Científica Dental: sept.-octubre-noviembre-diciembre 2023
Revisión Bibliográfica
Kemcha N, Rey Martínez H, Ruiz Sáenz PL, Martínez Rodríguez N, Barona Dorado C, Martínez-González JM. Sinusitis originada por patologías o tratamientos dentales: revisión de la literatura. Cient. Dent. 2023; 20; 3; 176-185.
Sinusitis originada por patologías o tratamientos dentales: revisión de la literatura
Introducción: la sinusitis odontogénica (SO) es una condición infradiagnosticada de la esfera otorrinolaringológica a pesar de su frecuencia que se estima entre 10 y el 40% de la rinosinusitis crónica. La SO representa hasta 75% de los casos de sinusitis maxilar unilateral y sigue pasando por alto en las guías más actuales de rinosinusitis, ocasionando una falta de consenso sobre los criterios diagnósticos y las pautas terapéuticas a observar. La dificultad en identificar el foco odontogénico en consultas de ORL, y la de estimar la magnitud de la sinusitis en consultas de odontología, conduce frecuentemente a la persistencia de los síntomas y al fracaso de las terapias conducidas, impactando considerablemente en la calidad de vida de los pacientes. Por lo tanto, se elaboró esta revisión de la literatura para entender los desafíos que esta condición supone, a la luz de los estudios recientes en el tema.
Métodos: se ha realizado una búsqueda exhaustiva de la literatura en Pubmed, Scopus y Google Scholar con términos relativos a las secciones y subsecciones de esta revisión.
Resultados y conclusiones: el diagnóstico y el manejo de la SO plantean, por tanto, un desafío importante debido a la falta de protocolos estandarizados de diagnóstico y de procedimientos terapéuticos multidisciplinares consensuados. Se recomienda un enfoque interdisciplinar personalizado para lograr la resolución de la sintomatología y se precisan estudios bien diseñados, con estratificación según los causantes dentales y iatrogénicos, para generar una evidencia que respalde los futuros protocolos.
Sinusitis caused by dental treatment or pathology: a literature review
Introduction: Despite it being responsible for 10-40% of chronic rhinosinusitis cases, odontogenic sinusitis (OS) is an underdiagnosed otorhinolaryngological condition. OS represents up to 75% of cases of unilateral maxillary sinusitis and is still overlooked in most current rhinosinusitis guidelines. This leads to a lack of consensus on the diagnostic criteria and therapeutic guidelines to be observed. The difficulty in identifying the odontogenic focus in ENT consultations as well as estimating the magnitude of sinusitis in dental consultations frequently leads to the persistence of symptoms and the failure of the therapies undertaken, considerably impacting the quality of life of patients. This literature review was implemented to understand the challenges that this condition poses, in the light of recent studies on the subject.
Methods: An exhaustive search of the literature in PubMed, Scopus and Google Scholar with terms related to the sections and subsections of this review.
Results and conclusions: The diagnosis and management of OS therefore poses a significant challenge due to the lack of standardised diagnostic protocols and consensual multidisciplinary therapeutic procedures. A personalised interdisciplinary approach is recommended to achieve resolution of symptoms along with well-designed studies, stratified according to dental and iatrogenic causes, to provide evidence to support future protocols.
Keywords: Maxillary sinusitis; Sinusitis/diagnosis; Endoscopy; Sinusitis/complications; Maxillary sinusitis/aetiology; Odontogenic sinusitis; Dental treatment; Oro-antral communication; Oro-antral fistula.
La sinusitis odontogénica (SO), descrita igualmente como Rinosinusitis Odontógena en el documento de posición europeo sobre la rinosinusitis y poliposis nasal (EPOS) del 2020, es una afección localizada en los senos paranasales (que se puede extender a otros senos), iniciada por una patología dental infecciosa adyacente al seno maxilar, o un factor iatrogénico inherente a procedimientos terapéuticos1. Representa hasta el 75% de los casos de sinusitis maxilar unilateral, y a pesar de su prevalencia, recibe menos atención en la literatura que otras formas de sinusitis2.
En el último EPOS, la SO se mencionó sucintamente como causa de rinosinusitis unilateral junto al origen fúngico y tumoral, lo que consolida la falta de consenso sobre los criterios diagnósticos y terapéuticos de la SO3.
