Ir al contenido principal
Científica Dental
Publicaciones
Artículos
Normas de publicación
Comité editorial
Contacto
Científica Dental
Publicaciones
Artículos
Normas de publicación
Comité editorial
Contacto
Filtros
Filtros
Autor
Todavía no hay términos de filtro
Temática
Todavía no hay términos de filtro
Especialidad
Todavía no hay términos de filtro
Fecha de publicacion
Después
Antes
Mostrar
(
4
)
Cancelar
Marta Piñeiro Hernáiz
Anomalías dentarias de forma: dens evaginatus (diente evaginado), revisión de la literatura y discusión sobre un caso clínico
ver publicación
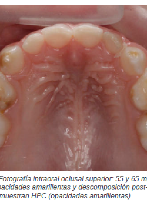
Hipomineralización en dentición temporal: ¿factor predictivo de him?
ver publicación
Científica Dental: enero-abril 2020
ver publicación
Científica Dental: mayo-junio-julio-agosto 2018
ver publicación