Caso clínico
Hernando Calzado L, Calzado Luján M, Martínez-Rodríguez N, Madrigal Martínez-Pereda C, López-Quiles Martínez J, Martínez-González J M. Elevación de seno con betafosfato tricálcico y posterior colocación de implantes. A propósito de un caso. Cient. Dent. 2022; 19; 2; 113-120
Elevación de seno con Betafosfato Tricálcico y posterior colocación de implantes. A propósito de un caso
La extracción o pérdida dental supone la remodelación del alveolo y una pérdida progresiva del hueso alveolar residual. Esta disminución en altura, debido a la presencia delseno maxilar en el sector posterosuperior, puede comprometer la disponibilidad ósea adecuada para la colocación de implantes.
Como solución a esto, surge la técnica de elevación de seno. En esta técnica, se emplean diversos materiales de injerto, entre los que se encuentran el betafosfatotricálcico (b-TCP). Este material presenta propiedades osteoconductivas y osteoinductivas. Además, se reabsorbe más fácil que otros sustitutos óseos y es fácilmente reemplazado por nuevo hueso. Se ha comparado su comportamiento clínico con otros materiales de injerto, sin encontrar diferencias significativas. Además, a 10 años, los implantes colocados en elevaciones de seno realizadas con b-TCP han mostrado altas tasas de supervivencia.
Caso clínico. Se presenta el caso clínico de una paciente, mujer de 52 años de edad, sin antecedentes médicos de interés. Acude a consulta por dolor en el 26. Tras la exploración diagnóstica radiológica e intrabucal se aconsejó a la paciente la extracción del 26. Ocho meses después, y realizando un estudio con CBCT se informó a la paciente sobre la posibilidad de rehabilitación con implantes, previa cirugía de elevación sinusal.
Se realizó la elevación sinusal con b-TCP como material de injerto. Pasados tres meses, se procedió a la colocación de tres implantes, adquiriendo estos una buena estabilidad primaria.
Discusión y conclusiones. Se utilizan diversos materiales de injerto en la técnica de elevación sinusal, injertos de hueso autólogo, xenoinjertos e injerto aloplásticos. Se ha comparado el comportamiento clínico del b-TCP con otros materiales de injerto sin mostrar diferencias significativas.
Por otro lado, se ha estudiado un periodo de espera menor a 6 meses para la colocación de implantes. Estos implantes mostraron alta estabilidad primaria y tasas de supervivencia del 99-100%.
Por todo ello, el b-TCP es un material seguro para elevaciones de seno y permite la colocación de implantes en un tiempo de cicatrización menor a 6 meses.
Tooth extraction or loss involves alveolar remodelling and progressive loss of residual alveolar bone. This reduction in height, due to the presence of the maxillary sinus in the posterosuperior sector, can compromise adequate bone availability for implant placement.
The sinus lift technique has emerged as a solution to this problem. In this technique, various grafting materials are used, including beta-phosphatidic acid (b-TCP). This material has osteoconductive and osteoinductive properties. In addition, it is more easily resorbed than other bone substitutes and is easily replaced by new bone. Its clinical behaviour has been compared with other graft materials, without finding significant differences. In addition, at 10 years, implants placed in sinus lifts performed with b-TCP have shown high survival rates.
Clinical case: The clinical case of a 52-year-old female patient with no medical history of interest is presented. She went for consultation due to pain in tooth 26. Following the radiological and intraoral diagnostic examination, the patient was advised to have tooth 26 extracted. Eight months later, and after a CBCT study, the patient was informed about the possibility of rehabilitation with implants, following sinus lift surgery.
The sinus lift was performed with b-TCP as graft material. After three months, three implants were placed, acquiring a good primary stability
Discussion and conclusions: different graft materials are used in the sinus lift technique, autologous bone grafts, xenografts and alloplastic grafts. The clinical performance of b-TCP has been compared with no significant differences found.
Furthermore, a waiting period of less than 6 months has been studied for the placement of implants. These implants showed high primary stability and survival rates of 99-100%.
Therefore, b-TCP is a safe material for sinus lifts and allows the placement of implants in a healing time of less than 6 months.