La tardanza en el diagnóstico es a la vez una causa y consecuencia de las complicaciones acarreadas por la SO. Sin embargo, se debe tener presente la sospecha de esta entidad ante cualquier paciente con sinusitis maxilar unilateral junto a un historial de antecedentes dentales maxilares persistentes o de tratamientos dentales recientes4.La falta de identificación precisa del foco odontogénico conduce frecuentemente a la persistencia de los síntomas y al fracaso de las terapias médicas y quirúrgicas dirigidas exclusivamente al tratamiento de la sinusitis, con importante repercusión en la calidad de vida de los pacientes5.
El diagnóstico y el manejo de la SO plantea, por tanto, un desafío importante debido a la falta de protocolos estandardizados de diagnóstico y de procedimientos terapéuticos multidisciplinares consensuados. Por ello, el objetivo de este trabajo ha sido realizar una revisión de la literatura haciendo énfasis en los datos clínicos, radiológicos y otros medios diagnósticos con la finalidad de que los odontólogos puedan reconocer este proceso patológico.
En la literatura, se reporta el diagnóstico de SO, generalmente, en pacientes de edad mediana con un promedio que se sitúa entre los 40 y los 50 años6 Craig y cols.7 en una revisión sistemática realizada en 2021, observaron que la SO predomina en la quinta y sexta décadas de la vida y la edad media de su aparición fue de 51,2 ± 3,9 años. Resultados similares, encuentran autores como Saibene y cols.8, Arias Irimia y cols.9, y Zirk y cols.10 destacando una mayor afectación en el sexo femenino.
Felisati y cols.11 proponen en 2013 una clasificación de SO en tres macrogrupos según la etiología de la complicación: en el primer grupo, vienen las complicaciones de tratamientos preimplantológicos, en el segundo grupo se reúnen las complicaciones relacionadas con el tratamiento implantológicos, y en el tercero, las complicaciones inherentes a enfermedades y procedimientos dentales tradicionales. Los grupos se dividen además en clases de acuerdo con la presencia de fístulas oroantrales y / o desplazamiento del implante. Estos autores encontraron que el grupo 3 (de los tratamientos y afecciones dentales clásicos), serían la causa más común de SO. Siguiendo la clasificación, los pacientes más complejos pertenecen a la clase más alta (clase 1a), mientras que el tratamiento se vuelve más simple bajando la clasificación a la clase 3b (Tabla1).
Posteriormente, en 2019, Whyte y Boeddinghaus12 clasifican la SO en dos categorías según su etiología dental o iatrogénica (Tabla2).
Enfermedad dental
Resulta complejo determinar el factor dental que con más frecuencia es responsable de alteraciones sinusales, debido a la disparidad de resultados reportados en la literatura (Tabla 3).
En algunos trabajos13-16, la infección apical sería el factor predominante, oscilando entre valores de 16% a 95%.
En el caso de la periodontitis, existe una discrepancia entre los estudios, algunos refieren porcentajes alrededor de 3% a 10%13-14,17, mientras que otros como Brüllman y cols.18 encuentran valores de un 85%.
En una revisión realizada por Peñarrocha y cols. en 202019, señalaron que la presencia de lesiones periapicales aumentó la probabilidad de enfermedad sinusal y la SO hasta 2.4 y 1.7 veces, respectivamente.
En la misma línea, Curi y cols.20 en 2020 concluyeron que el riesgo de opacificación sinusal aumenta 11.6 veces, en caso de periodontitis; 34.1 veces con las infecciones apicales y 228.8 veces en el caso de las lesiones endoperiodontales.
En cambio, los quistes odontogénicos asociados a molares superiores impactados o desplazados en el seno maxilar, han sido escasamente descritos en la literatura como factores causantes de SO 21.
Causas iatrogénicas
La SO puede producirse tras intervenciones quirúrgicas realizadas en la vecindad del seno maxilar propiciando una infección bacteriana característica.
Por lo referente a los tratamientos endodónticos, ciertos estudios los consideran como el principal factor desencadenante alcanzando valores que oscilan entre un 20,8% y un 87,5% 8,22-24
La comunicación oroantral (COA) o comunicación bucosinusal (CBS), se define por la ruptura de las barreras anatómicas presentes entre el seno maxilar y la cavidad oral, habitualmente a nivel del alveolo de un diente antral extraído (Figura 1). Las extracciones dentales son la principal causa de COA, con una incidencia del 0,3 – 4,7% de las extracciones y representan el 95% de los casos de COA 9. La fístula oroantral (FOA) corresponde a una COA que permaneció permeable y se epitelizó porque no se cerró espontáneamente, o no se ha tratado adecuadamente. Según varias revisiones sistemáticas y metaanálisis, se afirma que la COA representa la causa más común de SO 7.
