Ir al contenido principal
Científica Dental
Publicaciones
Artículos
Normas de publicación
Comité editorial
Contacto
Científica Dental
Publicaciones
Artículos
Normas de publicación
Comité editorial
Contacto
Filtros
Filtros
Autor
Todavía no hay términos de filtro
Temática
Todavía no hay términos de filtro
Especialidad
Todavía no hay términos de filtro
Fecha de publicacion
Después
Antes
Mostrar
(
2
)
Cancelar
Ignacio Ardizone García
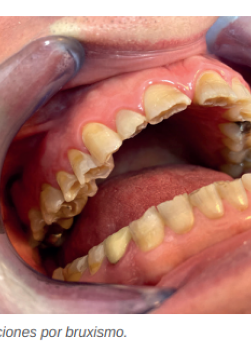
¿Tiene mi paciente bruxismo de vigilia? ¿Cómo puedo tratarlo?
ver publicación
Científica Dental: mayo-junio-julio-agosto 2023
ver publicación