Tras la pérdida dentaria en el sector posterior maxilar, se produce la remodelación del alveolo y la neumatización del seno maxilar. De media, tras la extracción, el seno maxilar aumenta en altura 1,56 ± 3,93 mm, siendo mayor este aumento tras la pérdida de los segundos molares superiores1 . Todo esto conlleva una disminución progresiva del hueso alveolar residual y supone, que en ocasionas, la disponibilidad ósea no cumpla los requerimientos mínimos para la colocación de implantes2 .
Como solución a este problema, surgen las técnicas de regeneración ósea guiada, entre las cuales se incluye la elevación de seno maxilar3 .
Ésta se indica cuando la altura de hueso residual es menor de 8 mm4 . En este procedimiento hay dos técnicas principales, la elevación de seno cerrada o de osteotomos, y la abierta o de ventana lateral. La realización de una u otra depende de la altura de hueso residual.
La elevación de seno abierta está indicada cuando la altura ósea es menor de 5 mm5 . Con esta técnica, se puede conseguir un aumento de altura de entre 5 y 8 mm6 . Entre los diferentes biomateriales se pueden utilizar injertos autólogos, aloinjertos y xenoinjertos, debido a sus propiedades de osteogénesis, osteoinducción y osteconducción6 .
Entre los aloinjertos se encuentra el betafosfatotricálcico (b-TCP), que corresponde a un tipo de fosfato de calcio poroso cuya cantidad de calcio y fosfato es similar a la presente en el hueso esponjoso. Este material sintético biocompatible y osteconductivo, hace de matriz para la adhesión, proliferación y diferenciación de los osteoblastos y células mesenquimales, lo que favorece el crecimiento óseo 7.
El b-TCP es unos de los materiales sintéticos más utilizados, que se reabsorbe más rápido que otros sustitutos óseos y es fácilmente reemplazado por nuevo hueso8 . Su solubilidad es similar al hueso, por lo que no se reabsorbe en condiciones fisiológicas, pero sí es reabsorbido por los osteoclastos. Esta reabsorción mediada por osteoclastos junto a sus propiedades osteoconductivas permite una conversión de la matriz de b-TCP en hueso trabecular9 .
Su aplicación clínica está documentada en estudios como el de Pereira y cols.10, que analizaron 36 elevaciones de seno distribuidas en tres grupos; el primero en el que utilizaron hueso autólogo; el segundo b-TCP, y en el último una mezcla de hueso autólogo con b-TCP. En el estudio histológico de las muestras de cada grupo, observaron que la cantidad de hueso neoformado con b-TCP varía ente el 29% y 40,7%, siendo similar a la cantidad formada en el grupo con injerto de hueso autólogo. Así mismo, el b-TCP, se reabsorbía rápidamente, a diferencia de otros xenoinjertos como los basados en hidroxiapatita8.
Otra de las ventajas de este material, según PascarettiGrizon y cols.11, es la escasa respuesta inflamatoria.
Una de las finalidades de la utilización de biomateriales en las técnicas de elevación sinusal es la colocación de implantes. A este respecto, la literatura científica establece periodos que oscilan entre seis y ocho meses. Sin embargo, el b-TCP, podría disminuir este tiempo de espera, tal y como demuestran Boven y cols.12 , quienes tras un periodo de tres meses colocaron 137 implantes, observando que a los cinco años la tasa de supervivencia de dichos implantes fue del 99,3%.
El objetivo de esta publicación es describir un caso clínico sobre la respuesta del b-TCP como material de injerto en la técnica de regeneración ósea de elevación de seno, con posterior colocación de implantes en un tiempo de espera de tres meses.
Paciente, mujer de 52 años que acude a consulta por dolor en la región posterosuperior izquierda. En la historia clínica no se encontraron datos de interés o alergias conocidas.
Durante la exploración intrabucal, se observó la presencia de una prótesis fija entre 24 y 26, en la que la percusión resultó dolorosa en el 26, acompañado de movilidad. El resto de la exploración se consideró dentro de los límites normales.