Además de la COA provocada por extracciones de terceros molares maxilares, Arias-Irimia y cols.9, también observaron dentro de las causas iatrogénicas, la extrusión de materiales de obturación endodóntica hacia el seno maxilar (22,7%), y la amalgama tras apicectomías (5,3%).
En cuanto a la prevalencia de cuerpos extraños como causa iatrogénica de la SO, existe mucha variabilidad en la literatura, con porcentajes que van desde un 2% 14,16 hasta el 30 % como las observadas por Lopatin y cols.25. Resultados similares fueron encontrados por Crovetto-Martínez y cols.15, alcanzando valores entre un 13% y un 28%.
En relación a procedimientos quirúrgicos implantológicos o preimplantológicos, el riesgo de SO es relativamente bajo (<10%) 26,27, incluso si la porción apical del implante perfora el piso del seno, y 10% en el caso de las elevaciones sinusales28
Las perforaciones de la membrana de Schneider pueden ocurrir en un 30% de los casos, y generalmente están relacionadas con la dificultad para elevar la membrana, existiendo más riesgo cuando las imágenes muestran una pérdida marcada o irregularidades en el hueso alveolar, mucosa delgada, tabiques del seno inferior o patología sinusal previa 29.
Cabe destacar que los estudios sobre la SO como consecuencia de la periimplantitis son escasos. En un estudio de Crovetto-Martínez y cols.15 se observó periimplantitis en el 2% de los casos de SO y un 5,2% en un estudio de Troeltzch y cols.17. Sin embargo, no se puede descartar una contaminación sinusal causada por periimplantitis, y en casos avanzados, como consecuencia de la pérdida del implante, la aparición de una comunicación oroantral con el consiguiente desarrollo de SO.
Para establecer el diagnóstico de SO se requiere evaluaciones tanto por parte de otorrinolaringólogos como de odontólogos, que deberían estar familiarizados con la sintomatología y los factores dentarios desencadenantes 13.
Numerosas publicaciones coinciden en que los síntomas de la SO son inespecíficos y muy similares a los observados en otras rinosinusitis en general. En una revisión retrospectiva de 27 pacientes con SO, Lee y cols.30, no observaron diferencias cuando compararon los síntomas en la SO y en la rinosinusitis crónica (RSC) no odontogénica. Sin embargo, casi todos los pacientes con SO tenían síntomas unilaterales.
Los criterios cardinales del diagnóstico de la SO frecuentemente reportados en los estudios son la unilateralidad de la enfermedad, los síntomas de RSC, la purulencia unilateral en el meato medio en el examen endoscópico, el cultivo microbiológico de los senos, y la ocupación unilateral de los senos en laTC (tomografía computarizada)) o CBCT (tomografía computarizada de haz cónico) 5,7,10.
Según Craig y cols. 31, el mal olor subjetivo, y los cultivos del seno maxilar pueden ser específicos de SO, este último demostrando la presencia de anaerobios (Peptoestreptococcus, Fusobacterium y Prevotellaspp.) y bacterias aeróbicas como Streptococcuss pp. (del grupo viridans) y Staphylococcus aureus.
Sin embargo, establecer el diagnóstico de la SO no es tan simple, y requiere una estrecha colaboración entre odontológos, radiológos y otorrinolaringlógos. Allevi y cols.5 en una reciente revisión sistemática, reflejan la heterogeneidad de los criterios diagnósticos de la SO en 63 estudios de los cuales solo 14 publicaciones recurrieron a una valoración interdisciplinar.
Sintomatología
Los síntomas de SO pueden diferir de un paciente a otro. Algunos experimentan dolor dental o cefaleas, combinado con síntomas similares a la sinusitis, como congestión nasal o la rinorrea anterior o posterior. Sin embargo, aunque los síntomas nasosinusales suelen estar presentes en la SO, algunos pacientes son asintomáticos.
Whyte y Boeddinghaus29, reportan en su estudio que cuando el complejo osteomeatal no está obstruido, la SO no siempre se expresa a través de la sintomatología nasosinusal, sino que se manifiesta en lasTC en forma de opacificación unilateral del seno maxilar, extendida o no a otros senos paranasales; y aunque es la característica más distintiva de la SO, Saibene y cols.32 recomiendan no descartar la etiología odontogénica ante la bilateralidad de la sintomatología, ya que 18,7% de los pacientes estudiados presentaron compromiso bilateral relativo a procedimientos dentales recientes.
