Puesta al día
Ruíz Sáenz, P. L. López Rodríguez, M. A. Sanz Alonso, J. Buesa Barez, J. M. Martínez González, J. M. Consideraciones bucodentales en pacientes con Síndrome de Morquio. Cient. Dent. 2020; 17; 2; 107-114
Consideraciones bucodentales en pacientes con Síndrome de Morquio
La mucopolisacaridosis tipo IV (MPS-IV) también conocida como enfermedad de Morquio en recuerdo del pediatra uruguayo Luis Morquio que la describió por primera vez, es una enfermedad congénita causada por la deficiencia de la enzima N-acetilgalactosamina 6 sulfatasa o de la enzima B-Galactosidasa. Estas anomalías enzimáticas tienen como consecuencia que se acumulen en diferentes tejidos del organismo cantidades elevadas de mucopolisacaridos.
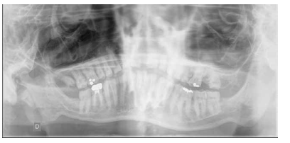
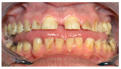
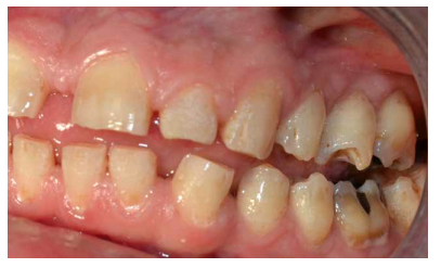
En la bibliografía se describe con detalle los defectos del esmalte que presentan los pacientes diagnosticados del síndrome de Morquio. Estos defectos son una característica aparentemente constante en la enfermedad y, por lo tanto, hace necesaria las visitas al odontólogo para su control evitándose problemas mayores. Dichos defectos consisten en un esmalte anormalmente delgado, que es áspero debido a los numerosos hoyos diminutos y a una superficie irregular. La delgadez del esmalte da como resultado una forma alterada y decoloración de los dientes que, añadido a los diastemas interdentales, provocan alteraciones en la oclusión. Aparte de estos defectos, el esmalte es histológicamente normal y tiene una dureza y radiodensidad normales. El tratamiento odontológico de los pacientes con MPS-IV requiere colaboración multidisciplinar, debido a que las manifestaciones orales de la enfermedad pueden aparecer a cualquier edad, resultando en ocasiones tedioso para el paciente y complicado para el profesional. Especial mención merecen las terapias utilizadas como tratamiento sintomático de la enfermedad, así como el manejo de la vía aérea en el caso de intervenciones bajo anestesia general o sedación para tratar ciertas patologías del territorio bucomaxilodental.
Mucopolysaccharidosis type IV (MPS-IV) also known as Morquio’s disease in memory of the Uruguayan pediatrician Luis Morquio who described it for the first time, is a congenital disease caused by the deficiency of the enzyme N-acetylgalactosamine 6 sulfatase or enzyme B -Galactosidase. These enzymatic anomalies result in high amounts of mucopolysaccharides accumulating in different tissues of the organism.
The enamel defects presented by patients diagnosed with Morquio syndrome are described in detail in the bibliography. These defects are an apparently constant feature in the disease and, therefore, make visits to the dentist necessary for their control, avoiding major problems. These defects consist of an abnormally thin enamel that is rough due to numerous tiny holes and an irregular surface. The thinness of the enamel results in an altered form and discoloration of the teeth, which added to the interdental diastemas, cause alterations in the occlusion. Apart from these defects, the enamel is histologically normal and has a normal hardness and radiodensity.
Dental treatment of patients with MPS-IV requires multidisciplinary collaboration, because the oral manifestations of the disease can appear at any age, being sometimes tedious for the patient and complicated for the professional. Special mention should be made of the therapies used as a symptomatic treatment of the disease, as well as the management of the airway in the case of interventions under general anesthesia or sedation to treat certain pathologies of the bucomaxillodental territory.
Las mucopolisacaridosis (MPS) son un grupo de trastornos de almacenamiento lisosomal caracterizados por la deposición tisular de glicosaminoglicanos (GAG), anteriormente denominados mucopolisacáridos. Esto es debido, a un defecto enzimático en las vías de degradación de los GAG, que en función de la enzima ausente o cuya actividad esté mermada, dará lugar a los diferentes tipos de mucopolisacaridosis (Tabla 1).