Se solicitó una radiografía panorámica con fines diagnósticos, evidenciándose la presencia de dos imágenes radiotransparentes, a nivel de 31 y sobre el 26. Sobre este último, se observó una lesión apical radiotransparente de forma ovalada de un tamaño de 10,68 mm de anchura y 9,80 mm de altura con límites bien definidos y contorno regular (Figura 1).

Tras estos hallazgos se aconsejó a la paciente la extracción del 26 conservando el 24. Una vez obtenido el consentimiento informado se procedió al corte de la prótesis, a nivel del 24 y posterior extracción del 26, sin complicaciones. Transcurridos cinco meses se volvió a solicitar un control radiográfico, en el que se observó la correcta remodelación de la zona, así como el déficit óseo para la rehabilitación con implantes (Figura 2).

Tres meses más tarde, la paciente acudió de nuevo a la consulta con la finalidad de rehabilitar las ausencias de 25, 26 y 27, solicitándose un estudio mediante CBCT, en el que se observó una altura de1,63 mm y 11,6 mm de anchura (Figura 3).

Ante estos hallazgos se informó a la paciente sobre la posibilidad de rehabilitación con implantes, previa cirugía de elevación sinusal. Se solicitó de nuevo el consentimiento informado, y tras el mismo, se procedió a realizar la intervención bajo anestesia local con articaína al 4% y epinefrina 1:100.000 (Ultracain®).
El abordaje quirúrgico fue realizado mediante una incisión lineal crestal y dos descargas verticales, mesial y distal, procediendo al despegamiento mucoperióstico para la obtención de un campo quirúrgico adecuado. Se realizó el diseño de una ventana lateral con piezoeléctrico (VarioSurgery®) (Figura 4), despegándose a continuación la membrana sinusal sin perforación alguna (Figura 5). A continuación, se procedió al relleno mediante un compuesto de fosfato de calcio-potasio-sodio bioactivo (Osseolive®) (Figura 6), acompañado de la colocación de una membrana de ácido poliláctico (EPI-Guide®) (Figuras 7 y 8), finalizando la intervención con la reposición del colgajo mucoperióstico y sutura con poliamida de 4/0 (Supramid®) (Figura 9).






Como tratamiento postoperatorio, se prescribió azitromicina 500mg 1 comprimido al día durante 3 días, y dexketoprofeno 25mg 1 cada 8 horas durante 5 días.
La paciente fue revisada a las 24 y 96 horas, observándose una evolución sin complicaciones. A los doce días se procedió a la retirada de sutura.
Transcurridos dos mes y medio, se solicitó un nuevo CBCT donde se observó una altura de 12 mm y anchura de 11,6 mm (Figura 10), por lo que alcanzados los tres meses se procedió a la colocación de los implantes.

Se realizó una incisión lineal crestal con descarga distal para la obtención del campo quirúrgico. Se utilizó la técnica de fresado biológico a 100 rpm insertándose 3 implantes en posición 25, 26, 27 de 3,5 mm x 10mm (SIN Unitite®), con un torque de 50 N/cm obteniéndose una correcta estabilidad primaria (Figura 11). Tras la colocación de los tornillos de cierre, se procedió a la sutura del colgajo con Supramid® 4/0 aguja 3/8 (Figura 12).


Una semana más tarde se realizó un control clínico de la paciente, observándose una correcta cicatrización por lo que se procedió a la retirada de la sutura.
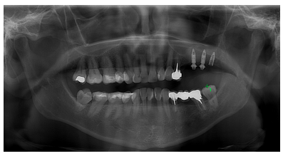
A los tres meses, se solicitó un control radiográfico mediante radiografía panorámica observándose una correcta osteointegración de los implantes (Figura 13), por lo que se derivó a su prostodoncista para la rehabilitación de estos.

Las técnicas de elevación sinusal permiten la rehabilitación de los sectores posteriores maxilares con algún grado de reabsorción. La elección del biomaterial más adecuado resulta muy versátil, y así la literatura científica está documentada con diferentes biomateriales.