Dolor dental
El dolor dental puede estar ausente en la SO y cuando está presente en ausencia de otros síntomas nasales, no es específico de la sinusitis. Es sorprendente la consistencia en la que menos de la mitad de los pacientes informan de dolor o hipersensibilidad dental 13. La relativa ausencia de molestias dentales asociadas a la SO podría deberse también a la permeabilidad conservada del complejo osteomeatal, que permite la salida de la presión desde el interior del seno. Además, se ha descrito que el dolor dental maxilar también puede ser un síntoma de una sinusitis rinogénica, debido a que los dientes superiores posteriores comparten un plexo neurovascular común, y el dolor sinusal unilateral puede referirse a esta área 4,19,33.
Mal olor o cacosmia
Se ha descrito que el drenaje nasal fétido, o el mal olor bucal, pueden ser más específicos de la sinusitis odontogénica, aunque sólo se observa en el 15-48% de los pacientes 10, 49. Workman y cols. 4, y los hallazgos más recientes de Simuntis y cols. 34, concluyeron que las secreciones malolientes son el sello distintivo de la SO. Sin embargo, el mal olor no es patognomónico de la SO, ya que algunos pacientes con enfermedad nasosinusal no odontogénica experimentan este síntoma 10,33. Además, algunos pacientes tendrán una pérdida de olfato que les impedirá sentir el mal olor7.
Duración de los síntomas
Los síntomas pueden estar presentes desde unas pocas semanas, en los casos agudos, hasta varios años en la SO crónica30. Troeltzsch y cols. 17, señalan que la SO puede aparecer dentro de 1 año después de la cirugía dental de elevación de seno tras la infección del injerto, e incluso después de un período de latencia de casi 4 años como una complicación tardía de la implantología debido a la periimplantitis progresiva.
Craig y cols. 7 observaron en una revisión reciente de la literatura, la presencia de síntomas nasosinusales unilaterales crónicos durante más de 3 meses, y la duración media de los síntomas osciló entre 3 y 31 meses (media de 6 meses). Las frecuencias de los síntomas nasosinusales oscilaron entre el 44% y el 60%, sin ningún síntoma predominante.
Endoscopia nasal
Varios estudios 14,16-17,31, coinciden en que la secreción purulenta nasal se identifica con mayor frecuencia en la SO en comparación con la rinosinusitis de otros orígenes, pero también se puede observar edema o pólipos. Algunos estudios han indicado que el 100% de los pacientes tenían hallazgos endoscópicos de infección 35.
El pus en el meato medio (66-8%), seguido del edema del meato medio (34-43%) y pólipos (12-34%) han sido los hallazgos endoscópicos más comúnmente informados en la SO en diferentes estudios26 (Figura 2).
Desafortunadamente, los hallazgos de la endoscopia nasal por sí solos, no son específicos, ya que otras patologías de los senos nasales pueden tener hallazgos infecciosos en la endoscopia, y algunos pacientes con SO pueden tener endoscopias nasales normales14.
Según un consenso multidisciplinar recientemente publicado en 20217, las características que pueden facilitar el diagnóstico de SO son la lateralidad de la enfermedad, los síntomas, los hallazgos de la endoscopia nasal, los cultivos bacterianos de senos, y los hallazgos de la TC.
Cultivos de los senos nasales
Los cultivos bacterianos de los senos son positivos en el 100% de los pacientes con SO, y presentan una carga microbiológica mayor en la SO en comparación con pacientes con RSC de origen no odontogénico35.
En la literatura se describe que las infecciones dentales o periodontales tienden a ser polimicrobianas, en las que están involucradas bacterias tanto de la cavidad bucal como del sistema respiratorio superior, con predominio de especies anaerobias10,25.
Numerosos estudios como el de Workman y cols.4 y Longhini y cols. 13 en 48 pacientes con SO, demostraron una mayor incidencia de infecciones polimicrobianas. Los cultivos desarrollaron anaerobios orales como Peptostreptococcus y Prevotellaspp., Fusobacteriumspp., y bacterias aeróbicas, comoStaphylococcusaureus.
De igual modo, Haider y cols. 36 demostraron, a través de la secuenciación de ADN de alto rendimiento de pacientes con SO, que varios anaerobios orales y bacterias estreptocócicas eran predictivas de SO.
Algunos autores encontraron que los cuerpos extraños dentro del seno maxilar pueden actuar como un nido para el crecimiento de hongos, especialmente Aspergillus spp., que también puede proliferar en un ambiente anaeróbico 4.