Como en la mayoría de las MPS, no se observa sintomatología en el neonato y, se comienza a sospechar de estos trastornos cuando los niños tienen entre 1 y 3 años, no siendo hasta los 5 años de media cuando se tiene la confirmación del diagnóstico. Los primeros casos de MPS IV fueron descritos por el pediatra uruguayo Luis Morquio, cuando en el año 1929 comunicó el caso de cuatro hermanos de una misma familia con distrofia esquelética severa1 . En ese mismo año James Frederick Brailsford, radiólogo inglés, describió un paciente de cuatro años de edad con la misma condición, dándole el nombre de osteocondrodistrofia. Morquio especificó cambios radiológicos observables antes de la aparición de los signos y síntomas clínicos que suelen debutar cuando el paciente tiene tres años2 .
Se trata, pues, de una enfermedad rara autosómica recesiva, con una incidencia variable según el origen geográfico y étnico que oscila entre 1/76.000 de los recién nacidos vivos en Irlanda del Norte hasta 1/450.000 de los nacidos vivos de Holanda y Portugal en el subtipo A, e incluso 1/640.000 en su variante más rara (subtipo B)3-5.
La esperanza de vida depende de la gravedad de la enfermedad, presentando un margen amplio que oscila entre los 20 y los 70 años. La muerte, generalmente, acontece debido a insuficiencia cardiorrespiratoria por deformidad del esqueleto torácico que compromete la vía aérea, o bien por compresión del canal espinal por luxación a nivel de la apófisis odontoides.
Morquio L. Sur une forme de dystrophie osseuse familiale. Arch Med Inf 1929; 32: 129-35.
Rivera-Colon Y, Schutsky EK, Kita AZ, Garman SC. Th estructure of human GALNS reveals the molecular basis for mucopolysaccharidosis IVA. J Mol Biol 2012; 423: 736-51.
González-Meneses A, Barcia A, Díaz JL. Protocolo de actuación en las mucopolisacaridosis. Protoc Diagn Ter Pediatr 2010; 1: 24-36.
Al-Maawali A, Surendra J, Roshan K. Spectrum of paediatric lysosomal storage disorders in Oman. Sultan Qaboos Univ Med J 2012; 12: 295-9.
Uribe A, Giugliani R. Selective screening for lysosomal storage diseases with dried blood spots collected on filter paper in 4.700 high-risk Colombian Subjects. J Inherit Metab Dis 2013; 11: 109-16.
Wijburg F, Wegrzyn G, Burton B, Tylki-Szymanska A. Mucopolysaccharidosis type III and IV, and misdiagnosis of idiopathic developmental delay, attention deficit hyperactivity disorder or autism spectrum disorder. Acta Paediatr 2013; 102: 462-70.
Wolfe BJ, Ghomashchi F, Kim T, Abam CA, Sadilek M, Jack R, y cols. New substrates and enzyme assays for the detection of mucopolysaccharidosis by tandem mass spectrometry. Bioconjug Chem 2012; 23: 557-64.
Maceira-Rozas MC, Atienza-Merino G. Detección precoz de mucopolisacaridosis y oligosacaridosis en el periodo neonatal mediante cribado poblacional. Revisión sistemática. Madrid: Ministerio de Sanidad y Consumo 2006: 21-124.
Caciotti A, Garman SC, Rivera-Colón Y, y cols. GM1 gangliosidosis and Morquio B disease: An update on genetic alterations and clinical findings. Biochim Biophys Acta 2011; 1812: 782-90.
Tomatsu S, Montano AM, Oikawa H, y cols. Mucopolysaccharidosis type IVA (Morquio A disease): Clinical review and current treatment: A special review. Curr Pharm Biotechnol 2011; 12: 931-45.
Wood TC, Harvey K, Beck M. Diagnosing mucoplysaccharidosis IVA. J Inherit Metab Dis 2013; 36: 293-307.
Tomatsu S, Sawamoto K, Alméciga-Díaz CJ, y cols. Impact of enzyme replacement therapy and hematopoietic stem cell transplantation in patients with Morquio A síndrome. Drug Des Devel Ther 2015; 9: 1937-53.
Algahim MF, Almassi GH. Current emerging management options for patients with Morquio A syndrome. Ther Clin Risk Manag 2013; 9: 45-53.
Davison JE, Kearney S, Horton J, Foster K, Peet AC, Hendriksz CJ. Intellectual and neurological functioning in Morquio syndrome. J Inherit Metab Dis 2012; 10: 323-8.
Tong CK, Chen JC, Cochrane DD. Spinal cord infarction remote from maximal compression in a patient with Morquio syndrome. J Neurosurg Pediatr 2012; 9: 608-12.
Pagel PS, Almassi GH. Perioperative implications of Morquio syndrome in a 31-year-old woman undergoing aortic valve replacement. J Cardiothorac Vasc Anesth 2009; 23: 855-7.
Valayannopoulos V, Wijburg FA. Therapy for the mucopolysaccharidosis. Rheumatology 2011; 50: 49-59.
Vairo F, Federhen A, Baldo G y cols. Diagnostic and treatment strategies in mucopolysaccharidosis. Appl Clin Genet 2015; 8: 245-55.