Respecto al material de injerto, actualmente el injerto con hueso autólogo se considera el gold standard para la elevación de seno. Numerosas revisiones sistemáticas han demostrado mayor formación ósea que otros materiales. Además, durante la fase de cicatrización hay mayor cantidad de hueso mineralizado. Aunque estudios recientes han mostrado que, tras 9 meses de cicatrización, el hueso autólogo no presenta diferencias significativas comparado con otros injertos5 .
Un inconveniente de este material es su rápida reabsorción. Starch-Jensen y cols.13 compararon, en una revisión sistemática con metaanálisis, la estabilidad volumétrica de los injertos de hueso autólogo e injertos de composite en elevaciones de seno. Tras 180 días de cicatrización, en los injertos de hueso autólogo, se observó una reducción de su volumen un 42,3% .
Para minimizar esta reabsorción se ha estudiado la combinación de hueso autólogo con otros materiales como el hueso bovino desmineralizado.
Autores como Galindo-Moreno y cols.14 compararon el comportamiento hueso bovino desmineralizado con hueso autólogo y un material de origen vegetal bifásico con hueso autólogo como injerto en elevaciones de seno. Vieron que en el grupo con injerto de hueso bovino desmineralizado mezclado con hueso autólogo, se mantenía mejor el volumen del injerto que en los otros grupos. Además, en el metaanálisis de Starch-Jensen y cols.13 obtuvieron los mismos resultados, en las localizaciones regeneradas con hueso autólogo mezclado con xenoinjerto había mejor preservación del volumen regenerado.
Los estudios específicos sobre el hueso bovino desmineralizado ofrecen tasas de reabsorción alrededor de 19,4% 8,9,15 cuando se le compara con el carbonato de apatita, el hueso bovino presenta mayor reabsorción, 25,2% y 14,2%, respectivamente16.
Otras opciones de regeneración hacen referencia a la utilización de plasma rico en plaquetas como injerto, pero debido a la heterogeneidad de los estudios no se ha encontrado evidencia de efectos beneficiosos del uso de estos como único material de injerto5 . Sin embargo, en una revisión sistemática llevada a cabo por Ortega-Mejia y cols.17, se vio que la asociación de plasma rico en plaquetas con otros biomateriales, como el hueso bovino desmineralizado, producía mayor cantidad de nuevo hueso formado y menor cantidad de material residual de injerto.
Últimamente, se ha introducido el uso de la dentina autóloga como material de injerto debido a que presenta una composición similar al hueso. En la revisión sistemática con metaanálisis realizado por Shavit y cols.15, se comparó el comportamiento clínico de la dentina autóloga y diferentes materiales de injerto en elevaciones de seno (hueso autólogo y hueso bovino desmineralizado). Se estudió el aumento de la altura y grado de reabsorción del injerto, en regiones tratadas con dentina, hueso autólogo y con huevo bovino. Observaron que la capacidad de formación ósea de la dentina era similar al hueso bovino desmineralizado, además, no se encontraron diferencias significativas entre los diferentes materiales por lo que la dentina autóloga representa una nueva opción de injerto para la elevación de seno.
Por último, y dentro de los materiales de injerto sintéticos se encuentra el b-TCP que se utiliza en diferentes técnicas de regeneración ósea guiada, como la elevación de seno, mostrando un buen comportamiento clínico en diferentes investigaciones. Autores como Loin y cols.18 llevaron a cabo un estudio con 40 elevaciones de seno, divididas en dos grupos en función del biomaterial utilizado, b-TCP y hueso autólogo. Compararon el grado de edema de la membrana del seno entre ambos grupos mediante medidas con CBCT pre y postoperatorias del grosor de la membrana. Los resultados obtenidos fueron que ambos materiales producían una leve reacción inflamatoria y el grado de edema era similar en ambos, sin diferencias significativas.
También se ha comparado con otros injertos sintéticos como la hidroxiapatita (HA). En estudios animales Kitsugi y cols.19 mostraron mayor fuerza de unión ósea en injertos de b-TCP tras 10 semanas, comparado con los injertos de HA. Además, el b-TCP presentaba mayor formación ósea que la HA.