Tomografía computarizada convencional (TC) o TC de haz cónico (CBCT)
Según algunos autores, la TC se considera el método diagnóstico ideal para la evaluación de la enfermedad del seno maxilar y la enfermedad odontogénica asociada, debido a su alta resolución, ya que puede mostrar características tanto de los huesos como de tejidos blandos en múltiples vistas con cortes finos, y para detectar la inflamación nasosinusal 37 .
Los nuevos avances en los sistemas de imágenes 3D han introducido el CBCT, que es muy superior a la TC multicorte en términos de resolución de imagen, ya que se pueden conseguir cortes más finos, además, el equipo CBCT ha reducido la exposición a la radiación y tiene un coste más bajo, en comparación con la TC multicorte38. Sin embargo, los CBCT deben extenderse al menos al complejo osteomeatal incluso en la planificación de procedimientos dentales simples18, como recomiendan Saibene y cols.8 que insisten en la importancia de que la CBCT se extienda a todo el sistema nasosinusal para el diagnóstico final y planificación quirúrgica de SO.
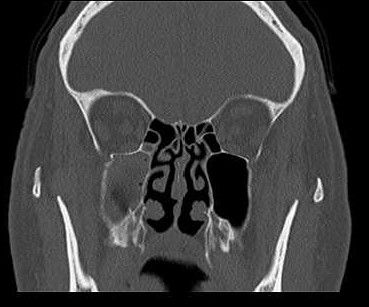
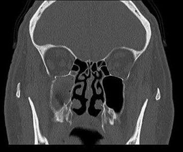
Distinguir radiográficamente un seno sano de uno enfermo no es tan problemático teniendo en cuenta su forma, que es inconsistente, con muchos lobulaciones, por lo tanto, en caso de sinusitis, se puede observar opacificación, engrosamiento de la mucosa y/o acumulación de líquido 17(Figura 3).
Diferentes estudios han demostrado que la SO podría representar entre el 45% y 75% de la opacificación unilateral del seno maxilar visibles en la TC 1,14,17.
Los estudios de SO han mostrado una extensión frecuente de la enfermedad a los senos etmoidales anteriores y frontales 13. Craig y cols.7, observaron que la extensión extramaxilar hacia los senos etmoidales y frontales se observó en la TC en casi el 70% y el 40% de los pacientes, respectivamente.
Saibene y cols.8 encontraron que el 41% de pacientes con SO tratados quirúrgicamente, tenían compromiso extramaxilar unilateral, en el 40,3% restante la afección nasosinusal se limitó al seno maxilar, y casi el 20% eran bilaterales.
En un artículo de Turfe y cols. 14, la SO se asoció con enfermedad del seno etmoidal anterior (88%) y del seno frontal (60%) en la TC, y purulencia del meato medio en la endoscopia nasal. Hubo una participación aproximadamente igual entre los lados derechos (45%) e izquierdo (55%).
Aunque la extensión de la enfermedad extramaxilar es común, los estudios han sugerido una preservación relativa de los senos etmoidales posteriores y esfenoidales posteriores, aunque ningún estudio revisado comparó directamente la extensión de la enfermedad basada en la TC en la SO con respecto a la rinosinusitis de origen no odontogénico8,14-16.
Frecuentemente, el tratamiento de la SO requiere además del manejo de la sinusitis, el tratamiento del foco odontogénico. Plantea varias opciones que incluyen tratamiento médico, dental o quirúrgico de los senos paranasales, una combinación de dos, o de los tres. Los tipos de tratamientos dentales, la extensión de la Cirugía Endoscópica Nasosinusal (CENS) y el orden en que los pacientes se someten al tratamiento pueden diferir según el tipo de patología dental, extensión de la sinusitis en la TC, y la carga de síntomas nasosinusales. No obstante, existe un consenso relativo sobre el uso inapropiado de antibióticos en caso de focos dentales susceptibles de tratamiento dental in situ 7,31.
Tratamiento dental
En casos de SO con síntomas nasosinusales leves, se puede proceder al tratamiento dental seguido de CENS si es necesaria, con obligatoriedad de un seguimiento mínimo de 1 a 2 meses para confirmar la resolución de la sinusitis 39. Se plantearía un drenaje sinusal quirúrgico en el supuesto de aparición de complicaciones inmediatas.
Tratamientos relacionados con implantes
En el caso que SO se relacione con un tratamiento implantológico, la explantación del mismo puede ser una opción terapéutica delicada debido al mayor riesgo de desarrollo de FOA, un reimplante más desafiante y un coste significativo para el paciente40.
