Ir al contenido principal
Filtros

 

Todavía no hay términos de filtro

Todavía no hay términos de filtro

  • Todavía no hay términos de filtro
Lucía Ledesma Sánchez

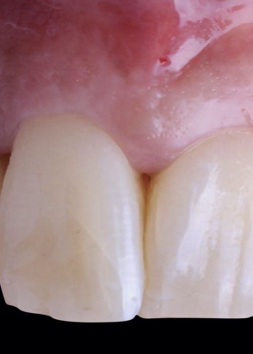
Surgical and restorative management of a dental implant in the esthetic zone and volumetric evaluation following deepithelialized connective tissue graft: a case report

Manejo quirúrgico y restaurador de un implante en área estética y evaluación volumétrica tras un injerto de tejido conectivo desepitelizado. Descripción de un caso clínico