En otro estudio realizado por Lamas y cols.8 , estudiaron el aumento vertical de hueso en 128 elevaciones sinusales donde se utilizó b-TCP. A los 6 meses observaron un aumento medio en altura de 8,5±0,3 mm. Por otro lado, Meyer y cols.20, realizaron 33 elevaciones de seno utilizando b-TCP con posterior colocación de 123 implantes y seguimiento de 4.5 años. El b-TCP mostró pocas complicaciones y su tasa reabsorción (20,3 %) era similar a la del hueso autólogo. La ganancia media en altura fue de 16,9 mm y además los implantes colocados tuvieron una alta tasa de supervivencia (97,6%) similar a los colocados en injertos de hueso autólogo, concluyendo que el b-TCP es un material seguro, comparado con otros injertos óseos.
A largo plazo, el comportamiento clínico del b-TCP se ha estudiado por autores como Velasco-Ortega y cols.21 quienes realizaron un seguimiento a 10 años de implantes colocados tras 6 meses de la elevación de seno con b-TCP. Realizaron un total de 121 elevaciones de seno y se colocaron 234 implantes. A los 10 años, la tasa de supervivencia de los implantes fue del 97,2%. Además, estudiaron el aumento óseo en altura, consiguiendo un aumento de 6,95±2,19 mm y la pérdida ósea marginal fue de 1,93±1,03 mm.
Uno de los interrogantes, en el momento actual, es el tiempo que ha de transcurrir para la colocación de implantes, oscilando en la mayoría de los casos entre seis y nueve meses22-25. Liu y cols.26 realizaron un ensayo clínico aleatorizado en el que comparaban muestras histológicas obtenidas con biopsias y el resultado clínico de implantes colocados en dos grupos diferentes. En el primer grupo se realizaba la elevación de seno y tras un periodo de cinco meses se realizaban las biopsias y la colocación de los implantes. Por el contrario, en el segundo grupo se esperaban ocho meses para realizar dichos procedimientos. Se colocaron un total de 13 implantes en el primer grupo y 14 en el segundo. Los estudios histomorfométricos mostraron que no había diferencias significativas en la maduración del nuevo hueso formado en ambos grupos, ni en la cantidad de material residual. Respecto a los implantes, examinaron su estabilidad primaria sin encontrar diferencias significativas entre los implantes de los dos grupos. A los 6 meses de seguimiento, la tasa de supervivencia fue del 100% en ambos grupos.
En el caso que se presenta, a diferencia de lo documentado habitualmente, se realizó la colocación de implantes a los 3 meses. Este periodo de espera, menor al habitual, también ha sido motivo de diferentes investigaciones. En un estudio realizado en Holanda, se realizaron elevaciones de seno a un total de 60 pacientes. A los 3 meses de dicha cirugía, se colocaron un total de 329 implantes. Después de 5 años de seguimiento, la tasa de supervivencia de los implantes se situaba entre el 99.5 y el 100%27.
Khoury y cols.28 realizaron 214 elevaciones de seno y colocaron un total de 478 implantes. En 138 elevaciones se colocaron 240 implantes de manera simultánea y 238 implantes de manera diferida en 60 elevaciones, esperando un periodo de 3 meses. Todos los implantes colocados de manera diferida fueron insertados en localizaciones aumentadas que presentaban buena vascularización. Compararon la estabilidad y aumento en altura de los dos grupos de implantes en un periodo de seguimiento de nueve años sin encontrar diferencias significativas entre ellos. A los diez años de seguimiento, no se encontraron diferencias en las tasas de supervivencia de los implantes colocados de manera simultánea y diferida, siendo del 99,5%.
Además, Younes y cols.29 realizaron un estudio con 53 elevaciones de seno y posterior colocación de 105 implantes. Los implantes se colocaron tras un periodo de cicatrización de 4,6 ± 1,5 meses. Tras un periodo de seguimiento de 19±9 meses, la tasa de supervivencia de los implantes fue de un 99%.
El b-TCP ha demostrado ser un material de injerto predecible y seguro en elevaciones de seno, abriendo la posibilidad a la reducción del tiempo de espera para la colocación de los implantes.
Lim HC, Kim S, Kim DH, Herr Y, Chung JH, Shin SI. Factors affecting maxillary sinus pneumatization following posterior maxillary tooth extraction. J Periodontal Impl Sci 2021; 51:285-95.