Según ciertos estudios, el tratamiento de primera línea de la SO debido a tratamientos implantalógicos, se basa en antibióticos sistémicos, y la CENS se impone como alternativa terapéutica en caso de persistencia de los síntomas en pacientes con implantes óptimamente osteointegrados. En caso de periimplantitis, se puede recurrir a una explantación41.
Tratamientos relacionados con la elevación sinusal
Las pequeñas perforaciones se curan espontáneamente; las más grandes presentan un riesgo de SO y fracaso del implante y requieren reparación y cuidados postoperatorios, incluidos los antibióticos adecuados 39,40.
Si existe una patología sobre un implante asociado a una posible elevación sinusal, el drenaje quirúrgico del seno maxilar por meatotomía media puede ser suficiente, sin retirada sistemática del material 26.
Tratamiento asociado a COA
De acuerdo con la literatura, el manejo de las COA depende del tamaño del defecto, el momento del diagnóstico y la presencia de SO 21. Se recomienda que en pacientes con una COA o cuerpo extraño sinusal cuando presentan rinosinusitis, se realice un tratamiento quirúrgico sistemático del seno maxilar 16.
En la literatura, el cierre combinado de las COA con abordaje intraoral y la CENS, tiene altas tasas de éxito, pero ningún estudio ha evaluado si la secuencia en la que se realizan afecta a los resultados 22.El éxito de la cirugía es del orden del 95% en primeras intervenciones, mientras que en las reintervenciones desciende a 67% 9.
Cirugía endoscópica nasosinusal (CENS)
El abordaje endoscópico es un procedimiento mínimamente invasivo que ha ganado popularidad durante las últimas décadas comparativamente al procedimiento de Caldwell-Luc. Asimismo, mantiene su superioridad a este último gracias a su enfoque fisiológico menos traumático, una mejor preservación del revestimiento antral, restauración de la fisiología sinusal con un mínimo porcentaje de complicaciones y morbilidad, y una estabilidad de los resultados a largo plazo 24.
Habitualmente, la SO requiere CENS en el 48-80% de los casos, siendo las indicaciones más específicas, la obstrucción del complejo ostiomeatal, las COA y las FOA 29. En 50-80% de los pacientes con SO, se necesitará una CENS además del tratamiento dental, y en sólo 20 a 50% de los casos el tratamiento médico asociado resulta eficiente. Sin embargo, se han alcanzado tasas de éxito de 90% a 100% cuando se realiza el tratamiento dental combinado a CENS, ya sea de manera concomitante o diferida 16,42.
La CENS permite de restaurar la permeabilidad normal del ostium y restablecer la ventilación y el drenaje de los senos con patología, garantizando la prontitud de la rehabilitación del aclaramiento mucociliar.
El manejo de la SO debe obedecer a un protocolo estricto que se fundamenta en su enfoque multidisciplinar, implicación del paciente y un periodo de seguimiento razonable para prevenir las recidivas.
El diagnóstico de la SO a su vez tiene que basarse en la realización de CBCT o CT preoperatorios cuya extensión cubra el ostium del seno maxilar y el infundíbulo etmoidal.
Por último, se necesitan estudios clínicos controlados y aleatorizados para consolidar las pautas diagnósticas y terapéuticas adaptadas a cada uno de los factores etiológicos de esta entidad clínica que afecta considerablemente la calidad de vida de los pacientes que la padecen.
Ly D, Hellgren J. Is dental evaluation considered in unilateral maxillary sinusitis? A retrospective case series. Acta Odontol Scand 2018; 76:600-604.
Psillas G, Papaioannou D, Petsali S, Dimas GG, Constantinidis J. Odontogenic maxillary sinusitis: A comprehensive review. J Dent Sci 2021; 16:474-781.
Fokkens WJ, Lund VJ, Hopkins C, y cols. Executive summary of EPOS 2020 including integrated care pathways. Rhinology 2020; 58:82-111.
Workman AD, Granquist EJ, Adappa ND. Odontogenic sinusitis: developments in diagnosis, microbiology, and treatment. Curr Opin Otolaryngol Head Neck Surg. 2018;26: 27-33.
Allevi F, Fadda GL, Rosso C, y cols. Diagnostic criteria for odontogenic sinusitis: asystematic review. Am J Rhinol Allergy 2021; 35:713-721.
Lechien JR, Filleul O, Costa de Araujo P, Hsieh JW, Chantrain G, Saussez S. Chronic maxillary rhinosinusitis of dental origin: a systematic review of 674 patient cases. Int J Otolaryngol 2014:4651-73.