Rowan DJ, Tomatsu S, Grubb JH, Montano AM, Sly WS. Assessment of bone dysplasia by micro CT and glycosaminoglycan levels in mouse models for mucopolysaccharidosis type I, IIA. IVA and VII. J Inherit Metab Dis 2013; 36: 235-46.
Feillet F, Wiedemann A, Jeannesson E, Jaussaud R, Joumeau P. Mucopolysaccharidosis. J Paediatr 2016; 51: 1-14.
Fonseca FR, de Santana Sarmento DJ, Vasconcelos Medeiros PF, Diniz DN, dos Santos MT. patients with mucopolysaccharidosis have tendencies towards vertical facial growth. J Oral Maxillofac Surg 2014; 72: 2539-46.
Gelb MH, Scott CR, Turecek F. Newborn screening for lisosomal storage diseases. Clin Chem 2015; 61: 335-46.
Infante C, Rosas LM, Benavides B. Manual de ortopedia maxilar: modelo diagnóstico de maloclusiones para pacientes en crecimiento. Universidad Nacional de Colombia. Facultad de odontología 2009.
Baz AB, Akalin S, Arik H, Ergün A. Proximal realignment surgery for unilateral chronic patella dislocation in Morquio syndrome: a case report. Acta Orthop Traumatol Turc 2011; 45: 466-9.
Theroux MC, Nerker T, Ditro C, Mackenzie WG. Anesthetic care and perioperative complications of children with Morquio syndrome. Paediatr Anaesth 2012; 22: 901-7.
Walker RW. Management of the difficult airway in children. J R Soc Med 2001; 94: 341-4.
Chaudhuri S, Duggappa AK, Mathew S, Venkatesh S. Safe intubation in Morquio-Brailsford syndrome: A challenge for the anesthesiologist. J Anaesthesiol Clin Pharmacol. 2013; 29: 258-61
Khedhiri S, Chkioua L, Ferchichi S, Miled A, Laradi S. Polymorphisms in Tunisian patients with N-acetylgalactosamine-6-sulfate sulfatase gene deficiency: Implication in Morquio A disease. Diagn Pathol 2011; 6: 11-7.
Amigo O, Burrows R, Muzzo S. Mucopolysaccharidosis tipo IV. Síndrome de Morquio. Rev Chil Pediatr 1979; 50: 61-4.
McLaughlin AM, Farooq M, Donnelly MB, Foley K. Anaesthetic considerations of adults with Morquio´s syndrome: A case report. Br Med Clin Anesthesiol 2010; 10: 2-6.
Kanazawa T, Yasunaga Y, Ikuta Y, Harada A, Kusaka O, Sukegawa K. Femoral head displasia in Morquio disease type A: Bilateral varus osteotomy of the femur. Acta Orthop Scand 2001; 72: 18-21.
James A, Hendriksz JC, Addison O. The oral health needs of children, adolescents and young adults affected bya a mucopolysaccharidosis disorder. J Inherit Metab Dis 2011; 11: 51-8.
Hendriksz CJ, Harmatz P, Beck M, y cols. Review of clinical presentation and diagnosis of mucopolysaccharidosis IV-A. Mol Genet Metab 2013; 110: 54-64.
Harmatz P, Mengel KE, Giugliani R, y cols. The Morquio A clinical assessment program: baseline results illustrating progressive, multisystemic clinical impairments in Morquio A subjects. Mol Genet Metab 2013; 109: 54-61.
Palmucci S, Attina G, Lanza ML, y cols. Imaging findings of mucopolysaccharidoses: a pictorial review. Insights Imaging 2013; 4:443-59.
anjurjo-Crespo P. Clinical aspects of mucopolysaccharidosis type II. Rev Neurol 2007; 44: S3-S6.
Berger KI, Fagondes SC, Giugliani R, y cols. Respiratory and sleep disorders in mucopolysaccharidosis. J Inherit Metab Dis 2013; 36: 201-10.
Hendriksz CJ, Berger KI, Giugliani R y cols. International guidelines for the management and treatment of morquio a syndrome. Am J Med Genet Part A 2014; 167: 11-25.
Meza Cabrera IA, Álvarez J. Síndrome de Morquio. A propósito de un caso. Rev Fac Cien Sal 2010; 12: 41-3
Kuratani T, Miyawaki S, Murakami T, Yamamoto TT. Early orthodontic treatment and long-term observation in a patient with Morquio syndrome. Angle Orthod 2005; 75: 881-7.
Braulin EA, Harmatz PR, Scarpa M y cols. Cardiac disease in patients with mucopolysaccharidosis: presentation, diagnosis and management. J Inherit Metab Dis 2011; 34: 1183-97.