Yin L, Yu Z, Chen Z y cols. Analysis of bone height changes after maxillary sinus augmentation with simultaneous and delayed placement of dental implants: A clinical and radiographic study. J Prosthodont 2016;25:440–5.
Juzikis E, Gaubys A, Rusilas H. Uses of maxillary sinus lateral wall bony window in an open window sinus lift procedure: literature review. Stomatologija 2018; 20:14–21.
Lundgren S, Cricchio G, Hallman M, Jungner M, Rasmusson L, Sennerby L. Sinus floor elevation procedures to enable implant placement and integration: techniques, biological aspects and clinical outcomes. Periodontol 2000 2017; 73:103–20.
Starch-Jensen T, Jensen JD. Maxillary sinus floor augmentation: a review of selected treatment modalities. J Oral Maxillofac Res 2017; 8: e3.
Silva LD, de Lima VN, Faverani LP, de Mendonça MR, Okamoto R, Pellizzer EP. Maxillary sinus lift surgery—with or without graft material? A systematic review. Int J Oral Maxillofac Surg 2016; 45:1570–6.
Cömert S, Güngörmüş M, Parlak SN. Histologic and histomorphometric assessment of sinus-floor augmentation with beta-tricalcium phosphate alone or in combination with pure-plateletrich plasma or platelet-rich fibrin: A randomized clinical trial. Clin Implant Dent Relat Res 2017; 19:959–67.
Aragoneses JM, Gómez M, Cuadrado L, Suarez A, Aragoneses J. Vertical bone gain after sinus lift procedures with betatricalcium phosphate and simultaneous implant placement—a cross-sectional study. Medicina 2020; 56:1–10.
Bohner M, Santoni BLG, Döbelin N. β-tricalcium phosphate for bone substitution: Synthesis and properties. Acta Biomater 2020; 113:23–41.
Pereira RS, Gorla LF, Boos FBJD, Okamoto R, Garcia IR, Hochuli-Vieira E. Use of autogenous bone and betatricalcium phosphate in maxillary sinus lifting: histomorphometric study and immunohistochemical assessment of RUNX2 and VEGF. Int J Oral Maxillofac Surg 2017; 46:503–10.
Pascaretti-Grizon F, Guillaume B, Terranova L, Arbez B, Libouban H, Chappard D. Maxillary sinus lift with Beta-Tricalcium Phosphate (β-TCP) in edentulous patients: A nanotomographic and Raman study. Calcif Tissue Int 2017; 101:280–90.
Boven GC, Slot JWA, Raghoebar GM, Vissink A, Meijer HJA. Maxillary implantsupported overdentures opposed by (partial) natural dentitions: a 5-year prospective case series study. J Oral Rehabil 2017; 44:988–95.
Starch-Jensen T, Deluiz D, Vitenson J, Bruun NH, Muniz E. Maxillary sinus floor augmentation with autogenous bone graft compared with a composite grafting material or bone substitute alone: a systematic review and meta-analysis assessing volumetric stability of the grafting material. J Oral Maxillofac Res 2021; 12: e-1.
Galindo-Moreno P, Padial-Molina M, Lopez-Chaichio L, Gutiérrez-Garrido L, Martín-Morales N, O’Valle F. Algaederived hydroxyapatite behavior as bone biomaterial in comparison with anorganic bovine bone: A split-mouth clinical, radiological, and histologic randomized study in humans. Clin Oral Implants Res 2020; 31:536–48.
Shavit E, Shavit I, Pinchasov D, Shavit D, Pinchasov G, Juodzbalys G. The Use of Tooth Derived Bone Graft Materials in Sinus Augmentation Procedures: a Systematic Review. J Oral Maxillof Res 2019; 10(2):e1.
Nagata K, Fuchigami K, Kitami R y cols. Comparison of the performances of lowcrystalline carbonate apatite and BioOss in sinus augmentation using threedimensional image analysis. Int J Implant Dent 2021; 7:24.