Craig JR, Tataryn RW, Cha BY, Bhargava P, Pokorny A, Gray ST, et al. Diagnosing odontogenic sinusitis of endodontic origin: amultidisciplinary literature review. Am J Otolaryngol 2021;42:102925.
Saibene AM, Pipolo GC, Lozza P, y cols. Redefining boundaries in odontogenic sinusitis: a retrospective evaluation of extramaxillary involvement in 315 patients. Int Forum Allergy Rhinol 2014; 4:1020-1023.
Arias-Irimia O, Barona-Dorado C, Santos-Marino JA, Martínez-Rodríguez N, Martínez-González JM. Meta-analysis of the etiology of odontogenic maxillary sinusitis. Med Oral Patol Oral Cir Bucal 2010;15: e70-3.
Zirk M, Dreiseidler T, Pohl M, y cols. Odontogenic sinusitis maxillaris: A retrospective study of 121 cases with surgical intervention. J Craniomaxillofac Surg2017;45:520-525.
Felisati G, Chiapasco M, Lozza P, y cols. Sinonasal complications resulting from dental treatment: outcome-oriented proposal of classification and surgical protocol. Am J Rhinol Allergy2013;2.
Whyte A, Boeddinghaus R. Imaging of odontogenic sinusitis. Clin Radiol 2019;74: 503-16.
Longhini AB, Ferguson BJ. Clinical aspects of odontogenic maxillary sinusitis: a case series. Int Forum Allergy Rhinol 2011; 1:409–415.
Turfe Z, Ahmad A, Peterson EI, Craig JR. Odontogenic sinusitis is a common cause of unilateral sinus disease with maxillary sinus opacification. Int Forum Allergy Rhinol 2019; 9:1515-520.
Crovetto-Martínez R, Martin-Arregui FJ, Zabala-López-de-Maturana A, Tudela-Cabello K, Crovetto-de la Torre MA. Frequency of the odontogenic maxillary sinusitis extended to the anterior ethmoid sinus and response to surgical treatment. Med Oral Patol Oral Cir Bucal 2014;19: e409-13.
Craig JR, McHugh CI, Griggs ZH, Peterson EI. Optimal timing of endoscopic sinus surgery for odontogenic sinusitis. Laryngoscope 2019; 129:1976-1983.
Troeltzsch M, Pache C, Troeltzsch M, Kaeppler G, Ehrenfeld M, Otto S, et al. Etiology and clinical characteristics of symptomatic unilateral maxillary sinusitis: areview of 174 cases. J Craniomaxillofac Surg 2015; 43:1522-1529.
Brüllmann DD, Schmidtmann I, Hornstein S, Schulze RK. Correlation of cone beam computed tomography (CBCT) findings in the maxillary sinus with dental diagnoses: a retrospective cross-sectional study. Clin Oral Investig 2012; 16:1023-1029.
Peñarrocha-Oltra S, Soto-Peñaloza D, Bagán-Debón L, Bagán-Sebastián J V., Peñarrocha-Oltra D. Association between maxillary sinus pathology and odontogenic lesions in patients evaluated by cone beam computed tomography. A systematic review and meta-analysis. Med Oral Patol Oral Cir Bucal 2020; 25:e3448.
Curi FR, Pelegrine RA, Nascimento M do CC, Monteiro JCC, Junqueira JLC, Panzarella FK. Odontogenic infection as a predisposing factor for pathologic disorder development in maxillary sinus. Oral Dis 2020; 26:1727–1735.
Ferguson M. Rhinosinusitis in oral medicine and dentistry. Aust Dent J 2014; 59:289-295.
Saibene AM, Collurà F, Pipolo C, y cols. Odontogenic rhinosinusitis and sinonasal complications of dental disease or treatment: prospective validation of a classification and treatment protocol. Eur Arch Otorhinolaryngol 2019; 276:401-406.
Nimigean VR, Nimigean V, Maru N, Andressakis D, Balatsouras DG, Danielidis V. The maxillary sinus and its endodontic implications: clinical study and review. B-ENT 2006; 2:167-175.
Sato K, Chitose S, Sato F, Ono T, Umeno H. Pathophysiology of current odontogenic maxillary sinusitis and endoscopic sinus surgery preceding dental treatment. Auris Nasus Larynx 2021; 48:104-109.
Lopatin AS, Sysolyatin SP, Sysolyatin PG, Melnikov MN. Chronic maxillary sinusitis of dental origin: is external surgical approach mandatory? Laryngoscope 2002; 112:1056-1059.
Hernández-Alfaro F, Torradeflot MM, Marti C. Prevalence and management of Schneiderian membrane perforations during sinus-lift procedures. Clin Oral Implants Res 2008; 19:91–98.
