Caso clínico
Sánchez-Labrador Martínez de Morentin L, Domínguez Marsal B, Cortés-Bretón Brinkmann J, Barona-Dorado C, Martínez-González J M. Autotrasplante de un tercer molar superior para reposición de un primer molar superior: a propósito de un caso clínico. Cient. Dent. 2022; 19; 1; 7-15
Autotrasplante de un tercer molar superior para reposición de un primer molar superior: a propósito de un caso clínico
Introducción: el desarrollo de los implantes dentales ha hecho que los autotrasplantes se realicen con menor frecuencia, pese a sus altas tasas de éxito y de suponer una alternativa terapéutica que permite la realización de rehabilitaciones naturales, funcionales y estéticas.
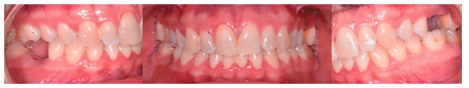
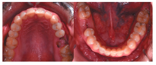
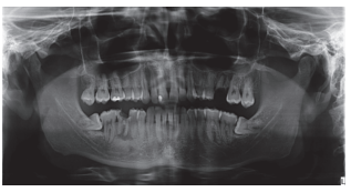
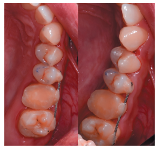
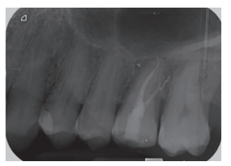
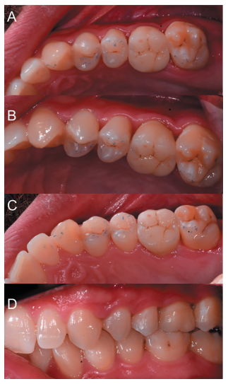
Caso clínico: se presenta el caso de un varón de 28 años, que acudió a consulta por la presencia de unos restos radiculares en localización de primer molar superior izquierdo. Se realizó un autotrasplante dental, siendo el diente donante el tercer molar superior izquierdo, que se trasplantó al alveolo del primer molar, mostrando buena evolución clínica y radiográfi ca.
Discusión: existen diferentes alternativas terapéuticas para reponer los dientes ausentes, dentro de las cuáles se encuentran los autotrasplantes, con altas tasas de éxito en dientes con ápices abiertos y cerrados. Los dientes más frecuentemente trasplantados son los terceros molares, como se muestra en el presente caso clínico, sugiriéndose como una opción más, que deben tener en cuenta profesionales y pacientes.
Conclusiones: aunque los autotrasplantes tienen indicaciones más limitadas, suponen un menor coste para los pacientes, y una restauración más simple para el profesional. Además, sufren micromovimientos, consiguiendo una armonía oclusal en relación a los dientes adyacentes, presentando una alta tasa de éxito.
Introduction: dental autotransplants are not performed frequently due to dental implant development, although their acceptable success rates, and being a therapeutic option which allows natural, functional and aesthetic restorations.
Clinical case: a clinical case of a 28-yearold man is presented, who went to dental clinic for removal of left fi rst molar roots. An autotransplant was performed using left third molar as donor tooth, which was transplanted into fi rst molar alveolus, showing promising clinical and radiographic evolution.
Discussion: there are different therapeutic alternatives to restore missing teeth, being one of them dental autotransplants, with acceptable success rates in teeth with both opened and closed apexes. Third molars are the most frequently tooth being transplanted, as shown in this clinical case, being suggested as another option, important for professionals and patients.
Conclusion: althouth autotransplants´ indications are more limited, they are more economical, and are simpler to be restored. Besides, they suffer micromovements, having an occlusal harmony in relation to adjacent teeth, with high success rates.
Las opciones terapéuticas más comunes para restaurar dientes ausentes son prótesis fijas dentosoportadas, implantes dentales, prótesis removibles, autotrasplantes dentales y tratamiento ortodóncico para cierre de espacios1,2. Sin embargo, debido al desarrollo de los implantes dentales3 , los autotrasplantes, aún siendo una alternativa efectiva, no son un tratamiento muy popular1,2, aunque son la única alternativa que permite una rehabilitación natural, funcional y estética4 .
Un autotrasplante se define como el trasplante de un diente retenido o erupcionado de su posición original en la boca a un alveolo donde se realiza una extracción o a localizaciones preparadas quirúrgicamente en la misma persona4-6.
Las indicaciones de los autotrasplantes son pacientes tratados en periodos de pubertad, pacientes con dientes no restaurables que requieran extracción, y que tengan un diente donante, cuando el re-implante intencional esté indicado7 por pérdida prematura o traumática de un diente, pérdida de dientes por tumores o ausencia congénita de dientes8 .
Se trata de una alternativa particularmente aplicable al paciente pediátrico y con dentición en desarrollo, donde otras opciones quirúrgicas no están indicadas. En este sentido, los autotrasplantes de dientes con ápices inmaduros son más favorables que aquellos realizados con ápices cerrados2 , debido a una revascularización pulpar y a un continuo desarrollo radicular, con una tasa de éxito del 95%9 . El autotransplante de dientes inmaduros, además, presenta ventajas como la propiocepción, revascularización pulpar y desarrollo radicular10.