Ortega-Mejia H, Estrugo-Devesa A, Saka-Herrán C, Ayuso-Montero R, LópezLópez J, Velasco-Ortega E. Platelet-rich plasma in maxillary sinus augmentation: Systematic review. Materials 2020; 13:622.
Loin J, Kün-Darbois JD, Guillaume B, Badja S, Libouban H, Chappard D. Maxillary sinus floor elevation using Beta-TricalciumPhosphate (beta-TCP) or natural bone: same inflammatory response. J Mater Sci Mater Med 2019; 30:97.
Kitsugi T, Yamamuro T, Nakamura S, Kotani T, Kokubo HT. Four calcium phosphate ceramics as bone substitutes for non-weight-bearing. Biomaterials 1993; 14:216–24.
Meyer C, Chatelain, B, Benarroch M, Garnier J.F, Ricbourg B, Camponovo T. Massive sinus-lift procedures with betatricalcium phosphate: Long-term results. Rev Stomatol Chir MaxilloFaciale 2009; 110 :69-75.
Velasco-Ortega E, Sierra-Baztan A, Jiménez-Guerra A y cols. Long-term clinical study of implants placed in maxillary sinus floor augmentation using beta-tricalcium phosphate. Int J Environ Res Public Health 2021; 18: 9975.
Taschieri S, Ofer M, Corbella S y cols. The influence of residual alveolar bone height on graft composition after maxillary sinus augmentation using two different xenografts: A histomorphometric comparative study. Materials 2020; 11;13:5093.
Dreyer J, Dos Santos R, Bonardi JP, Griza GL, Okamoto R, Hochuli-Vieira E. Bioactive glass added to autogenous bone graft in maxillary sinus augmentation: a prospective histomorphometric, immunohistochemical, and bone graft resorption assessment. J Appl Oral Sci 2018; 11;26: e20170296.
Mordenfeld A, Albrektsson T, Hallman M. A 10-year clinical and radiographic study of implants placed after maxillary sinus floor augmentation with an 80:20 mixture of deproteinized bovine bone and autogenous bone. Clin Implant Dent Relat Res 2014; 16:435–46.
Mordenfeld A, Lindgren C, Hallman M. Sinus floor aug- mentation using Straumann® BoneCeramicTM and BioOss® in a split mouth design and later placement of implants: A 5-year report from a longitudinal study. Clin Implant Dent Relat Res 2016; 18: 926–36.
Liu Y, Wang J, Chen F, Feng Y, Xie C, Li D. A reduced healing protocol for sinus floor elevation in a staged approach with deproteinized bovine bone mineral alone: A randomized controlled clinical trial of a 5-month healing in comparison to the 8-month healing. Clin Implant Dent Relat Res 2020; 22:281-91.
Slot W, Raghoebar GM, Cune MS, Vissink A, Meijer HJA. Four or six implants in the maxillary posterior region to support an overdenture: 5-year results from a randomized controlled trial. Clin Oral Implants Res 2019; 30:169–77.
Khoury F, Keller P, Keeve PL. Stability of grafted implant placement sites after sinus floor elevation using a layering technique: 10-year clinical and radiographic results. Int J Oral Maxillofac Implants 2017; 32:1086-96.
Younes F, Eghbali A, De Troyer S, De Bruyckere T, Cleymaet R, Cosyn J. Marginal and apical bone stability after staged sinus floor augmentation using bone condensing implants with variablethread design: a two-dimensional analysis. Int J Oral Maxillofac Surg 2016; 45:1135-41.

Hernando Calzado, Lucía
Grado en Odontología. Universidad Complutense de Madrid (UCM).
Calzado Luján, Montserrat
Médico odontólogo.
Martínez-Rodríguez, Natalia
Profesora asociada de Cirugía Bucal. Facultad de Odontología. UCM.
Madrigal Martínez-Pereda, Cristina
Profesora contratada doctora en Cirugía Bucal. Facultad de Odontología. UCM.
López-Quiles Martínez, Juan
Profesor contratado doctor en Cirugía Bucal. Facultad de Odontología. UCM.
Martínez-González, José María
Profesor titular de Cirugía Maxilofacial. Facultad de Odontología. UCM.













