of print. PMID: 39461583.
MacDonald DS, Martin MA, Wu JS. The responsibility of dentists in radiologic examination of the nasopharynx. Oral Surg Oral Med Oral Pathol Oral Radiol. 2024;137(5):441-445. doi: 10.1016/j.oooo.2024.01.012. Epub 2024 Jan 26. PMID: 38402121.