Por otro lado, el autotrasplante de dientes con ápices cerrados puede ser exitoso si se realiza el tratamiento de conductos tras el procedimiento10, ya que es menos probable la revascularización y, además, se previene tanto la aparición de lesiones periapicales o infecciones como las reabsorciones radiculares11. Sólo consiguen una revascularización tras el trasplante un 15% de los dientes con ápice cerrado, en comparación al 96% de los dientes con ápice abierto6 .
En este sentido, también se han obtenido resultados satisfactorios en pacientes adultos8 , con tasas de supervivencia del 74-100%, variando en función del diente trasplantado y del periodo de seguimiento7 ; Boschini y cols.12 describieron tasas de supervivencia del 95% y de éxito del 80% tras 10 años de seguimiento. La revisión sistemática y meta-analisis de Machado y cols.1 obtuvo una tasa de supervivencia del 81% en dientes trasplantados, con un mínimo de seguimiento de 6 años.
Por tanto, debido a las altas tasas de éxito descritas en la literatura, el objetivo del presente caso clínico es evaluar clínica y radiográficamente la realización de un autotrasplante con el ápice cerrado, para reponer un primer molar superior izquierdo, como alternativa terapéutica a la colocación de un implante en un paciente adulto.
Machado LA, Do Nascimento RR, Ferreira DM, Mattos CT, Vilella OV. Long-term prognosis of tooth autotransplantation: a systematic review and meta-analysis. Int J Oral Maxillofac Surg 2016; 45 (5): 610-7.
Martin K, Nathwani S, Bunyan R. Autotransplantation of teeth: an evidencebased approach. Br Dent J 2018; 224 (11): 861-4.
Abela S, Murtadha L, Bister D, Andiappan M, Kwok J. Survival probability of dental autotransplantation of 366 teeth over 34 years within a hospital setting in the United Kingdom. Eur J Orthod 2019;41 (5): 551-6.
Strbac GD, Giannis K, Mittlbock M, Furst G, Zechner W, Stavropoulos A et al. Survival rate of autotransplanted teeth after 5 years-A retrospective study. J Craniomaxillofac Surg 2017; 45 (8): 1143- 9.
Park JH, Tai K, Hayashi D. Tooth autotransplantation as a treatment option: a review. J Clin Pediatr Dent 2010; 35 (2): 129-35.
Dioguardi M, Quarta C, Sovereto D y cols. Autotransplantation of the third molar: a therapeutic alternative to the rehabilitation of a missing tooth: a scoping review. Bioengineering (Basel) 2021; 8 (9): 120.
Tsukiboshi M. Autotransplantation of teeth: requirements for predictable success. Dent Traumatol 2002; 18 (4): 157-80.
Almpani K, Papageorgiou SN, Papadopoulos MA. Autotransplantation of teeth in humans: a systematic review and meta-analysis. Clin Oral Investig 2015; 19 (6): 1157-79.
Tsukiboshi M, Yamauchi N, Tsukiboshi Y. Long-term outcomes of autotransplantation of teeth: a case series. Dent Traumatol 2019; 35 (6): 358-67.
Nagori SA, Bhutia O, Roychoudhury A, Pandey RM. Immediate autotransplantation of third molars: an experience of 57 cases. Oral Surg Oral Med Oral Pathol Oral Radiol 2014; 118 (4): 400-7.
Boschini L, Plotino G, Melillo M, Staffoli S, Grande NM. Endodontic management of an autotransplanted mandibular third molar. A simplified approach. J Am Dent Assoc 2020; 151 (3): 197-202.
Boschini L, Melillo M, Berton F. Long term survival of mature autotransplanted teeth: a retrospective single center analysis. J Dent 2020; 98: 103371.
Erdem NF, Gumuser Z. Retrospective evaluation of immediate impacted third molars autotransplantation after extractions of mandibular first and/or second molars with chronic periapical lesions. J Oral Maxillofac Surg 2021; 79 (1): 37-48.
Ong DCV, Dance GM. Posterior tooth autotransplantation: a case series. Aust Dent J 2021; 66 (1): 85-95.
Murtadha L, Kwok J. Do autotransplanted teeth require elective root canal therapy? A long term follow-up case series. J Oral Maxillofac Surg 2017; 75 (9): 1817-26.
Yoshino K, Ishizuka Y, Sugihara N y cols. Risk factors affecting third molar autotransplantation during 5 and 10 years: a retrospective clinical survey. Bull Tokyo Dent Coll 2014; 55 (2): 111-22.
Ashurko I, Vlasova I, Yaremchuk P, Bystrova O. Autotransplantation of teeth as an alternative to dental implantation. BMJ Case Rep 2020; 13 (6): e234889.
De Freitas Coutinho NB, Nunes FC, Gagno Intra JB y cols. Success, survival rate and soft tissues esthetic or tooth autotransplantation. J Endod 2021; 47 (3): 391-6.
Xia JJ, Ge ZY, Fu XH, Zhang YZ. Autotransplantation of third molars with completely formed roots to replace compromised molars with the computeraided rapid prototyping. J Esthet Restor Dent 2020; 32 (3): 265-71.
Kokai S, Kanno Z, Kolke S y cols. Retrospective study of 100 autotransplanted teet with complete root formation and subsequent orthodontic treatment. Am J Orthod Dentofacial Orthop 2015; 148: 982-9.
Armstrong L, O´Reilly C, Ahmed B. Autotransplantation of third molars: a literature review and preliminary protocols. Br Dent J 2020; 228 (4): 247- 51.


