Carmeli G, Artzi Z, Kozlovsky A, Segev Y, Landsberg R. Antral computerized tomography pre-operative evaluation: relationship between mucosal thickening and maxillary sinus function. Clin Oral Implants Res 2011; 22:78-82.
Molteni M, Bulfamante AM, Pipolo C,y cols. Odontogenic sinusitis and sinonasal complications of dental treatments: a retrospective case series of 480 patients with critical assessment of the current classification. Acta Otorhinolaryngol Ital 2020; 40:282-289.
Whyte A, Boeddinghaus R. The maxillary sinus: physiology, development and imaging anatomy. Dentomaxillofac Radiol 2019; 48:20190205.
Lee KC, Lee SJ. Clinical features and treatments of odontogenic sinusitis. Yonsei Med J 2010; 51:932-937.
Craig JR, Tataryn RW, Aghaloo TL, y cols. Management of odontogenic sinusitis: multidisciplinary consensus statement. Int Forum Allergy Rhinol 2020; 10:901–1012.
Saibene AM, Pipolo C, Maccari A, y cols. One-step maxillary sinus augmentation in association with endoscopic sinus surgery: case series and review of the literature. Implant Dent 2016;25:698-702.
Patel NA, Ferguson BJ. Odontogenic sinusitis: an ancient but under-appreciated cause of maxillary sinusitis. Curr Opin Otolaryngol Head Neck Surg. 2012; 20:24-28.
Simuntis R, Kubilius R, Vaitkus S. Odontogenic maxillary sinusitis: a review. Stomatologija 2014; 16:39-43.
Goyal VK, Ahmad A, Turfe Z, Peterson EI, Craig JR. Predicting odontogenic sinusitis in unilateral sinus disease: aprospective, multivariate analysis. Am J Rhinol Allergy 2021; 35:164-171.
Haider AA, Marino MJ, Yao WC, Citardi MJ, Luong AU. The potential of high-throughput DNA sequencing of the paranasal sinus microbiome in diagnosing odontogenic sinusitis. Otolaryngol Head Neck Surg. 2019; 16:1043-1047.
De Lima CO, Devito KL, Baraky Vasconcelos LR, Prado M do, Campos CN. Correlation between endodontic infection and periodontal disease and their association with chronic cinusitis: aclinical-tomographic study. J Endod 2017; 4:1978–1983.
Patel S, Wilson R, Dawood A, Mannocci F. The detection of periapical pathosis using periapical radiography and cone beam computed tomography – part 1: pre-operative status. Int Endod J 2012; 4:702–710.
De Corso E, Rigante M, Mele DA, y cols. Real-life experience in the management of sinonasal complications of dental disease or treatments. J Pers Med. 2022; 16;2078.
Manor Y, Mardinger O, Bietlitum I, Nashef A, Nissan J, Chaushu G. Late signs and symptoms of maxillary sinusitis after sinus augmentation. Oral Surg Oral Med Oral Pathol Oral RadiolEndod2010;110: e1-4.
Zhao X, Li Z, Liu J. The Necessity of subsequent dental treatment for odontogenic sinusitis after endoscopic sinus surgery. Ear Nose Throat J 2023; 8:1455613231196105 (pre-print).
Kocum P, Šedý J, Traboulsi J, Jirák P. One-stage combined ENT and dental surgical treatment of odontogenic sinusitis: a prospective study. Eur Arch Otorhinolaryngol 2023: 20. (pre-print).

Kemcha, Narjesse
Odontóloga. Departamento de Especialidades Clínicas Odontológicas, Facultad de Odontología. Universidad Complutense de Madrid (UCM).
Rey Martínez, Helena
Servicio de Otorrinolaringología del Hospital Central de La Cruz Roja San José y Santa Adela. Madrid.
Ruiz Sáenz, Pedro Luis
Servicio de Odontología. Hospital Central de La Cruz Roja San José y Santa Adela. Madrid.
Martínez Rodríguez, Natalia
Profesora asociada de Cirugía Bucal. Departamento de Especialidades Clínicas Odontológicas, Facultad de Odontología (UCM).
Barona Dorado, Cristina
Profesora contratada doctor de Cirugía Bucal. Departamento de Especialidades Clínicas Odontológicas, Facultad de Odontología (UCM).
Martínez-González, José María
Profesor titular de Cirugía Maxilofacial. Departamento de Especialidades Clínicas Odontológicas, Facultad de Odontología (UCM).






